Salivary Glands

Anatomy / Histology

Malignant Salivary Gland Tumors

Development and Growth

Definition of Salivary glands

Classification

Anatomy

Histology

Inflammatory Salivary Disease

Xerostomia

Lymphoepithelial Cysts

Sialadenitis

Sialometaplasia

Necrotizing Sialadenitis

  • Subacute necrotizing sialadenitis
  • Necrotizing sialometaplasia

Adenomatoid hyperplasia

Mucocoele

Benign Salivary Gland Tumors

Pleomorphic adenoma (mixed tumor)

  • Monomorphic adenoma
  • Myoepithelioma

Papillary Cystadenoma Lymphomatosum (Warthin tumor)

Oncocytoma

Oncocytosis

Basal cell adenoma

Canalicular adenoma

Ductal papilloma

Sebaceous lymphadenoma

Mucoepidermoid Carcinoma (MEC)

Adenocarcinoma NOS

Basal Cell Adenocarcinoma

Acinic Cell Carcinoma

Adenoid Cystic Carcinoma

Epithelioid-Myoepithelioid Carcinoma

Myoepithelial carcinoma

Sialoblastoma

Squamous Cell Carcinoma

Salivary Duct Carcinoma

Polymorphous low-grade adenocarcinoma (PLGA)

Mammary Analogue Secretory Carcioma (MASC)

Low-grade cribriform cystadenocarcinoma

Small cell carcinoma (see Salivary Gland Cytology)

Oropharynx and Teeth

Pigmented (Melanocytic) Neuroectodermal Tumor of Infancy

Mucocele

Squamous papilloma

HPV Positive OP Ca

Ameloblastoma

Dentigerous Cyst

Adenomatoid Odontogenic Tumor (AOT)

Calcifying Odontogenic Cyst

Keratocystic Odontogenic Tumor (KCOT)

Ameloblastic Carcinoma

Anatomy / Histo of Salivary Glands

Development [1]

 

Parotid and submaxillary: primordium formed at 5-6 WGA

Sublingual: primordium formed at 7-8 WGA

Minor glands: primordium formed at 11-12 WGA

 

Growth

 

1. Stimulated by factors found in the mesenchyme

2. Innervation stimulates growth

3. Chronically increased stimulation (ie by inc food bulk) stimulates growth of glands

 

Definition

 

Salivary glands are exocrine glands that secrete saliva into the oral cavity

 

Classification

- can be by size and / or secretion

 

Size classification:

Major salivary glands - 3 pairs

- 2 parotids / encapsulated, Stenson's Duct / Parotid papillae

- 2 submaxillary / Sub-encapsulated, Wharton's duct - mandibullary gland

- 2 sublingual glands / non-encapsulated, no single major duct (Bartholin's duct?), Sublingual caruncle

 

Minor salivary glands

- labial and buccal

- glossopalatine and retromolar pad area

- palatine

- lingual

 

Minor glands that secrete mostly Mucous

- von Ebner glands - serous: circumvallate and foliate papillae

- Blandin and Nuhn - Mucous: midline ventral tongue mostly towards tip

 

According to Secretion

- pure serous (Parotid)

- pure mucous (Sublingual)

- Seromucous (Submaxillary)

 

 

Anatomy

 

Parotid gland

Largest salivary gland; located in the triangle surrounded by the zygomatic arch superiorly, the masseter anteriorly, and SCM posteriorly

- inferior pole mostly confined to angle of the mandible

- medial pole mostly confined to the TMJ

- protid duct (Stenson's duct) leaves the anterior border, passes anteriorly on the masseter, penetrates the buccinator and opens into the buccal cavity

- facial nerve (CNVII) penetrates the gland

 

Sublingual gland

- found superior to the myohyoid

- superior border of the sublingual gland appears as the sublingual fold in the oral floor

- superior border of sublingual gland appears as the sublingual fold in the oral floor

- major sublingual duct (Bartholin's duct) opens in the sublingual caruncle

- numerous minor sublingual ducts on the sublignual fold

 

Submandibular gland

Located in the inferior space of the myohyoid

- the submandibular duct (Wharton's duct) runs forward along the lingual nerve in the sublingual space and opens into the sublingual caruncle

 

Linguaal gland - Mucous and serous glands

Mucous glands

Similar in structure to the labial and buccal glands. They are found especially  at the back part behind the vallate papillae, but are also present at the apex and marginal parts. In this connection the anterior lingual glands (Blandin or Nuhn) require special notice. They are situated on the under surface of the apex of the tongue, one on either side of the frenulum, where they are covered by a fasciculus of muscular fivers derived from the Styloglossusus and Longitudinalis inferior. They are from 12 to 25 mm long, and about 8 mm broad, and each pens by three or four ducts on the under surface of the apex

 

Serous glands (von Ebner's gland)

occur only at the back of the tongue in the neighborhood of the tast-buds, their ducts opening for the most part into the fossa of the vallate papillae. These glands are racemose (clustered), the duct of each branching into several minute ducts, which end in alveoli, lined by a single layer of more or less columnar epithelium. Their secretion is of a watery nature, and probably assists in the distribution of the substance to be tasted over the taste area

 

Histology

 

Submandibular gland

Mixed salivary gland, predominantly serous acini, some mucous acini with serous demilunes

- short intercalated ducts, and striated ducts c simple cuboidal lining epithelium

- interlobular ducts c stratified cuboidal or stratified columnar epithelium surrounded by connective tissue

 

Sublingual gland

Mixed salivary gland, c predominantly mucous acini; some serous demilunes

- acini are composed of centrally-located mucous cells and peripheral serous demilunes

- short intercalated ducts, striated ducts c simple columnar lining epithelium

- interlobular ducts c stratified cuboidal / columnar epithelium surrounded by connective tissue

 

Parotid gland

Serous salivary gland, serous acini, zymogen granules, intercalated ducts, striated ducts, interlobular ducts c stratified epithelium, lobules c connective tissue septa and nearby LN c capsule

Inflammatory Salivary Disease

Xerostomia

- aka dry-mouth

 

Common side-effect of meds, esp in elderly population

 

Assoc c Sjogren's syndrome

 

May cause mouth sores and tooth cavities

 

 

 

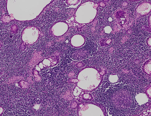
Lymphoepithelial Cyst

 

Occur in LNs in parotid, around the parotid, lacrimal glands or cervical areas

- may be a consequence of HIV infection

 

Micro: Reactive epithelial cells ("epithelial-myoepithelial islands") surrounded by heavy inflam

- these epithelial cells are ectopic tissue possibly derived from the branchial pouch

 

Branchial cleft cysts, Hashimoto's thyroiditis and multilocular thymic cysts can have similar etiology

 

 

Sialadenitis

 

Inflammation that may be caused by a number of factors (trauma, infx, autoimmune)

 

MC type of lesion in sialadenitis is a mucocele

- Mumps is the MC viral cause of sialadenitis

 

Mucocele

MC lesion of the salivary glands, usually found on bottom lip as a results of trauma, and may have a bluish tinge to them

- can be caused by a blockage or rupture in the ducts

Micro: have cystic spaces filled c mucin and lined by inflam cells

Tx: Complete surgical excision (will recur if not completely excised)

 

