Skeletal Muscle and Peripheral Nerve

Intro to Nerves

Acute inflammatory demyelinating polyradiculopathy (AIDP; Guillain-Barre syndrome)

Amyotrophic Lateral Sclerosis (ALS)

Spinal Muscular Atrophy (Werdnig-Hofmann disease)

Denervation Atrophy

Myasthenia Gravis

Lambert-Eaton syndrome

Duchenne Muscular Dystrophy

Becker Muscular Dystrophy

Limb-girdle muscular dystrophy

Fascioscapulohumoral muscular dystrophy

Myotonic Muscular Dystrophy (MMD)

GSD type II - Pompe's disease

GSD type III - debranching enzyme def.

GSD type V - McArdle's disease

Malignant hyperthermia (MH)

Mitochondrial Myopathies

Central core disease

Nemaline Myopathy

Centronuclear myopathy

Dermatomyositis

Polymyositis

Inclusion Body Myositis

Diabetic neuropathy

Chronic Inflammatory Demyelinating Polyradiculoneuropathy (CIDP)

Skeletal Muscle and Peripheral Nerve

Intro to Nerves

 

Main components of peripheral nerves are axons and myelin sheaths (made by Schwann cells)

 

Somatic motor function - uses the motor unit (lower motor neuron [ant horn spinal cord]; axon to muscle; NMJ; and muscle fibers)

 

Somatic sensory function = distal nerve endings (can have special structures [pacinian corpuscle, etc); axon to the dorsal root ganglia; proximal nerves that connect to spinal cord or brainstem

 

Autonomic nerve fibers more plentiful than somatic fibers in PNS, but generally do not cause sx

 

Types of neuropathies:

1) Mononeuropathy - a local process involving one nerve; e.g. trauma, entrapment.

2) Mononeuropathy multiplex - a generalized but characteristically

asymmetrical process involving two or more nerves; e.g. vasculitis.

3) Polyneuropathy - generalized, multiple nerve involvement - usually distal greater than proximal and more or less symmetrical; e.g. toxic neuropathy.

4) Radiculopathy - nerve root involvement giving rise to a segmental pattern of deficit, i.e. corresponding to the innervation pattern of nerve roots (dermatomal/myotomal).

 

Nerve Degeneration

- regressive or destructive processes involving one or more nerve elements.

- Wallerian degeneration: axonal degeneration distal to the site of injury. Sequence of changes:

(1) early axon and myelin fragmentation;

(2) myelin phagocytosis by macrophages;

(3) Schwann cell proliferation, endoneurial fibrosis, and axonal regeneration (sprouting). Examples include trauma, ischemia (e.g. arteriosclerosis, vasculitis).

- Axonopathy: axonal degeneration occurring in a distal-to-proximal

(retrograde, or "dying back") direction. Seen in diabetes, amyloid, toxins.

- Neuronopathy: Axonal degeneration resulting from process that attacks neuron (cell body). May occur in ALS and paraneoplastic syndromes.

- Axonal degeneration is usually accompanied by myelin loss.

 

Onion bulb formation

- occurs in certain chronic demyelinating and/or hereditary neuropathies. It consists of a characteristic proliferation of Schwann

cells and associated collagen, in concentric layers around a central axon (in cross section resembling an "onion bulb"). This process usually occurs with repeated cycles of demyelination and remyelination and results in hypertrophy of the nerve as a whole (hypertrophic neuropathy).

 

Refsum disease - AR, neurologic dz c malformation of myelin sheaths around nerve cells

- has characteristic shortening of the 4th toe

- has phytanic acid storage, mostly caused by mutations in gene coding for phyanoyl-CoA hydroxylase (aka PAHX or PHYH)

- repeated episodes of myelination and demyelination result in formation of onion bulbs in Refsum dz, as well as HMSN types IB and III (Dejerine-Sottas), and CIDP

 

Intro to Skeletal Muscle

 

Muscle fibers usually distributed in a checkerboard pattern

- this patter is altered and causes muscle fiber grouping after nerve/muscle damage (denervation followed by re-innervation) after a period of months (signifying some kind of chronic condition)

- Z-bands separate the repeating units of the sarcomere; immunolabeling c B-actinin is concentrated at the Z-bands bc is made of a-actin (?)

