Ureter

Bladder

Urothelial carcinoma

Urothelial (transitional cell) tumors

  • Squamous differentiation
  • Glandular differentiation
  • Papilloma
  • Inverted papilloma
  • PUNLMP
  • Papillary urothelial carcinoma
  • Carcinoma in situ
  • Invasive urothelial carcinoma

Ureter

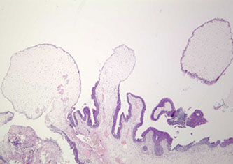
Fibroepithelial Polyp

 

Almost exclusively in males, B9, Rare, tend to occur in kiddos and adolescents, rarely in adults, usually presents c urinary retention, bladder outlet obstruction and/or hematuria

- usually seen in the ureter or urethra, rather than the bladder

 

Gross: polypoid excrescence

 

Micro: "clover leaf-like" projections, lined by normal-appearing urothelium

 

Tx/Px: do not recur after excision, not assoc c cancer

 

DDx: urothelial papilloma (does not have lining of normal epithelium) - misdiagnosing a fibroepithelial polyp in a younger pt as a urothelial papilloma in a younger pt would subject them to years of unnecessary close surveillance

- may also consider florid cystitis cystica et glandularis, polypoid / papillary cystitis, and inverted papilloma

 

Reference:

http://apps.pathology.jhu.edu/sp/week-1-case-1-1112/

 

 

Fibroepithelial polyp

Urothelial Ca

 

How to differentiate Urothelial ca from Prostate ca?

 

A panel of PSA, HMWCK, and p63 was optimal for separating

95% PCa (PSA+/HMWCK and/or p63–)

vs 97% UCa (PSA–/HMWCK and/or p63+)

The majority of PCa cases retain PSA

Negative PSA with positive HMWCK and/or p63 establishes a diagnosis of UCa.

 

CK7/CK20 coexpression was noted in 50% of UCa cases, whereas 86% of PCa cases were negative with both

 

 

Poorly Differentiated Prostatic Carcinoma (PCA) vs. Urothelial Carcinoma (UC) (Epstein et al. Am J Surg Pathol 2014)

Bladder

Acute Cystitis

neuts in lamina propria and urothelium

- assoc c edema of lamina propria and freq urothelial denudation

-- be careful for denuded CIS!!!

 

Ulcerative Cystitis

 

Suppurative Membranous Cystitis

 

Emphysematous Cystitis

 

Viral Cystitis

 

Fungal Cystitis

 

Actinomycosis

 

 

Chronic Cystitis

 

 

Papillary Polypoid Cystitis

- aka Proliferative Papillary Cystitis

hx of catheter or vesicular fistula, mostly in dome or posterior wall

- designation of papillary cystitis used when thin, finger-like papillae are present

- polypoid cystitis used c edematous and broad-based papillae

 

Micro: broad papillary projections of inflamed lamina propria c overlying hyperplastic urothelium

- superficial umbrella cells invariably present

- prominent stromal edema, congestion and inflam infiltrate

 

 

Follicular Cystitis

usually incidental finding; assoc c infx, bx or BCG tx

 

Micro: can have normal or finely nodular appearance by cystoscopy

- subepithelial lymphoid follicle c germinal center

 

 

Encrusted Cystitis

assoc c infx of urea-splitting bacteria in alkalinized urine

- ulcers coated c calcium and phosphate salt, mononuclear cell infiltrate and foreign body giant cell rxn

- may extend to muscularia propria

 

 

Granulomatous Cystitis

 

Bacteria, fungi, parasites, chemorads, malakoplakia

 

- F>M, present c sx of UTI, recurrent fever, hematuria, pturia, urgency, pain

 

 

Treatment-Induced Cystitis

BCG-Induced

 

Post-Surg Granuloma

 

 

Radiation Cystitis

Radiation Cystitis

May be misinterpreted as SCC

- may develop decades after radiation tx

 

Micro: Fibrin deposits assoc c hemorrhage and reactive epithelial prolif into lamina propria

- nests can have squamoid appearance and nuclear pleomorphism

 

 