Ranula - mucocele of the sublingual glands

- may grow into a "plunging ranula" - a cyst so large it busts through muscle tissue of the jaw

 

 

 

 

Sialometaplasia

 

Nests of reactive epithelial cells in pre-existing salivary tissue which is a reaction to damaged tissue

- see uniform round/spindly cells in acini or intercalated ducts at transition bwt normal and damaged tissue

- not mits or pleomorphism

- necrotizing sialometaplasia may be caused by an ischemic event

 

Necrotizing sialadenitis

 

A non-specific inflam condition of unknown etiology affecting oral minor salivary glands

 

Sx: palatal swelling c abrupt onset of pain

 

Subacute necrotizing sialadenititis

 

Diffuse gland involvement; loss of acinar cells; early acinar cell necrosis; atrophy of ductal cells; no ductal squamous metaplasia; no significant fibrosis

 

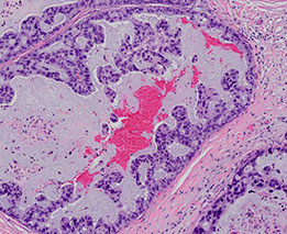
Necrotizing sialometaplasia

 

Lobular coagulative  necrosis of acini (glands); ductal metaplasia; PEH of the overlying squamous epithelium; mucous pooling and granulation tissue; fibrosis (inna late lesion)

- squamous metaplasia and hyperplasia of the duct system retains the duct system architecture

- inflam is probably caused by a reaction mucin released by necrotic glands

- is a reactive lesion secondary to infarct of salivary gland tissue, typically on the palate

 

Px: is a self-limiting condition, the act of the bx usually releases growth factors that lead to resolution

 

Adenomatoid Hyperplasia

 

Unknown etiology; seen in both genders of adults

- hard and soft palate see retromolar mass

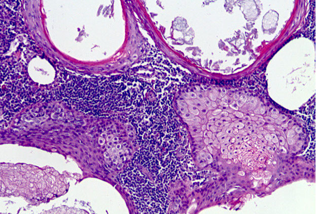
Lymphoepithelial cyst

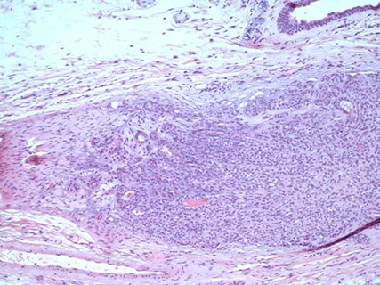
Subacute necrotizing sialadenitis of the left palate c focal acinar necrosis (stars)

Subacute necrotizing sialadentiis

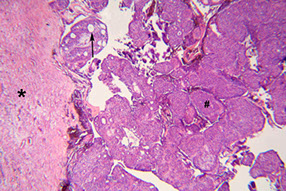
Necrotizing sialometaplasia of the palate with pseudoepitheliumatous hyperplasia (PEH)

Salivary Gland Tumor Overview

Benign

Malignant

Benign Salivary Gland Tumors

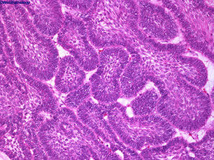
Pleomorphic adenoma

- aka Mixed Tumor

 

MC salivary gland neoplasm (~50% of all salivary gland tumors)

- makes sense that they are MC in parotid, bc the larger the salivary gland, the more likely a tumor there will be benign

 

Presents as a painless, slow-growing, movable mass, usually in the superficial parotid in the tail of the gland

- high rates of recurrence; total parotidectomy should be done to reduce this risk

 

Gross: round, well-demarcated but often not completely encapsulated and can protrude into surrounding gland (may be a factor in recurrence)

 

Micro: mix of ductal and ? surrounding myoepithelial cells with varying degrees of ossification, cartilage, myxoid and hyaline tissue present (chondromyxoid)

- may have oncocytic change

- forms "pseudopods", or tongues / outpouchings that may be left behind in excision

- several variants exist: Cellular, Atypical (isolated atypia, vascular tumor plugs and capsular "breaks), Recurrent multinodular, and Benign metastasizing

- tyrosine crystalloids can be seen in stromal component

 

IHC: (+) ME pos for CK/p63/calponin/SMA/S100/GFAP, epithelium pos for CK/EMA/CEA/c-kit (luminal)

 

Genes: PLAG1 proto-oncogenere arrangement from 8q12 in ~1/3

- also seen in ST/cutaneous mixed tumors and lipoblastomas

- PLAG1 IHC stain available

- HMGA2 rearrangements

 

Tx caveat: PAs c lots of mucin may recur more bc sticks to surgical instruments during initial procedure and are innoculated into residual salivary tissue; tend to see multiple tumors in recurrence

 

Px: Rate that it may develop into a malignant mixed tumor increases with the amount of time it is present (if it does turn malignant, it is very aggressive)

- if turns malignant, called carcinoma ex pleomorphic adenoma or malignant mixed tumor, the probability of turning malignant increases with time (they are the most aggressive salivary gland tumors!!!); and up to 5-10% of PA's can turn into ca ex-PA

 

 

Monomorphic adenoma

 

- per Rosai, the term was originally developed to encompass all benign tumors that are not pleomorphic adenomas (thus including all dx's on this page [Warthins, basal cell adenoma, etc]); but there is confusion that arises from using this term, so just don't dx anything as a monomorphic adenoma ...

 

 

Myoepithelioma

 

B9; a monomorphic adenoma made of just myoepithelial cells

- can be spindled, plasmacytoid, clear cell, epithelioid

- greater % turn malignant than PA's

 

IHC: (+) S100, calponin, CK5/6

- neg

- don't mistake for SCC

Pleomorphic adenoma

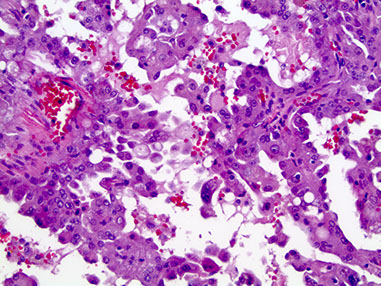
Papillary Cystadenoma Lymphomatosum (Warthin tumor)

 

2nd MC salivary gland tumor (~10% overall salivary gland tumors)

- MC in male smokers over 50 yo, bilateral (in 1/20?)