- actin tropomyosin, and troponin found in thin filaments

- myosin and paramyosin found at thick filaments

 

Type I muscle: slow twitch; red fibers c lots of mitochondria and myoglobin which allows for inc oxidative phosphorylation and thus a sustained contraction (do not fatigue easily; think long-distance runners and pelagic tuna);

*** one slow red ox***

 

IHC: appear lighter on ATPase stain at pH 9.4; look dark blue on NADH stain

 

Type II muscle: fast twitch white fibers c not that much mitochondria or myoglobin (inc anaerobic glycolysis)

- will be hypertrophied c weight-training

- atrophy occurs in steroid myopathy, Cushing syndrome, collagen vascular dz, starvation, cancer, endocrine disorders

 

IHC: appear darker on ATPase stain at pH 9.4

 

Neurogenic Changes in Skeletal Muscle

a. Recent denervation - small, angulated of both fiber types. When

completely atrophied, appear as pyknotic nuclear clumps.

b. Chronic denervation (with reinnervation):

- Myofiber type grouping - random fiber type distribution is replaced by clustering of the same type, as a result of local reinnervation of

denervated muscle fibers by adjacent intact nerve twigs.

- Grouped myofiber atrophy - large groups of atrophic fibers as a result of increasing loss of motor units.

c. Seen in:

- Motor neuron diseases: ALS

- Spinal muscular atrophies: Primarily disorders of infants and children; tend to be autosomal recessive (defect in telomeric copy of SMN1 on chromosome 5q). The infantile form (Werdnig-Hoffman disease) is rapidly progressive, with death occurring by the age of 2-3 years from respiratory failure. The intermediate and juvenile forms (Kugelberg- Welander disease) progress more slowly (SMN2).

 

Myopathies (Primary skeletal muscle disorders)

Micro: rounding of muscle fibers on cross section, hypertrophy of fibers, increased internal nuclei, increased endomysial connective tissue, fiber splitting and ring fibers, necrosis and phagocytosis,

basophilic (regenerating) fibers, inflammatory cell infiltrates, Type 1 fiber predominance, moth-eaten and whorled fibers

- Four basic types of myopathies: Congenital, Dystrophic, Metabolic and Inflammatory.

 

Congenital Myopathies

- group of heriditary muscle disorders

(most autosomal dominant); usually symptomatic at birth but only slowly progressive. Characteristic morphological changes:

- "Central core" disease: Nonprogressive; infantile hypotonia; linked

to 19q13.1; assoc c malignant hyperthermia; Central light areas (cores) on trichrome (disorganized sarcomeres by EM)

"Nemaline rod" myopathy: Rod or thread-like inclusions on

trichrome; Ultrastructure: subsarcolemmal "nemaline rods" (Z-band

material)

- Centronuclear (myotubular) myopathy: Severe X-linked neonatal form; mild adult form Internal nuclei greatly increased.

 

Dystrophies

a number of hereditary forms of progressive and destructive myopathy chasracterized by specific gene defects; two important examples are:

- Duchenne Muscular Dystrophy (DMD): X-linked recessive disorder; onset before age 5; progressive proximal weakness,

pseudohypertrophy of calves, high skeletal muscle enzymes; death in

the 20's.

Pathogenesis: Mutations at the Dystrophin gene ("dystrophinopathy") - absence of the gene product – dystrophin.

- Becker muscular dystrophy is also a "dystrophinopathy"; later

onset around age 10-15, slower progression, less severe than

Duchenne, less often fatal.