Cytoxan-Induced Hemorrhagic Cystitis

in up to 8% of pts tx'd, secondary to toxic metabolite acrolein (an aldehyade and oxidizing agent)

- appears as diffuse severe hyperemia c edema and erosion or ulceration of mucosa

 

Micro: lamina propria c edema and extensive hemorrhage

- regeneration changes can be seen, be careful if calling CIS

Special Variants

 

 

Interstitial Cystitis

 

uncommon dx made on sx and cystoscopy

Scattered petechial hemorrhage and wedge-shaped ulceration (Hunner ulcer) showing petechial hemorrhage

- characteristic hlomerulations (mucoasl hemorrhage) and mucosal rupture

- mast cell infiltration in lamina propria and muscularis propia is common

- perineural mononuclear infiltrate also common

- fibrosis of lamina propria

 

 

Eosinophilic Cystitis

 

Assoc c allergic disorders, may have peripheral inc eos

- resolves spontaneously; sx are variable

 

 

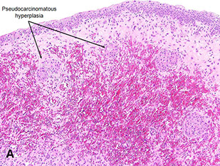
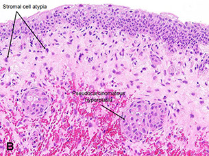
Urethral Caruncle

 

Small nodular pedunculated erythematous lesion i post or lateral distal urethral wall, in elderly femmales

- look like small hemangiomas c mixed inflam

 

Micro: overlying epithelium hyperplastic

- IgG4+

- +/- pseudocarcinomatous epithelial hyperplasia

 

 

Polyomavirus Infx

- aka BK virus

 

DNA virus, a papomavirus (papilloma, polyoma, vacuolating SV-40 family)

 

Cells can resemble urothelial CIS

- pts usually immunocompromised

 

Micro: Large dark nuclei, can have smudgy inclusion c thick nuclear membrane, coarse reticulated chromatin

 

- Decoy cells - mimic CIS

- Comet cells - have short cytoplasmic tails

 

DDx: CMV, cancer

 

 

von Brunn Nest Proliferation

 

Seen in 85% of autopsy pts

- are a normal variant of bladder mucosa

- solid nests of urothelium that project into lamina propria

- have luinal eosinophilic secretions

- exuberant von Brunn nest prolif can be seen, that mimicks inverted appilloma or inverted UC

 

 

Cystitis Glandularis

 

Common histologic finding

- seen MC in trigone

 

2 types:

1) usual type

2) intestinal type (cystitis glandularis c intestinal metaplasia)

- less freq and MC in pts c exstrophy, lined by cells c mucinous epithelium and closely resembles colonic epithelium, stroma can have edema or hyalinized c inflam, glands are ordered and lack atypia or glands floating in mucinous pools

 

Usually merges c von Brunn nests in lamina propria

- when nests become cystic c central lumen formation and polarization of inner cells, term called cystitis glandularis used

 

 

 

Florid Cystitis Glandularis

 

one of the MC cancer mimics

- pts present c irritative sx or hematuria

- involvement of von Brunn nests by glandular metaplasia in exuberant prolif of glands lined by tall columnar cells c basally located nuclei

- extravasation of mucin into stroma

 

 

 

Endometriosis

 

One of the MC organs affected

- usually in women of reproductive age, approx 1% of women c endometriosis have urinary bladder involvement

- up to 1/2 have hx of pelvi surgery, may see a palpable pelvic mass in 1/2 of pts

- can be seen in men c prostate carcinoma treated c estrogen therapy

- sx include frequency, dysuria, and hematuria

- complications include obstruction of ureteric orifices c secondary hydronephrosis or vesicocolic fistula

 

Micro: made of endometrial glands and stroma c hemosiderin deposition

- glands lined by cuboidal cells c eosinophilic cytoplasma and pseudostratified nuclei that can have mits

 

IHC: (+) PAX8, ER, PR

 

 

 

Endocervicosis

 

Seen in women of reporoductive age that complain of suprapubic pain, dysuria, freq and hematuria c catamenial exacerbation of sx

- mimics adenocarcinoma

 

Predisposition of posterilor wall or post dome, usually in muscularis propria

 

Young women of reproductive age with bladder symptoms

 

Gross: Mass on the posterior wall or posterior dome of bladder

 

Micro: Irregular, haphazard endocervical-type glands within the muscular wall. Rarely associated with endometriotic stroma. Minimal nuclear atypia. May be associated with rupture of glands, resulting in extravasation of mucin

 

Differential diagnosis: Minimal deviation adenocarcinoma

 

Px: B9. Reported cases have had an uneventful postoperative course.