- arises from lymph tissue w/in parotid gland and is usually multifocal

 

Gross: filled c grumous material (from cysts)

 

Micro: Double layer composed of outer columnar cells and inner cuboidal cells lining reactive (not neoplastic) lymphoid tissue [comes from native lymph tissue of parotid]

- outer layer filled with mitochondria and appears reddish (termed "oncocytic"); the outer epithelial layers are the neoplastic component of Warthin's

- may infarct if becomes too big and have central necrosis

- deprive oncocytes of O2 a little bit and they will infarct, so watch out for reactive changes

- can have "motor oil" background cytologically

 

***WAR THE NODE (lymph node, that is)***

- WarthiN looks like a lymph Node

 

Tx: Superficial parotidectomy

- may infarct if untx'd

 

Px: may rarely transform into a higher-grade tumor

Warthin tumor

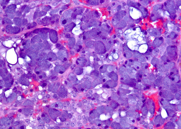
Oncocytoma

 

Rare, solid, parotid, oncocytes polygonal c lots of mitochondria

- absence of fluid, lymphs and debris

- grossly a well-circumscribed tan nodule

 

Micro: big polygonal cells c lots of red granular cytoplasm, usually has capsule (hence b9)

- may look worrisome if prev FNA'd

 

IHC: (+) PTAH, c-kit, PAS+/diastase sensitive clear cells,

- neg ME markers

 

DDx: WT, ACC

 

Oncocytosis

 

- aka multinodular oncocytoma, multifocal adenomatous oncocytic hyperplasia

Either parotid cysts lined by oncocytes or well defined clusters of oncocytes

- b9, multifocal / nodular or diffuse prolif of oncocytic cells usually in parotid gland (can be bilateral)

 

 

Oncocytoma

Membranous basal cell adenoma

Basal cell adenoma

Basal cell adenoma

 

Basal Cell Adenoma (BCA)

 

Several different subtypes (solid, membranous, tubular, trabecular, tubulotrabecular, cribriform), usually older pts, F>M; parotid>>submandibular>>other sites

 

Micro: 2 cell types: luminal (light) and basal abluminal (dark), and sometimes has peripheral palisading, has basosquamous whorls in center of cellular nests

- all subtypes have fibrous stroma, no cartilage or mucin (as in a PA), and can have cystic change, squamous whorls, keratinization or cribriforming

- membranous subtype has basaloid nests and islands that form jigsaw patterns and are surrounded by a thick hyalinized BM, and can be multifocal and unencapsulated (appearing similar to adenoid cystic ca, but membranous does not have as much atypia or cribriforming) [1]

- if prominent basal layer is lacking, may be difficult to ddx from PA (BCA does not have myxochondroid matrix); may additionally resemble a myoepithelioma if made of entirely myoepithelial cells

 

IHC: (+) calponin (highlights myoepithelial stromal parts, as in PA)

 

Genes: CTNNB1 mutations

 

Tx: total parotidectomy

 

Px: one quarter recurs and one quarter turns malignant

 

 

Canalicular adenoma

 

B9 epithelial tumor c chains of columnar cells and loose CT stroma, 1/100 salivary gland tumors, esp in upper lip minor salivary glands, F>M, blacks>whites, in 60s (yo)

- grossly is well-circumscribed, no capsule, solid or cystic

 

Micro: long columnar cell chains that can break up or fuse together in loose collagenous stroma

 

Px: excellent, rarely recurs

 

 

 

Ductal Papilloma

 

Group of b9 uncommon epithelial salivary gland neoplasms c unique histology; usually a slow growing painless mass, treated c surgical excision for all subtypes; rarely recur, and malig transformation is rare

 

Subtypes:

Sialadenoma Papilliferum (SP) – b9 tumor c exophytic (papillary) and endophytic epithelial proliferation of mucosa or salivary duct origin

- occurs mostly in palate (4/5) usually at junction of soft and hard palates; rarely involves major salivary glands

 

Inverted Ductal Papilloma (IDP) – luminal papillary projection arising at junction of salivary gland duct and oral mucosal surface epithelium c characteristic inverted (endophytic growth) pattern

- usually on lower lip and buccal mucosa

 

Intraductal Papilloma (IP) - unicystic duct dilatation of luminal papillary proliferation coming from segment of interlobular or excretory duct

- MC in intraoral minor salivary glands

 

DDx: Mucoepitdermoid carcinoma (MEC) – has characteristic epidermoid cells, mucocytes and intermediate cells, usually c proliferative (thickened) appearance in MEC absent in ductal papillomas; MEC also has invasive features not seen in ductal papilloma, though can still diagnose MEC if invasive features are absent but the 3 characteristic cell types are there

- Papillary cystadenoma (PC): usually a multicystic lesion (vs unicystic in IP); also the intraluminal papillations of IP are more complex and numerous than the papillae of PC

- Verrucous carcinoma (VC) – tiered keratosis is present in VC, absent in SP; ductal component is absent in VC

 

Inverted Ductal Papilloma - IDP

 

Cystadenoma

 

B9 unicystic or multicystic epithelial neoplasm devoid of extraluminal solid growth; primarily in parotid gland and minor salivary glands of lips, buccal mucosa and palate

 

Micro: Well-circumscrbed but variable encapsulation; cystic spaces of variable number and size; epithelial lining typically composed of cuboidal to columnar cells; intraluminal papillary proliferation may be evident

 

Tx: conservative surgical excision

 

Px: recurrence uncommon after complete removal

DDx: MEC, Salivary duct cyst, cystadenocarcinoma, Warthin tumor

 

Papillary oncocytic cystadenoma

 

Sebaceous lymphadenoma (SLA)

 

Rare, b9 lymphoepithelial cyst c sebaceous differentiation

-  tumor cells are embedded within a dense benign lymphoid stroma

- Tumors lacking sebocytes are termed non-SLA

 

- slow-growiing asyptomatic neoplasm almost always in parotid

- made of variably sized and shaped groups of sebaceous cells, salivary ducts and cysts in lymphoid background

 

Several theories exist as to pathogenesis, possibly from salivary gland entrapped in LN

 

Cyto:  SLA typically exhibits vacuolated cells with microvesicular cytoplasm and indentations around a central nucleus associated with basaloid epithelial clusters within a lymphoid background. However, owing to tumor heterogeneity, diagnostic challenges arise when not all cellular components are present. The lymphoid background remains the most encountered feature, emphasizing the importance of including SLA in the differential diagnosis of lymphoid-rich salivary gland lesions

 

IHC: epithelial elements express basal cell markers, such as p63 and CK5/6, in an abluminal staining pattern,

- CK7 highlights luminal cells.

- Myoepithelial cells are usually absent or only focally present.

- Cells with sebaceous differentiation, characterized by finely to coarsely vacuolated cytoplasm, can be highlighted by adipophilin.

- Background lymphocytes are polytypic

Sebaceous lymphadenoma

SLA

Malignant Salivary Gland Tumors

Mucoepidermoid Carcinoma (MEC)

 

MC malignant salivary gland tumor (~15% overall salivary gland tumors)

- MC in parotids, but, as expected from malignant salivary gland tumors they also frequently occur in the smaller salivary glands

 

Painful, causes numbness and CN VII paralysis, grows fast, causes dysphagia and ipsilat ear drainage

- LG MEC is cystic and has better px, whereas HG MEC is less cystic and has worse px

 

Micro: as name suggests, is a mix of Mucous-secreting cells (should see goblet cells c lots of intracellular mucin, +/- exctracellular mucin), squames / epidermoid cells and intermediate / basaloid cells

- irregular cellular nests should be invading into normal tissue, and may see some squamous metaplasia / keratinization

- more goblet cells means more differentiated; more intermediate / basaloid cells means, conversely, less differentiated (aka the more mucoid the better, the more solid / squamoid the worse)

-- high grade lesions will necessitate a LN dissection!!