 

Metabolic Myopathies

- Examples:

- Pompe's disease: Acid maltase deficiency (Type 2 Glycogen Storage Disease/ – autosomal recessive)

- Mitochondrial Myopathies with abnormal mitochondria ("ragged red fibers"); many with a maternal inheritance pattern (mitochondrial DNA) - may have cardiac and central nervous system changes as well

 

Inflammatory Myopathies

Lymphocytic infiltrates, fiber necrosis, regeneration

- Dermatomyositis: perifascicular fiber atrophy due to small

vessel vasculitis due to CD4-reactive T-cells. Best response to

steroids.

- Polymyositis: no perifascicular atrophy; Direct attack on muscle by CD8-reactive cytotoxic T-cells. Intermediate response to steroids.

- Inclusion body myositis

Males in 6th and 7th decade, Indolent but slowly progressive

No response to corticosteroid therapy Lymphocytic infiltration, fiber necrosis, regeneration Characteristic "rimmed vacuoles"

Granules composed of filamentous whorls by EM

? prion disorder ? (only speculation at present)

 

Acute inflammatory demyelinating polyradiculopathy (AIDP; Guillain-Barre syndrome)

 

Assoc c autoimmune attack of peripheral myelin 2/2 molecular mimicry seen c Campylobacter jejuni or herpes infx

 

Sx: symmetric ascending motor muscle weakness/paralysis starting in distal extremities

- 1/2 get facial paralysis and autonomic system can be affected (heart rate, BP)

 

Lab: albumino-cytologic dissociation in CSF (inc CSF protein c normal cell counts)

- best test is EMG / nerve conduction studies that show dec propagation of electrical impulses

 

Micro: endoneural inflam infiltration and segmental demyelination of peripheral nerves and motor fibers of ventral roots (sensory probs worse than motor)

 

Tx: must monitor pts vital capacity (for respiratory failure), may also give IVIG and do plasmapheresis

 

Px: nearly all pts recover in a couple of months

 

 

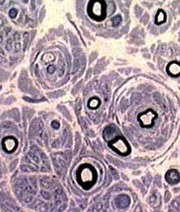
Chronic inflammatory demyelinative polyradiculoneuropathy (CIDP)

Segmental demyelination c relapsing-remitting polyneuropathy

Onion bulb (hypertrophic) neuropathy

Segmental demyelination

- Hereditary motor and sensory neuropathies (HMSNs)

- eg. Charcot-Marie-Tooth disease (HMSN 1) - duplication of a gene

encoding peripheral myelin protein 22 (PMP22)

- see Nervous System Non-Tumor

 

 

Amyotrophic Lateral Sclerosis (ALS)

- aka Lou Gehrig's dz

- see Nervous System Non-Tumor

 

Dysfunction of both UMN and LMNs with no cognitive or sensory defections that presents as weakness of unknown origin in the 20s-30s

- sporadic form is MC (familial form in 5-10%)

 

Sx: dec gag reflex, cough is weak, difficulty swallowing and chewing (all signs of a poor px)

- marked dec in muscle mass in prox and distal limb muscles, tongue and diaphragm

 

Genes: may be assoc c SuperOxide Dysmutase 1 (SOD1); or betel nut ingestion

 

Lab: inc CPK

 

Gross: atrophy of lateral corticospinal tracts and anterior motor neurons of spinal cord

 

Micro: Lewy like and Bunina body inclusions

- astrogliosis (sclerosis)

 

Tx: Riluzole (blocks glutamatergic neurotransmission by inhibiting glutamine release and inactivating voltage-gated Na+ channels)

- baclofen can treat spasticity

 

Px: rapid course that end in resp failure

- fronto-temporal dementia in up to 1/2 of pts

 

Spinal Muscular Atrophy (SMA)

 

AR, mutations in survival motor neutron 1 (SMN1) gene responsible for all forms

- lower motor neuron defects

- SMA1 (Werdnig-Hoffman dz) is the most severe

 

SMA Type I: Werdnig-Hoffman disease

 