 

IHC(+) PAX8, ER, PR

 

 

Mullerianosis

 

In women of rep age

- common in posterior wall and can form tumor-like mass

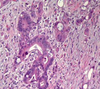
Malakoplakia

 

Can be seen in any part of the GU tract, most commonly in the urinary bladder

- means "soft plaque" in Greek

 

Gross: Solitary or confluent yellow mucosal nodules or plaques

 

Micro: Mixed inflam; Epithelioid histiocytes with eosinophilic cytoplasm.

 

Michaelis-Guttman bodies - Basophilic, targetoid cytoplasmic inclusions, are lysosomes c degradation products of E. coli.

 

Michaelis-Gutmann bodies - large numbers of epithelioid histiocytes c abundant eosinophilic cytoplasmic inclusions, concentric laminated bodies that are PAS+

- concentrically laminated structure on EM

 

 

 

Malakoplakia

Arrows show Michaelis-Guttman bodies

Fibroepithelial Polyp

 

Almost exclusively in males, B9, Rare, tend to occur in kiddos and adolescents, rarely in adults, usually presents c urinary retention, bladder outlet obstruction and/or hematuria

- usually seen in the ureter or urethra, rather than the bladder

 

Gross: polypoid excrescence

 

Micro: "clover leaf-like" projections, lined by normal-appearing urothelium

 

Tx/Px: do not recur after excision

 

 

 

Nephrogenic adenoma

 

Clinical: Wide age range of presentation (usually middle-aged men) , ~1/5 occur in peds and some after kidney transplant

- Majority of cases associated with a history of genitourinary procedure, trauma, or calculi. Not a true neoplasm.

- Represents a metaplastic process

 

Micro: Composed of cuboidal cells with tubulo-cystic and papillary growth pattern. Scant cytoplasm

- lined by single layer columnar or cuboidal hobnail or flattened cells

- Minimal nuclear atypia and mitotic activity. In contrast, clear cell carcinomas have solid and diffuse growth pattern, ample portions of clear cytoplasm (positive for glycogen on PAS stain), significant

nuclear atypia and increased mitotic activity.

 

IHC: (+) PAX8, P504 (AMACR)

 

Px: may recur, but malignant transformation has not been seen

 

 

 

Nephrogenic Adenoma

Papillary and polypoid cystitis

 

Wide age range of presentation. Often associated with an indwelling catheter or colovesical fistula. On cystoscopy, can be confused for a neoplasm

 

Micro: Finger-like papillae or broad-based polypoid excrescences, lined by normal urothelium. Underlying lamina propria contains chronic inflammatory cells and ectatic vessels.

 

 

 

Postoperative spindle cell nodules/

pseudosarcomatous fibromyxoid tumor

 

Can be seen throughout the GU tract, including urinary bladder and prostate. May be seen spontaneously or following GU instrumentation or trauma. Represents a reparative/reactive process

 

Micro: Composed of a proliferation of (myo)fibroblasts. Uniform nuclear features. Variable mitotic activity.

 

DDx:: leiomyosarcoma.

 

 

 

[1]

Urothelial neoplasms [WHO classification]

 

1) Flat lesions

• Urothelial carcinoma in situ: variety of growth patterns including clinging and cancerization/pagetoid involvement

 

2.) Papillary neoplasms

a. Includes papilloma, inverted papilloma, papillary neoplasm of low malignant potential, low-grade and high-grade papillary carcinoma.

b. Noninvasive versus invasive. If the latter is present, the extent of invasion has therapeutic implication, ie, lamina propria versus muscularis propria.

c. Variants of invasive TCC include sarcomatoid (carcinosarcoma), microscystic and micropapillary

 

Urothelial Carcinoma -- Two Phenotypes?