- can have lymphoid infiltrate

- look for sclerotic stroma and tumor assoc lymphoid response (TALP)

- low grade has mucous extravasation phenomenon

 

IHC (+) EMA, PAS/D (diastase digests glycogen, abundant in tumor cells), p63 (nucleus, in intermediate cells, the stronger the worse), CK7, Ki-67 (higher index the worse), HER2 (cell membrane, higher positivity = higher grade), mucicarmine (goblet cells)

- CK5/6 (rare pos, cytoplasmic, epidermoid > transitional cells),

- neg: ME markers (S-100, calponin, CK20, GFAP)

 

Genetics: (11;19)(q21;p13) which fuses MECT1(CRTC1)/MAML2 genes found in 40-80%

 

DDx: Sialometaplasia; Mucus Extravasation Reaction; Squamous cell carcinoma; Clear Cell Malignancy; Cystadenoma; Cystadenocarcinoma

 

Tx: Excision w/ lymph node dissection if large.

- Rads/ chemo may be used if high stage/ grade

 

Grading: Low < 5 < Intermediate < 6 < High

+ 2 = intracystic component < 20%; Neural invasion

+ 3 = 4+ mits/HPF; Necrosis

+4 = Anaplasia

 

Prognosis:

- Low grade has good prog (15% recurrence, 2.5% mortality)

- High grade poor prog (55-80% mets [lung, bone, brain]/mortality)

-- tongue/ mouth floor/ submandibular glands have poor prog regardless of grade/ stage

 

5-year survival depends on tumor grade and ranges from 50-90%

Adenocarcinoma NOS (AC NOS)

 

Dx of exclusion, but still ~1/5 of all salivary gland carcinomas, F>M, MC in parotid (3/5), but also in hard/soft palates, buccal mucosa, and lips

- present as slow growing painless mass, can extend to underlying bone, grossly can have hemorrhage or necrosis and can be circumscribed or infiltrative

 

Micro: ductal structures c infiltrative growth

- can look pretty tame in low-grade AC NOS

- cribriform pattern is low-grade, called cribriform AC of minor gland origin

 

IHC: nothing chaacteristic

 

Cyto: difficult, can try to differentiate low and high grade

 

Genes: Cribriform adenocarcinoma assoc c PRKD rearrangement

 

Px: grade, stage and location dependent (better in minor glands)

- 15 yr survival ranges from 1/2 to 1/50 from low to high grades

 

Basal Cell Adenocarcinoma (BCAC)

- aka basaloid carcinoma

 

Rare (1/50 salivary gland tumors), partially encapsulated, similar cells as BCA, but invades (nerves, vessels and stroma), and has higher Ki67 (>5%) / high mits (>4-5/10 hpf)

- is not equivalent to malignant transformation of basal cell adenoma

 

Prominent palisading within nests

- can have nests of matrix material within the nests

 

Acinic Cell Carcinoma

 

Malignant neoplasm with cells resembling normal serous acinar cells;

Parotids(4/5) > Submandibular > Minor salivary glands, F>M

May be bilateral or multicentric (like Warthin’s)

Tumors are generally small discrete lesions

- there is no b9 counterpart (acinic cell adenoma)

- grossly firm, circumscribed most of the time

 

Variable architecture (types) and cell morphology

Clear cytoplasm generally, but can be solid or vacuolated

- if cytoplasmic vacuoles present, may stain PAS (+); however they are just secretory granules and not mucin (as in MEC)

- usualy basophilic c lots of lymphoid infiltrate

- can look a little like thyroid

 

Can be in sheets or microcystic, glandular, follicular or papillary patterns

Usually few mitoses and little anaplasia

 

IHC: (+) PAS, PASD, (clear cells are PAS and mucin neg), keratin, amylase, transferrin, IgA, proline-rich protein, ANO1 (anoctamin-1)/DOG1 (Discovered On GIST-1), SOX10

- Negative GCDFP-15, MUC1, BRST-2 and mammaglobin and HER2

 

Clinical course dependent of degree of pleomorphism, though not well established

10-15% with LN mets, up to 35% recurrence

Both associated with worse prognosis

- otherwise fairly good 5-year survival (low-risk)

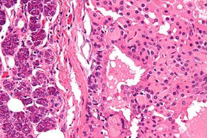
Acinic cell carcinoma

Adenoid Cystic Carcinoma

- aka cylindroma

 

~1/15 of all salivary gland tumors; seen in older women

- mostly (60%) seen in minor salivary glands, esp in the palate; (MC malignant tumor of minor salivary glands)

 

Have extensively invasive growth patterns, esp perineural invasion

 

Micro: Biphasic c ductal lining and ME cells with cribriform, tubular or solid pattern and hyaline material filling the spaces bwt tumors (stromal hyalinization [thick BM])

- usually contains at least some cribriform nests (Swiss cheese) filled c myxoid (blue goo), but may not be present on small bx

- tumor cells should not have intracytoplasmic mucin (found in MEC) - mucin is secreted into pseudocysts - also shound not have squamous metaplasia

- considered high-grade if >30% has solid growth pattern - has calcification / comedonecrosis in high grade

 

Cytology: carrot-shaped

 

Genes: LOH at 6q23-35, MYB-NFIB in 1/2

 

IHC: (+) ME pos for CK (lumen epithelial cells) / p63 (basal-myoepithelial cells) / calponin / SMA / S100 / GFAP, epithelium pos for CK/EMA/CEA/c-kit (luminal) and CD117???

 

DDx: PLGA (PLGA has less mits, less hyperchromasia, less dense fibrous stroma, smaller nests and less nuclear polymorphism); PA

 

Tx: Radical excision and rads

 

Px: Tend to recur and met; thus are high risk and have relatively low 5- and 10-year survivals (MC mets to lung)

- high tendency for perineural invasion

 

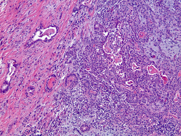
Adenoid cystic ca

High grade adenoid cystic ca c comedo necrosis

Epithelial-Myoepithelial carcinoma

 

Rare (<1% of salivary tumors) cancer c biphasic ductoid structures c inner layer of duct lining, epithelial cells, and outer layer of clear myoepihlium-type cells

- in parotid in older pts (7th decade), usually low grade (though can be high grade) c both epithelial and myoepithelial parts

- aka glycogen-rich adenoma

 

Gross: ~2.5 cm, tough, well-circumscribed but not encapsulated, sometimes lobulated

 

Micro: low grade with double-layered duct-oid structures (inner cuboidal duct-lining cells and outer myoepithelial layer[s] c clear cytoplasm and eccentric nuclei), multinodular

- mild nuclear pleomorphism, varialble mits

 

Cyto: cellualr, single cells c naked nuclei

- might not see both cell types

 

IHC: (+) ME pos for CK/p63/calponin/SMA/S100/GFAP, epithelium pos for CK/EMA/CEA/c-kit (luminal)

 

Px: thought to be b9 (4/5 5-yr survival), but can have mets

- worse if high mits, inc atypia, and aneuploidy

epithelioid-myoepithelioid ca

Myoepithelial carcinoma

- aka malignant myoepithelioma

 

tumor made almost entirely of myoepithelial cells, mostly in parotids, M=F

- grossly uncircumscribed

 

Micro: multinodular c infiltration into adjacent tissues

- nodules are solid and in sheets c lots of mcous and sometimes central necrosis, can have variable histology

- nuclei can range from relative calm looking to ramped up, and can have few to lots of mits

- 1/2 have perineural invasion

- no true glands or lumina seen

 

IHC: (+) S100 (all have some degree of staining), myoepithelial markers (muscle-specific actin, GFAP, CD10, calponin, smooth muscle myosin heavy chain), CK, glycogen, Alcian blue (in myxoid matrix), p63 (3/5), smooth muscle actin (3/5),