MCC of SMA, presents as a floppy baby around birth (0-6 mo) and is lethal in the first 3 years, 2/2 atrophy of spinal anterior horn cells

- marked hypotonia, sluggish mvmt and fasciculation of tongue (Floppy NeoNate)

 

SMA II and III (Kugelberg-Welander syndrome)present later in life and have longer lifespans

 

Genes: Survival Motor Neuron (SMN) gene 5q11-q13

 

Micro: Round atrophic fibers of entire fascicles (panfascicular) w/o reinnervation

- atrophic groups of type I and type II fibers and occasionally clusters of large type I fibers

 

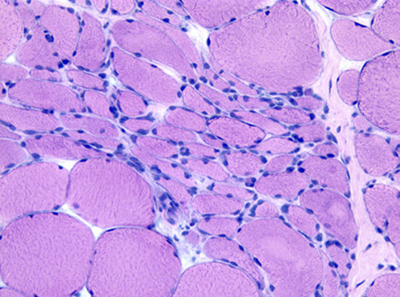
Denervation atrophy

 

Atrophy of sk muscle 2/2 loss of trophic innervation

- can be 2/2 loss of any part of the Lower Motor Neuron

 

Angular atrophic myofibers, Fiber-type grouping can be signs of re-innervation

- target fibers (nonspecific) may be seen

 

 

Myasthenia Gravis

 

Disorder of neuromuscular junction 2/2 ab's directed against post-synaptic AChR

- extraocular and bulbar weakness that gets worse with repetitive contractions; diplopia and ptosis

- assoc c thymic hyperplasia and thymoma

 

Micro: muscle bx is not informative, but can see nonspecific interstitial lymphocytes

 

Tx: sx can be reversed c AChE inhibitors such as edrophonium (tensilon; short-acting) and pyridostigmine (longer acting)

 

 

Lambert-Eaton Syndrome

 

Paraneoplastic disorder of NMJ 2/2 abs against pre-synaptic voltage-gated Ca2+ channels (resulting in dec ACh release)

- is a type II HS rxn

- improves c repetitive muscular contraction

- assoc c small cell ca of the lung

 

Micro: no specific pathology

 

Tx: no reversal of sx c AChE inhibitors alone

 

 

Duchenne Muscular Dystrophy

 

X-linked recessive; MC form of muscular dystrophy, onset before 5 yo

2/2 complete lack of dystrophin, which links actin to the Extracellular Matrix and can be tested  (on Xp21) c IHC or Western blot

- dystrophin gene product normally functions to anchor the cytoplasm of the muscle fiber to the extracellular matrix in the dystrophin assoc protein complex

 

Sx: mostly males affected; normal at birth, but delayed ambulation and weakness in prox pelvic muscles; Gower's sign when getting off ground; eventually shoulders weaken and calves get pseudohypertrophied 2/2 fat infiltration

- wheelchair bound in teens and death ~20 yo, possibly from heart failure

- mild cognitive impairments

 

Labs: inc CK (>10k)

 

Micro: myopathic changes c variable fiber size, split fibers and interstitial fibrosis

- Myopathic features, including: increased variation of fiber size, increased numbers of rounded fibers and fibers with internal nuclei, muscle fiber necrosis and phagocytosis, muscle fiber regeneration (basophilic fibers), increased fibrous tissue (fibrosis) and fat (at end-stage there is little remaining muscle - replacement by fat and connective tissue).