Non-muscle invasive BC (NMIBC) 70-80%

Muscle Invasive BC (MIBC) 20-30%

 

Genes in bladder ca, (Netto, LASOP 2021)

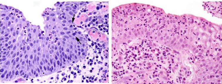
Reactive Urothelial Atypia

 

• Acute or chronically inflamed urothelium

• Vesicular uniformly enlarged nuclei with central

prominent nucleoli.

• Mitotic figures may be common.

• History of instrumentation, infection, stones, therapy

 

- Overuse of the diagnosis “mild dysplasia”

 Mild staining and fixation alterations

 Normal vs. mild dysplasia

 Urologists desensitized to the diagnosis of

dysplasia

 Do not use the term “mild dysplasia” – diagnose

as “normal or reactive”

Reactive urothelium (Dr. Epstein)

Reactive urothelium

More reactive urothelium

Squamous cell carcinoma

 

Uncommon except where Schistosomiasis is endemic, ie, Middle East.

- Verrucous carcinoma is a rare variant of squamous cell carcinoma. Associated with an indolent behavior.

 

 

 

Small cell undifferentiated carcinoma

 

Histologically, similar to the oat-cell carcinoma of lung. Often associated with urothelial CIS or invasive TCC.

- May be assoc c paraneoplastic syndromes, including hypercalcemia and SIADH.

 

 

 

Lymphoepithelial-like carcinoma

 

• Micro: Undifferentiated cells with syncytial growth pattern, accompanied by significant numbers of small lymphocytes. May be seen alone or in association with invasive TCC.

 

DDx: lymphoma.

 

 

 

Paraganglioma

 

Sx include sustained or paroxysmal hypertension.

 

Micro: Classic nesting growth pattern (zellballen).

 

IHC: S100-positive sustentacular cells

 

 

 

Histologic features of papillary dz

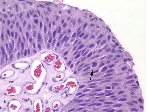
Urothelial Papilloma

 

Usually solitary lesions, 1-2% of papillary lesions, present c hematuria (gross or microscopic), MC in young adults

- can have extensive multifocal involvement of mucosa, called diffuse papillomatosis

- papillomas are diploid and have frequent FGFR3 (3/4) mutation

 

• Discrete papillary growth with a central fibrovascular core lined

by urothelium of normal thickness and cytologic features

• No need to count cell layers (7)

• Very rare lesion

 

Micro: exophytic papillary neoplasm lined with normal appearing urothelium, lacking significant atypia

- architecturally are slender with minimal branching

- superficial umbrellas can be prominent and can have vacuolization and large multinucleated cells

 

Tx: excision

 

Px (Magi-Galluzzi et al. Am J Surg Pathol 2004)

•34 de novo papillomas

•Mean age 58 years

•24 males; 10 female

• F/U in 26 pts (mean 29 months)

• 3/34 (8.8%) recurrence rate

• 3/34 (8.8%) progression to LG UrCa or PUNLMP

• No progression to invasive UrCa (pT1 or pT2)

urothelial papiloma

Flat Urothelial Hyperplasia

 

can be adjacent to LG papillary tumors (not malig if isolated lesion)

- do not need to be tx'd

 

 

Papillary Urothelial Hyperplasia

 

Controversial, has normal-appearing urothelium 4-7 cells thick

 

Micro: has undulating folds that can have inc vascularity at base

 

DDx: papilloma (is more finely arborizing)

 

 

 

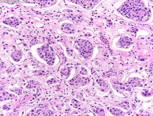
Pseudocarcinomatous Epithelial Hyperplasia

 

Assoc c chemorads

 

Micro: Pseudoinfiltrative nests of epithelium adjacent to ectatic BV and c fibrin thrombi

 

 

Flat Urothelial Lesions c Atypia

 

1) Reactive Urothelial Atypia

-usually in setting of chronic irritation (instrumentation, rads, chemo)

 

Micro: acute or chronic inflam urothelium, mits can be seen and frequent

 

 