- neg: mucicarmine (if doesn't have glands)

 

Px: 1/3 of pts die of the dz, 1/3 get recurrences and 1/3 dz free

Sialoblastoma

 

Rare, sometimes aggressive tumor of major salivary glands, usually seen at birth and looks like primitary salivary development

- M=F, usually slow-growing,

- grosly multilobulated and at least a little circumscribed, sometimes c local invasion and hemmorhage, necrosis if higher grade

 

Px: recurs locally in 1/5

 

 

Squamous cell ca

 

Rare to have primary SCC of salivary gland, much more common to have mets from other site, esp direct extension from overlying SCC of skin

- HG non-K SCC can look like other salivary gland ca's, esp MEC

- can diff drom MEC c CK7, CK5/6 and mucicarmine (SCC is CD5/6 +, neg for CD7 and mucicarmine)

 

 

 

 

Salivary duct carcinoma

 

Rare (0-2% of salivary gland tumors) cancer of elderly (>50 yo) in parotid (possibly bilat), can look like DCIS of breast, but may actually come prom a other tumors (aka PA)

 

Micro: looks like invase ductal of breast, red cytoplasm, marked pleomorphism, vesicular nuclei, big nucleoli, looks like squames also can have Roman bridging

- can have calcification or necrosis or assoc c SCC

 

IHC:(+) androgen receptors (9/10), GCDFP, CKs, EMA, CEA, PCNA, inc Ki67

- neg: HER2 amplification (var), calponin, SMA, amylase, DOG1

 

Genes: diploid or aneuploid, 6q alteration, 17p/17q (less so than breast)

- chr 7 polysomy, 12q amplification, 9p LOH

 

Tx: excise, sample nodes, rads chemo

 

Px: if high grade can recur and infiltrate

- 1/2 survive at 5 yrs, worse if larger, mets, intraductal component, ER beta neg, p53+, HER2+, MMP9+, chr 7 polysomy

roman bridges in salivary duct ca

Salivary duct carcinoma, can look like ductal carcinoma of breast, has comedo necrosis

PLGA

Polymorphous Low-Grade Adenocarcinoma (PLGA)

- aka lobular ca or terminal duct ca

 

Only in minor salivary glands of mouth, usually the palate of adult females

 

Uniform cells in pleomorphic nests c bluish, bland round to spindly cells c ovoid vesicular nuclei and a hyaline/myxoid stroma (which lacks myoepithelial cells), c plump columnar tumor cells lined up in single file

- few mits, little necrosis, though perineural invasion is common it has no effect on px

 

Classically have whorling/sweeping cell arrangement along periphery, but architecture can be very variable

- can show targetoid pattern around vessels and nerves

Uninvolved (nonneoplastic) seromucinous glands tend to be more entrapped (not obliterated/effaced)

- similar to adenoid cystic carcinoma, may have stromal hyalinization

 

IHC (usually doesn't help too much): (+) S100, EMA

- variable CEA; weak c-kit

 

Tx: excision

 

Px: excellent, a low-risk malignancy

Mammary Analogue Secretory Carcinoma (MASC)

 

Tumor of the parotid c microcystic, papillary, and tubular patterns

- has a relation to acinic cell carcinoma and breast cancers, the genetics is mostly what makes it unique

- usually are slow growing lesions in the parotid of young males

- resembles secretory ca of the breast

 

IHC: (+) GCDFP-15, MUC1, BRST-2 and mammaglobin, CK, S100

- sometimes has (+) mucicarmine in intraluminal spaces

- negative HER2

 

Genetics: t(12;15)(p13;q25), ETV6-NTRK3 gene hybrid is diagnostic

MASC

 

Low-grade cribriform cystadenocarcinoma

 

IHC: (+) S100

Oropharyngeal Pathology

Normal Tooth Embryology (Odontogenesis)

 

Primary teeth start to form bwt 6th-8th WGA, permanent teeth in the 20th week

- the tooth germ is the aggregate of cells that form a tooth, derived from the ectoderm of the first pharyngeal arch and ectomesenchyme of the neural crest

-- tooth germ has 3 parts: 1) enamel organ; 2) dental papilla, 3) dental sac or follicle

 

1) Enamel organ - made of outer enamel epithelium, inner enamel epithelium, stellate reticulum and stratum intermedium

- these cells give rise to ameloblasts, which make enamel and become part of the reduced enamel epithelium (REE) after enamel maturation

- cervical loop is where the outer enamel epithelium and inner enamel epithelium join

 

2) Dental papilla - has cells that become odontoblasts (dentin-forming cells); the junction bwt dnetal papilla and inner enamel epithelium determines the crown shape of a tooth

- mesenchymal cells in the dental papilla responsible for the formation of tooth pulp

 

3) Dental sac (or follicle) gives rise to cementoblasts (form cementum of a tooth), osteoblasts (make alveolar bone around roots of teeth), and fibroblasts (develop periodontal ligament)

 

In normal teeth, tooth enamel made by the enamel organ, an ectodermally derived specialized epithelijm

- after enamel formation complete, enamel organ epithelium atrophies

-- the reduced enamel epithelium then merges c the overlying mucosal epithelium to form the initial gingival crevicular epithelium of the newly erupted tooth

 

Deciduous tooth - aka baby tooth or primary tooth; falls out during childhood

 

Succedaneous tooth - permanent tooth; aka adult tooth; replaces deciduous teeth and lasts throughout life normally

 

Normal Tooth Anatomy

 

4 types of teeth: incisors, canines, premolars, and molars

- each have their own function (incisors cut, canines tear, molars and premolars crush)

- the roots of teeth are embedded in the jaw bones (mandible and maxilla) and are covered by the gums

 

-- ameloblasts are specialized epithelial cells that form tooth enamel

--- enamel made of an inner layer of reduced / atrophied ameloblasts and an external layer most likely stratum intermedium cells

 

 

Juxtaoral organ of Chievitz (JOC)

 

normal anatomic structure found bilaterally at angle of mandible assoc c buccal n and buccotemporalis fascia

- can be mistaken for invasion of nerves of carcinoma, but is cytologically bland, lacking pleomorphism and has no mits

-- keratinization absent despite the presence of intracellular bridges

 

 

 

Pigmented (Melanocytic) Neuroectodermal Tumor of Infancy

 

Rare tumor of oral cavity and gums usually seen around birth, of neural crest origin (bc expresses melanotransferrin [involved in iron metabolism])

- grows rapidly, around midline or maxillary area

 

Micro: biphasic c melanin-containing cells and neuroblast-like cells

 

IHC: (+) S100, CK, HMB45, Melan A, NSE, CD57

 

Tx: excision

 

Px: B9, but can be locally aggressive and undergo malig changes

 

Mucocele

 

Mucus escape phenomenon, a pseudocyst from disruption of minor salivary glands, M=F, usually teens to early 20s, Mc on lower lip then bucal

Ranula = sublingual mucocele simple and plunging types

- Tyndall effect?