 

IHC: complete lack of membranous staining c dystrophin  (hence "dystrophinopathy")

 

Dx: dystrophin deficiency in muscle bx

 

Genes: XR, variety of mutations / deletions on DMD gene on Xp21.2

- can be dx's by Western blot

 

Tx: Roids slow the progression of DMD

 

 

Becker Muscular Dystrophy

 

2/2 functional mutations or partial loss of dystrophin protein

- X-recessive, less severe with later onset and normal life-span

 

Calf hypertrophy is an early finding

- able to walk beyond 15 yo

- MR is not as common as in DMD

 

Labs: CK levels and muscle bx is similar to DMD

- Western blot shows low dystrophin

- genetic testing is positive for mutation in 65% (same as in DMD)

 

IHC: weak and patchy dystrophin staining

 

 

 

 

Limb-girdle Muscular Dystrophy

 

AR, M=F, group of dzs 2/2 abnormalities of components of the dystrophin-associated protein complex other than dystrophin

- usually affects the shoulders and pelvis

 

Labs: CK elevated 10x ULN and remains elevated

 

 

Fascioscapulohumeral Dystrophy

 

AD, seen in early teens c asymmetrical muscle wasting on back, shoulders and upper arms

 

Labs: CK is 2x ULN and remains elevated

 

 

Myotonic Muscular Dystrophy (MMD)

 

MCC muscular dystrophy in adults, AD, 2/2 CTG trinucleotide expansion in Dystrophia Myotonia Protein Kinase (DMPK) gene on 19q in type 1 and cr 3q in type II and shows anticipation genetically

 

Sx: smooth muscle effects such as bowel dysmotility, myotonia (prolonged contractions), cardiomyopathy, and nonmuscular features like cataracts, "hatchet facies," (facial atrophy and temporal balding), DM

 

Micro: markedly inc # of internalized (centrally placed) nuclei, sarcoplasmic masses, and ring fibers are characteristic

- moth-eaten and whorled fibers can be seen

 

 

Pompe disease

- aka Glycogen storage disease (GSD) type II

 

Mutation in gene encoding a1,4-glucosidase (acid maltase) causes lysosomal accumulation of glycogen that affects the heart

 

 

Forbes / Cori dz (Debranching enzyme deficiency)

- aka GSD type III

 

accumulation of unbound glycogen, esp in liver

 

 

McArdle's disease

- aka GSD type V

 

2/2 absence of myophosphorylase

 

Sx: exercise-induced cramps and rhabdomyolysis c unbound glycogen accumulations

 

Malignant Hyperthermia (MH)

 

syndrome of malignant hyperthermia when exposed to certain anesthetics

- hypercarbia while under anesthesia is often the 1st sign

- caused by defective RYR1 calcium channels due to RYR1 gene mutation

 

Mitochondrial myopathies

 

Maternal inheritance; commonly see lactic acidosis, several subtypes

- Mitochondrial encephalopathy, lactic acidosis, and stroke-like symptoms (MELAS)

- Myoclonic epilepsy and ragged-red fibers (MERRF)

- Kearns-Sayre syndrome (KSS): opthalmoplegia, cardiac conduction defects, sensorineural hearing loss

- Chronic progressive external opthalmoplegia (CPEO)

 

Micro: "ragged red fibers" on trichrome, which have accumulations of glycogen and neutral lipids and look red c red dotted sarcoplasm 2/2 mitochondrial prolif

 

IHC: inc reactivity succinate dehydrogenase (SDH)

- dec reactivity for cytochrome c oxidase

 

EM: paracrystalline inclusions

 

 

Central core disease

 

Nonprogressive; infantile hypotonia; linked to 19q13.1; assoc c malignant hyperthermia when given inhaled anesthetics

Ryanodine receptor gene (RYR1) mutations --> inc risk malignant hyperthermia

 

Histo: centrally disorganized myofibrils

Central light areas (cores) on trichrome (disorganized sarcomeres by EM)

 

 

Nemaline myopathy

 

Nemaline rods (derived from Z-band) accumulate

Rod or thread-like inclusions on trichrome;

- affects sk muscle of face, neck, and limbs, causing difficulty swallowing, foot deformities, scoliosis, and joint contractures

 

Genes: NEB gene mutations (~1/2), ACTA1 mutations (up to 1/4)

 

Micro: nemaline rods best seen as dark blue structures c Gomori trichrome stain

 

EM: subsarcolemmal "nemaline rods" (Z-band material), a dense linear structure that appears to be derived from Z-lines

 

 

 

Centronuclear (myotubular) myopathy

 

Severe X-linked neonatal form; mild adult form Internal nuclei greatly increased.