2) Urothelial Atypia of Unknown Significance

spectrum that may or not be attributed to inflam alone, but falls below limit of dysplasia

- no adverse outcome on follow up

 

 

3) Urothelial Dysplasia

 

• Preneoplastic atypia short of CIS

 

M>F, avg age 60 yo, presents c irritation or obstructive sx or hematuria;

- rare, Relatively uncommon diagnosis – most cases

either normal or significant atypia (CIS)

- strong risk factor for CIS and invasive ca (~15%)

- secondary dysplasia assoc c concurrent or prior hx of urothelial ca, and is risk for recurrence

- Without qualifier, equals “moderate dysplasia”

 

Micro: abnormal architectural and cytologic changes that fall short of unequivocal CIS

- see altered polarity of superficial cells and cytoplasmic clearing is common

- cells vary in size and shape and nuclei c irreg granular chromatin and wrinkled nuclear membranes

- nuclear crowding and hyperchromasia

- long axis of nuclei are parallel to BM, lack prominent nuclei or atypical mits

 

Grading of dysplasia is NOT recommended

 

Management of Urothelial Dysplasia

• In someone with h/o of CIS, indicates the disease is

recurring. May be treated with intravesical therapy

• In someone with de novo diagnosis of dysplasia,

often patients followed more closely for CIS

 

Urothelial dysplasia

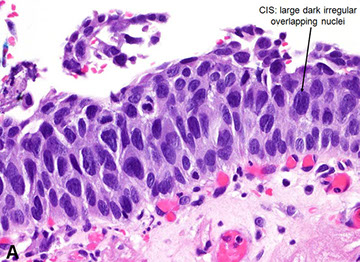
CIS

Use of immunohistochemical stain in diagnosis of urothelial carcinoma in situ (CIS). Urothelial CIS (A) shows full-thickness CK20 (B) and p53 (C) overexpression [1]

[1]

4) Urothelial CIS

Elderly men (60-70 yo), 10M>1F,  usually assoc c concurrent of prior UC, presents c irritative or obstructive sx or hematuria

- can masquerade as interstitial cystitis

- cystoscopy can show nonspecific or velvety erythematous lesion c granular or cobblestone appearance

- usually in trigone and base of bladder

 

Presence of cytologically malignant cells regardless of

quantity

 

Micro: Full thickness invovement is NOT a prerequisite

- disordered prolif of malig urothelial cells c loss of polarity and dec cellular cohesion

- high NC, nuclear pleomorphism, hyperchromasia,, irreg nuclear membranes and irreg mits

 

• No need to be full thickness

• Pagetoid cells

• Spectrum of atypia and cell size

• Umbrella cell layer may still be present

 

• CIS cells 5x size of stromal lymphocytes, compared to normal

cells which are 2x size of lymphocytes

• Enlarged & hyperchromatic ON 10X OBJECTIVE

• Dyscohesive : “denuding cystitis”

• Prostatic Urethra: Caution !

 

Variants: large and small cell, denuding (frequently missed! Loses cell adhesion molecules), Pagetoid, Sq, glandular, micropapillary, microinvasion (CISmic)

 

Genes: p53 and RB genes are the MC altered genes

 

 

Reactive vs CIS by IHC

Urothelial (transitional cell) tumors

- high morbidity and mortality (bladder tumors in general)

- 90% of all bladder tumors; MC morphology (which may lead to invasive TCCa) is noninvasive papillary tumors, then flat urothelial carcinoma (aka CIS)

 

Subtypes:

Squamous differentiation

 

Glandular differentiation

 

Variant histology

 

 

Nested urothelial carcinoma

 

- variant of urothelial ca originally recognized by its ability to mimic b9 conditions like proliferating von Brunn nests, esp in small bx's

- however, has a propensity to invade deep into bladder wall despite its low-grade morphology

- may be assoc c carcinoma in situ or conventional urothelial ca

- IHC: similar to typical UC (+ CK7 and p63, often CK20+)

 

 

Nested urothelial carcinoma [2]

Papillomas

 

<1% of bladder tumors

- MC in younger pts

 

Micro: Fibrovasc cores are surrounded by normal-looking transitional epithelium

 