 

Histo: no true cyst wall, histiocytic response to mucus

 

Pyogenic granuloma / Lobular capillary Hemangioma

 

"Pregnancy tumor" - bump in preg womens mouth that resolves

 

Histo: can look dangerous at high power, but has thick vessels

 

 

Squamous papilloma

 

MC b9 tumor of oral cavity, exophytic epithelial neoplasm, branching fronds of squamous epithelium overlying fibrovasc cores, assoc c HPV, 40s to 50 yo, mostly on tongue and palate

 

Preneoplastic Squamous Surface Lesions

 

Criteria is different for keratinizing vs non-keratinizing ca's

- non-keratinizing is found more in cervix, not so much in upper aerodigestive tract (most are keratinizing; though this is confusing bc keratinization implies a degree of organization)

- lower-grade atypia is in lower 1/3, High grade atypia is in middle and upper thirds

 

Terms... (not to be used in path diagnosis)

Leukoplakia - white patch, low potential to progress to dysplasia

- other things that can present as a white patch: Candida, lichen planus, psoriasis, syphylis

- assoc c tobacco, EtOH,

 

Erythroplakia - red patch, has potential to progress to dysplasia

 

Erythroleukoplakia / Speckled leukoplakia -intermediate ca potential bwt red / white lesions

 

Hyperplasia - thickening of epithelial surface causing inc numbers of cells

 

Pseudoepitheliomatous hyperplasia (PEH) - can look cancerous but is just a very reactive / reparative epithelial overgrowth to some insult

- classically assoc c Granular Cell Tumor (GCT)

 

Keratosis - hyperkeratosis (inc surface keratin) c prominent granular layer and orthokeratin (anucleate keratin cells) usually c mixed parakeratin (flat keratinocytes c pyknotic nuclei)

- keratotic lesions w/o dysplasia do not usually turn into ca

 

Dysplasia  = atypia

- cytologic and maturation problems

-- loss of polarity, nuc pleomorphism, inc mits, inc NC

- grading can be similar to cervix, as in mild, moderate or severe

-- severe dysplasia often multifocal and usually next to invasive lesions

- preinvasive lesions usually can be cured by stopping the insulting factor (tobacco)

- moderate dysplasia tells clinician that should FU closely

 

Carcinoma in situ - full-thickness mucosal atypia

 

Early / superficial / microscopic invasive SCC - SCC that has penetrated BM into submucosa

- can do BM stain to see if has invaded

- invasion of the seromucosal glands is CIS and not invasive

- dysfunction of vocal cords is muscle invasive

- microinvasive ca can either be part of CIS spectrum or can occur without full thickness atypia in "drop off" carcinoma

 

HPV+ Oral and Oropharynheal SCC

 

In young non-smokers c high risk behavior, are usually married and have a college degree; 19/20 HPV16+,

- wild type TP53, IHC p16

- non-K "basaloid" morphology, lobular growth pattern (not CIS)

- mod-poorly diff

- HV-related non-K SCC

- Cystic mets

 

Determining high-risk HPV status - gold standard is HR-HPV ISH for mRNA

 

Px: better c low T and high N stage tumors
- respond better to tx if HPV+ (?)

 

Papillary (exophytic) SCC

 

solitary exophytic lesion, M>F, older adults, in larynx (MC), oral mucosa, hypopharynx and sinonasal tract, possible assoc c HPV

- considered invasive even in absence of definite stromal invasion

 

Tx: surgical

 

Px: similar to conventional SCC; more of a b9 lesion even though is considered invasive (??)

-- ddx: should RO laryngeal papillomatosis

 

Inverted Papilloma

aka Schneiderian papilloma

 

see Nasopharynx (Respiratory)

 

Verrucous Carcinoma (VC)

 

Highly diff SCC variant that is not metastatic, but is locally destructive, also in older men, can occur anywhere in upper aerodigestive tract, but oral cavity MC, if in larynx is MC on glottis

 

Micro: broad base attachment, marked keratosis in layers (church-spire keratosis), no nuclear atypia, no mits beyond basal layer, pushing (not infiltrating) border, dysplasia limited to basal zone

- can look similar to papillary SCC, need lots of material

 

Tx: surgery (local or resection), but should not get rads

 

Px: excellent, rarely mets to local LN, distant mets not seen

 

 

Spindle Cell Squamous Carcinoma

- aka sarcomatoid carcinoma, carcinosarcoma, Lane tumor

 

Tumor with conventional SCC and malig spindle cell stromal components, older men, larynx (true > false vocal cords) more than oral cavity

- grossly polypoid / fungating mass

 

Micro: spindle cell stromal component usually more prominent and is hypercellular c pleomorphic large dark nuclei, lots of mits which can be variety of histologic patters (storiform, palisading, fascicular)

- necrosis not uncommon

- also has b9 or malig geterologous elements (bone or cartilage)

 

Px: generally poor (polyps less aggressive than flat lesions)

 

 

Basaloid SCC

 

Invasive, high-grade SCC variant with predisposition to hypopharnyx or base of tongue

- primary mucosal BCC is very rare

 

Hist: basaloid cells c wide variety of growth patterns; biphasic c surface dysplasia / conventional SCCA

- solid nests c central comedonecrosis, +/- peripheral palisading, highly atypical basaloid cells, pink hyaline droplets

- perineural or angiolymphatic invasion

 

IHC: (+) p63

 

 

Undifferentiated Carcinoma (Lymphoepithlioma-Like or Nasopharyngeal-Type)

 

Broken down into keratinizing and nonkeratinizing (both diferentiated and undifferentiated [includes lymphoepithelioma])

- uncommon in USA, but is ~1/5 of all cancers in China, M>F, MC in lateral wall (fossa of Rosenmuller)

- assoc c high EBV titers

- grossly can be either mucosal bulge

 

IHC: (+) keratins

 

Px: usually presents at advanced stage 2/2 location

- tend to met to LNs; undifferentiated type sens to rad

- 1/2 5-yr survival; depending on stage, pt age (younger the better), LN mets

 

Adenoid ("Acantholytic" or Angiosarcoma-like) SCC

 

MC in cutaneous sites of head and neck, less common from mucosal sites

- should be mentioned to avoid confusion c adenoCA

 

Micro: has pseudolumina that create appearance of glandular diff formed by acantholysis of malig squames

- true gland formation not seen (mucin stains neg)

 

IHC: (+) CKs and EMA

- neg: mucin, CD34 / 31, Factor VIII

 

Field cancerization

 

Carcinogen activation in entire exposed mucosa, c multiple separate ca's

- may start as a single site and spread laterally

- tobacco and EtOH are the most important risk factors

 

HPV Positive OP Ca

 

(+) HPV status in oropharyngeal carcinoma is strongly assoc c better therapeutic response and survival compared to HPV-negative carcinoma

 

Dentigerous Cyst

- aka follicular cyst, odontogenic cyst

 

2nd MCC of odontogenic cyst (~1/5 epithelium-lined jaw cysts), and the MCC of developmental odontogenic cyst; usually in young adults and teens

- assoc c crown of an unerupted (or partially erupted) tooth, usually the mandibular third molars (wisdom teeth)

- thought that the pressure from an erupting tooth on the follicle obstructs venous flow and causes an exudate to form bwt the reduced enamel epithelium and the tooth crown

- multiple simultaneous cysts are uncommon

- may be found on radiographs taken for delayed tooth rupture; usually painless, can be painful if infected; can be large enough to displace involved teeth and cause resorption of adjacent teeth

 