 

Micro: Accum of fibers c chains of central nuclei that look like the myotubular stage of muscle development

 

 

Dermatomyositis (DM)

 

Inflammatory myopathy c generalized malaise and prox weakness

- Gottron's papules and heliotrope rash characteristic

- adults have inc risk of visceral malignancy (inc 40%)

- kids get calcinosis and myocarditis and visceral ischemia (juvenile dermatomyositis)

 

Labs: inc CK, aldolase, (+) ANA, anti-Jo-1

 

Micro: ab mediated damage to BV's results in perifascicular inflam/atrophy; may also see lymphocytic vascullitis

*** the perifascicular inflam is closer to the skin, which gives it the skin sx (not seen in PM, which is endomysial)***

 

EM: tubuloreticular inclusions (means interferon is inc)

 

Tx: roids

 

 

Polymyositis (PM)

 

Autoimmune dz, mostly adults, F>M; presents c inc CK and aldolase (in 2/3), myalgia, symmetric proximal weakness

- can distinguish from dermatomyositis bc does not have rash, or papulles

- not assoc c inc risk of malig or calcinosis

 

Micro: cell-mediated invasion of viable myofibers by CD8>4 lymphs --> endomysial inflam

- no vasculitis and no perifascicular atrophy

 

Tx: roids, interferon

 

Mixed Connective Tissue Disease

 

Autoimmune disorder that has features of three other connective tissue diseases:

-SLE

-Scleroderma

-Polymyositis

 

Sx: Raynaud phenomenon, sausage-like fingers, inflammed joints + muscles, pulmonary hypertension

 

Tx:Corticosteroids, Hypertension drugs

 

Labs: CK and Aldolase increased

 

 

Inclusion Body Myositis (IBM)

 

Similar sx as polymyositis; but MC in males >50 yo, prominent involvement in finger/wrist flexors, no response to roids

- etiology generally unknown, but some cases can be attributed to Valosine Containing Protein (VCP) gene mutations

- rimmed vacuoles not seen on paraffin embedded sections of skeletal muscle and need frozen and/or glutaraldehyde fixed material for plastic embedding and possibly EM

- frozen material larger than resin-embedded and less apt to be negative due to sampling

 

Micro: tubulofilamentous inclusions, inclammation, rimmed vacuoles and fibers c mitochondrial abnormalities

 

Tx: resistant to roids and immunosuppression; usually go straight to methotrexate

 

Px: relentlessly progressive, fatal disease

 

 

Diabetic Neuropathy

 

Seen in about 1/2 of diabetics, causing distal sensorimotor disturbances ("stocking glove distribution" of numbness)

 

Micro: loss of axons, thickening of small BVs and perineurium

 

 

Chronic Inflammatory Demyelinating Polyradiculoneuropathy (CIDP)

 

Prolonged clinical course; sensory and/or motor neurons can be involved and it is usually symmetric

 

Micro: concentric Schwann cell lamellae ("onion bulbs")

 

Tx: roids may be beneficial

Refsum dz, shortening of the 4th toe

Denervation atrophy - affects both muscle types

Here, GBS is fairly acute, and nerve contains inc inflam. Majority of small round nuclei are lymphs infiltrating nerve; residual myelinated axons can be seen. Denser pink lines (black arrow) are axons and bubbly-appearing pink areas surrounding them are myelin sheaths.

Small onion bulbs

SMA type 1: Werdnig Hoffman dz

Lambert-Eaton syndrome: Abs against presynaptic Ca2+ channels; weakness improves c muscle contraction

Duchenne muscular dystrophy

Mitochondrial myopathies

Central core disease

Nemaline myopathy

Gottron's papules

DM

Polymyositis (PM)

IBM