 

 

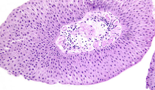
Inverted papilloma

Inverted papilloma

 

Rare, b9 urothelial tumor, presents c hematuria and irritative sx

- 7M.1F, usually ~50 yo

- usually trigone and bladder neck

- b9 and not related to urothelial carcinoma

 

• Most commonly seen in the trigone region

• Usually solitary (3%

• Polypoid /sessile on cystoscopy , smooth surface

• Size: wide range

• Can be associated with urothelial carcinoma, yet not

thought to be directly related

 

Micro: smooth surface covered by normal urothelium and endophytic growth of urothelial cells aroborizing extensively from surface urothelium to lamina propria

- anastomosing cord, columns and thin trabecula

- peripheral pallisading with spindly nuclei

- no atypia or mits

- no exophytic component

- may see squamous morules

- may show non-keratinizing squamous metaplasia

 

DDx: inverted urothelial carcinoma

 

Inverted Papilloma Comparison to Urothelial Carcinoma

• Lacks cytological atypia

• Mitotic activity limited to basal cell layer

• Lacks inflammation and reactive stroma

• Squamous metaplasia lacks keratin formation

• Lacks muscularis propria invasion

 

Px: recurrence ~1%

 

 

Inverted papilloma

Urothelial Papillary Proliferation of Undetermined Significance

(UPUMP)?

 

• Tented or undulated thickened urothelium WITHOUT

SIGNIFICANT ATYPIA

• Base with dilated capillaries

• No discrete papillary fronds

 

• UPMP is frequently associated with prior or concurrent low

grade papillary neoplasms:

- papilloma

- PUNLMP

- low grade papillary urothelial carcinoma

 

• De novo diagnosis: close follow up

• Follow up for papillary tumors: could represent shoulder

lesion of recurrent tumor

UPUMP

Papillary Urothelial Neoplasms of Low Malignant Potential (PUNLMP)

 

Described in 2004 WHO as papillary neoplasm c feature bwt b9 papilloma and low-grade papillary utoherlial carcinoma

- show minimal mits and minimal nuclear atypia

- architectural complexity low

- may have minimal nuclear atypia and thickening

 

• Orderly arrangement

• Thicker than papilloma

• No atypia , at most nuclear enlargement

• At most rare mitoses at base

• Not associated with invasion

 

Px: have low but real risk of recurrence, and require clinical surveillance

 

Involvement of FGFR-3 and HRAS are important for the development of low-grade carcinomas

- p53 and RB are involved in progression to high-grade neoplasms and carcinoma in situ

-- p16 may be involved, typically as a deletion of the locus in FISH assays

 

 

punlmp

Papillary urothelial carcinoma

 

Terminology of Papillary Tumors (LASOP Netto lecture 2021)

• Non invasive papillary carcinoma, Low grade

• Non invasive papillary carcinoma , High grade

• Do Not use: “In situ papillary urothelial carcinoma”

• Non invasive papillary urothelial carcinoma

• Invasive papillary urothelial carcinoma

• Grade by the worst component

• •? HG component <

 

- Low grade: appears orderly with a thicker lining than papillomas c a little nuclear atypia and few mits

--- ~10% invade

- assoc c Fibroblast growth factor receptor 3 (FGFR3), esp in non-muscle invasive tumors

 

- High grade: marked atypia, dyscohesive, large hyperchromatic nuclei, lots of mits

~80% invade

 

Non Invasive Papillary Carcinoma, Low Grade

• Overall orderly arrangement with minimal variation in polarity

(clonal)

• On low power looks “pink” due to low N/C ratio

• Mild atypia consisting of scattered enlarged hyperchromatic

nuclei

• Scattered mitotic figures some at levels higher than base layer

• Inconspicuous nucleoli

 

Non Invasive Papillary Carcinoma, High Grade

• Overall disorderly arrangement with irregularly

clustered cells, fused papillae

• Marked atypia analogous to CIS

• Numerous mitotic figures including atypical forms at

all levels

• Dyscohesive single cells

• Prominent nucleoli

 