Imaging: usually a well-defined, unilocular radiolucency on X-ray c sclerotic rim (can look the same as KCOT and ameloblastoma)

 

Micro: cyst cavity lined by stratified squamous epithelial cells from reduced enamel epithelium of the tooth forming organ

- has no rete ridges, flat interface, lining epithelium 2-4 layers of cuboidal epithelium

 

DDx: Cystic ameloblastoma (usually has reverse polarization of nuclei [away from BM]); KCOT (has hyperchromatic basal palisading of cuboidal / columnar cells, and wavy surface parakeratosis)

 

Px: excellent, almost never recur c complete enucleation

 

Hyperplastic Dental Follicle

 

Odontogenic hamartomatous lesion assoc c delayed or failure of tooth eruption in young pts, usually first and second molars

 

Imaging: well-circumscribed radiolucent area c sclerotic borders surrounding the crown of an unerupted tooth

- frequently mimics a dentigerous cyst

- may also be mistaken for a odontogenic myxoma

 

Micro: fibrous connective tissue containing reduced enamel (odontogenic) epithelium, which is a layer of cuboidal to columar eosinopgilic cells that are the atrophic remnants of the effete enamel organ after dental crown formation complete

- wall of lesion made of fibromyxoid tissue

- also has multinucleated giant cells, and calcification foci

 

Lateral Periodontal Cyst (LPC)

- called a botyroid odontogenic cyst if multilocular

 

Non-keratinized and non-inflam developmental cysts found adjacent,  lateral to, or bwt the roots a vital tooth/ teeth

- the cyst arises in the lateral periodontium or in the bone bwt the roots of erupted vital teeth

 

Micro: lining think c focal thickened plaque-like areas and variable cells cells, sometimes c swirling pattern in the thickened epithelium

 

Radicular Cyst

 

Associated with the periapex of a nonvital tooth and an inflammatory odontogenic cyst

 

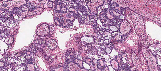
Adenomatoid Odontogenic Tumor (AOT)

- aka adenoameloblastoma

 

Odontogenic tumor arising from enamel organ or dental lamina

- rare; seen in younger pts, 2F>1M; usually in anterior maxilla, and most are assoc c an impacted canine tooth

 

Imaging: radiolucency around an unerupted tooth extending past the cementoenamel junction

- usually has faint flecks of radiopacities surrounded by radiolucent zone

 

Gross: crown of tooth usually projects into cystic cavity

 

Micro: well-circ, central prolif of duct-like epithelium surrounded by small foci of calcification

- may see rosettes, trabecular or cribriform patterns of epithelium

- columnar-type cells c basal nuclei and clear cytoplasm can looklike pre-ameloblasts

- eosinophilic material seen in bwt tumor cells and in ductlike structures

 

Tx: enucleation

 

Calcifying Cystic Odontogenic Tumor (CCOT)

- aka calcifying odontogenic cysts, or Gorlin cyst

 

B9  odontogenic tumor of cystic type usually in the anterior areas of the jaws, usually in 2nd-3rd decade of life

- impacted tooth involved in ~1/3 of cases

- originally thought of as oral analogue to pilomatrixoma of skin

 

Imaging: unilocular radiolucency

 

Micro: "Ghost cells" are enlarged eosinophilic cells w/o nuclei that can calcify

- lined by stratified squames 2-3 cells thick

- focal areas of stellate reticulum-like cells seen

- near basement membrane can see ameloblast-like cells

 

3 types:

1) Type 1A Ghost cells and dentinoid

 

2) Type 1B formation of calcified tissues in lumen of cyst wall --> dystrophic calcification

- prolif of tissue similar to ameloblastic fibroma

 

3) Type IC Ameloblast-like prolif in the connective tissue and lumen of cyst can be seen

 

Tx: enucleation and curettage

 

Keratocystic Odontogenic Tumor (KCOT)

- previously odontogenic keratocyst (OKC) but renamed 2/2 potential for aggressiveness, recurrence and genetic abnormalities

 

Parakeratin lined cyst-like tumor in bone (posterior mandible), ~1/10 of odontogenic cysts, MC up to 30 yo; 9/10 solitary

- multiple tumors assoc c Gorlin syndrome (nevoid basal cell carcinoma syndrome [NBCCS])

- may arise from dental lamina; usually cause jaw swelling

- grossly has thin wall c unerupted tooth

 

Micro: uniform epithelium of palisading hyperchromatic basal cell cuboidal to columnar cells w/o rete ridges

- luminal side c wavy "corrugated" parakeratotic epithelial cells and can have keratotic debris inside

 

Genes: 2-hit mech in bi-allelic loff of PTCH ("patched") tumor suppressor on 9q22.3 causing dysregulatio nof p53 and cyclin D1 oncoproteins

 

Tx: decompression , enucleation, excision (may be excessive)

 

Px: up to 1/2 recur (possibly 2/2 daughter cysts in the wall that are not excised, or fragmentation of the cyst wall during excision)

 

 

Ameloblastoma

 

Rare tumor of sinonasal tract (though MC clinically significant odontogenic tumor); found in maxillary sinus extended from maxilla; MC in older men (60 yo); previously adimantinoma

- no known etiology; possibly arises from remants of ameloblast or dental lamina, dentigerous cysts or basal layer or oral mucosa

- solid and cystic grossly; MC in posterior mandible

 

Micro: columnar basal cells in palisading configuration c vacuolated cytoplasm and hyperchromatic nuclei polarized away from BM (reverse polarity)

- suprabasal cells loose / not cohesive; similar to stellate reticulum

- no enamel or dentin formation

- can have follicular and plexiform patterns

 

Px: grows slowly, can recur, may met but wont kill

 

Ameloblastic Carcinoma

 

 

Tooth bud: A - enamel organ, B - dental papilla, C - Dental follicle

Tooth erupting into mouth; A-tooth, B-gingiva, C-bone, D-periodontal ligaments

Bone resection c pigment below surface in a Pigmented (Melanocytic) Neurocetodermal tumor of infancy

Pigmented large epithelioid cells c smaller primitive cells

Smaller primitive cells in nests

Leukoplakia

Erythroplakia

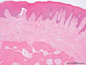
Dentigerous cyst

Dentigerous cyst lined b thin layer of stratified squames c chronic inflam in stroma

Hyperplastic Dental Follicle

LPC

Radicular cyst, c epithelial lining c arcaded pattern c iinflam

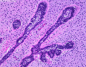
AOT c fibrous connective tissue capsule (*), nodular aggs of cells (#), and duct-like strucures (->)

Gland-like spaces surrounded by cuboidal to columnar cells (->)

AOT

CCOT with calcification of ghost cells

Keratocystic Odontogenic Tumor (KCOT)

Ameloblastoma c islands c palisaded nuclei c reverse polarization and subnuclear vacuolization

Ameloblastoma

Ameloblastic Fibroma (AF)

 

Occur up to 20 yo;

- ameloblastic fibroma (AF) and ameloblastic fibro-dentinoma occur at later ages than ameloblastic fibroodontoma (below)

 

Micro: b9 odontogenic  c pallisading nuclei c subnuclear vacuoles, and fairly b9 lookiing stroma

 

Ameloblastic Fibro-Odontoma (AFO)

 

Rare, mixed odontogenic tumor

- usually seen up to 20 yo (but can occur at any age), while ameloblastic fibroma (AF) and ameloblastic fibro-dentinoma occur at later ages