Invasive urothelial carcinoma

Must be staged:

Noninvasive, papillary = Ta; CIS = Tis; Lamina propria invasion = T1; Invasion of adjacent structures = T4

 

Lamina Propria Invasion

Inverted growth vs true invasion:

 Small nests

 Retraction artifact

 Paradoxical differentiation/maturation

 

Substaging

 Focal vs. extensive

 Depth relative to muscularis mucosae (LAM1 vs. LAM2)

 Micrometer (1.5 MM)

Maximum length of invasive foci

 

Terminology - Muscle

• Muscularis propria (detrusor muscle) invasion

• Muscularis mucosae invasion (do not report?)

• Do not use “superficial muscle” or “deep

• Do not use “superficial bladder

 

Muscularis Propria (MP) Invasion

• Infiltration of thick muscle bundles

• If uncertain MP vs. MM indicate uncertainty to urologist

• Do not attempt to substage MP invasion

• Fat seen at all levels, such that does not

indicate extension out of the bladder

 

Micropapillary variant of invasive urothelial carcinoma asspc c high pathologic stage and lymph node mets 2/2 inc rate of lymphovascular invasion

*** CAVEAT: non-invasive papillary urothelial carcinomas can have a micropapillary-like pattern, and these tumors have a clinical course and prognosis similar to HG-noninvasive papillary urothelial ca. Thus the designation of "micropapillary" variant should be restricted to only INVASIVE carcinomas to avoid unnecessary tx [2]

 

 

Non Invasive Papillary Carcinoma, Low Grade

Non Invasive Papillary Carcinoma, Low Grade

Non Invasive Papillary Carcinoma, High Grade

Micropapillary variant of urothelial carcinoma is the presence of lacunae around invading nests

Micropapillary variant should only be diagnosed when definitely invasive [2]

Non Invasive Papillary Carcinoma, High Grade

Non Invasive Papillary Carcinoma, High Grade

Inverted Urothelial Carcinoma

 

Has cytologic atypia, co-existing exophtic papillary component, stromal invasion, frequent mits

 

IHC: high p53 and Ki67

- (+) CK20 expression

 

Genes: Urovysion FISH positivity

-urovysion can be performed on any type of urine specimen, including bladder washing and ureter washings

-- Polyomavirus infx may cause abnormal findings and cause a positive test

-- cells with abnormal cytomorphology should be closely evaluated, as they are likely to cause abnormal test results

 

 

 

Plasmacytoid Variant Urothelial Carcinoma

 

Micro: Malignant cells dyscohesive with eccentric nuclei and glassy eosinophilic cytoplasm and signet-ring morphology

 

Px: assoc c extensive spread through bladder wall and abdominal cavity compared to other variants of urothelial ca

- thus has uniformly poor px with advanced stage at presentation and metastatic dz progession

 

 

 

Plasmacytoid variant of urothelial carcioma [2]

Adenocarcinoma

 

Malignant tumor making up to 1/50 bladder tumors

- M>F, assoc c nonfunctional bladder or exstrophy usually presenting c hematuria

 

Micro: malignant-looking glands that make mucin

- can be subclassified into mucinous, enteric or signet ring varieties

 

IHC: similar to colonic AC, (+) CK20, p63, CK5/6, B-catenin (cytoplasmic)

- variable CK7 and CDX2

- B-catenin is NUCLEAR positive in colonic ac and CYTOPLASMIC in the bladder, can be an important differentiation!

 

To differentiate urothelial carcinoma and prostate carcinoma, urothelial carcinoma is usually positive for HMWK and nuclear p63, while these markers are positive in basal cells of b9 prostate glands, their expression is lost in prostatic adenocarcinoma

 

Urothelial carcinoma is negative for PAX-8

 

Tx: surgery, rads and chemo depending on stage

 

Px: poor

AC of the bladder

References

 

1. Xiao X et al. Practical Applications of Immunohistochemistry in the Diagnosis of Genitourinary Tumors. Arch Pathol Lab Med. 2017; 141:1181-1194

 

2. Wang. Urinary Bladder Pathology: WHO and AJCC Staging Update. July 2018