 

Micro: b9 amyloblastic epithelium with primitive ectomesenchymnal stroma

 

Amyloblastic Fibrosarcoma

 

Rare; M>F, 20-30 yo; present c swelling and pain; found in mandible and can extend to maxillary sinus; mixed odontogenic tumor made of b9 amyloblastic epithelium and malignant mesenchymal stroma

- possibly related to ameloblastic fibroma

- called ameloblastic fibroodontosarcoma if enamel seen in malig stroma

 

Imaging: expansive, multilocular radiolucent lesion c cortical perforation

 

Micro: biphasic c b9 ameloblastic epithelium and malig spindly stroma

- b9 amloblastic epithelium c palisading, reverse polarization, stellate reticulum-like material

- malig stroma is hyperchromatic, pleomorphic, inc mits, can have herringbone / storiform pattern

 

Tx: surgery c wide margins; may use adjuvant chemo-rads

 

Px: locally agressive, ~1/2 recur

- can have distant mets

 

Odontoma

 

MC odontogenic tumor, usually asx

- generally assoc c trauma during primary dentition, and also inflam and infx processes, hereditary anomalies (Gardner syndrome, Hermann syndrome), odontoblastic hyperactivity

 

Tx: curettage

 

Compound Odontoma

 

Regularly calcified tissue similar to teeth or a small collection of teeth, and are considered to be hamartomas

- composed of tissue native to teeth: enamel, dentin, cementum and pulp tissue

- seen in first 2 decades of life, esp 14-18 yo, MC in anterior maxilla; may inhibit eruption of teeth

 

Imaging: multiple tooth-like structures

 

Micro: tooth-like structures arranged in uniform manner similar to normal tooth

- enamel matrix looks like fish scales; also has remnants of enamel origin and tubular dentin

 

Ddx: supernumerary teeth (are usually normal-sized teeth)

 

Complex Odontoma

 

Conglomeration of dentin, enamel and cementum

 

Micro: tooth components mixed and disorganized

 

Cystic Odontoma

 

asdf

 

Cherubism

 

Abnormal bone tissue in lower part of face, lower and upper jaw become enlarged c cyst-like growths starting in early childhood

- rounded, swollen cheeks interfere c normal tooth development

- usually stabilizes during puberty, and growths are replaced c normal bone, and can have a normal face by adulthood

- may occur c Ramon syndrome (intellectual disability, short stature, gingival fibrosis) or Noonan syndrome, fragile X syndrome

 

Imaging: multiple bilateral multilocular radiolucencies

 

Micro: a helpful feature is eosinophilic cuffing of blood vessels

 

Genes: mutated SH3BP2 found in ~4/5

 

Central Giant Cell Granuloma (CGCG)

- formerly called giant cell reparative granuloma

 

b9 condition of jaws, usually on anterior part of the mandible and cross the midline

- 2F>1M, in 20-40 yo, usually larger lesions that can move teeth and resorb roots

- thought to be two forms: aggressive (grows quickly and more likely to perforate cortical plate) and non-aggressive (grows slowly)

 

Imaging: multilocular radiolucency of bone c scalloped margins though still well-demarcated

 

Micro: lots of MNGCs (probably osteoclasts) found diffusely or locally in stroma of plump uniform mononuclear mesenchymal cells often c extravasated erythrocytes and hemosiderin deposits

- giant cells either large and round or small and irreg

- can have hemosiderin deposits

 

DDx: KCOT, ameloblastoma, odontogenic myxoma, hyperparathyroid tumor, cherubism

 

Peripheral Giant Cell Granuloma (PGCG)

 

seen in mouth, is an overgrowth of tissue 2/2 infx or trauma

- usually assoc c pyogenic granuloma and peripheral ossifying fibroma (all are causes of a "bump on the gum")

- F>M, usually around 50-60 yo, MC on the mandible and can be ant or post, can destroy underlying alveolar bone

- thought by some to be a soft tissue equivalent of central giant cell granuloma bc of microscopic similarity

 

Gross: bluish to red,  <2 cm, pedunculated

 

Micro: large numbers of multinucleated giant cells, c a ovoid to spindly stroma

- can have hemosiderin and hemorrhage near the borders

- ulcerations occur in 1/2

 

Tx: excision

 

Pyogenic Granuloma

- a cause of a "bump on the gum"

see Blood Vessels

 

Fibrous Hyperplasia

 

Swellings caused by overgrowth of fibrous connective tissue in response to chronic trauma

- can be 2/2 plaque or calculus, orthodontic appliances, over-extended or ill-fitting dentures, malocclusion

- clinically looks pale and same color as surrounding mucosa

 

Micro: unencapsulated, solid, nodular mass of dense and sometimes hyalinized fibrous connective tisue

- surface epithelium usually atrophic but can have sign of continued trauma, like inc keratin, intracellular edema and traumatic ulceration

 

DDx: giant cell fibromaddd

 

Tx: surgical excision, and removing the source of trauma

 

(Cemento-) Osseous Dysplasia

 

Oseeous Dysplasia / Cemento-Osseous Dysplasia (OD/COD [the 2 terms are synonymous]) comes in 3 flavors:

1) periapical OD/COD - dysplastic lesions in anterior mandible involving only a few adjacent teeth

- common in those of African descent

2) focal OD/COD - similar to periapical OD/COD, but c limited number of lesions in posterior jaw quadrant (rather than anterior mandible)

- common in Caucasians

3) florid OD/COD and familial gigantiform cementoma - more extensive forms, usually bilateral in mandible or in all jaw quadrants

- common in those of African descent

 

MC in women in their 40-50's yo

 

Tx: no tx necessary

- must get the right tx so doctor does not confuse c rarefying osteitis or condensing osteitis and perform unnecessary root canals

 

Odontogenic Myxoma

 

Rare intraosseous neoplasm; presenting as a slow-growing, expansile, painless, central tumor of the jaw; usually in 2nd-3rd decades

- thought to be derived from mesenchymal portion of the tooth germ

 

Imaging: multilocular radiolucency, c well-developed locules c fine trabeculae arranged at right angles known as "Tennis-raquet" or "step-ladder" pattern

 

Micro: loosely arranged stellate-shaped cells c intermingled fibrillar processes in a homogenous mucoid ground substance

 

DDx: the dental papilla of a developing tooth bud may be confused with an odontogenic myxoma if taken out of context

 

Px: b9 but locally aggressive

 

Central Odontogenic Fibroma (COF)

 

Very rare; no sx, expansile cortical plate of mandible or maxilla

- prolif of mature odontogenic mesenchyme, possibly of peridontal ligament origin; 3F>1M

 

Imaging: unilocular or multilocular radiolucency, that may look similar to ameloblastoma

 

Micro: mature collagen fibers c lots of plump fibroblasts that are uniform and equidistant from one another

- small nests / islands of odontogenic epithelium that appear inactive are present in small amts

 

DDx: odontogenic myxoma with fibrous features (fibromyxoma)

- ossifying fibroma with few bony or cementum-like components

 

Tx: enucleation and curettage

 

Cemento-Ossifying Fibroma

 

Fibro-osseous jaw lesion thought to arise from periodontal ligament, and are made of differing amts of cementum, bone and fibrous tissue

 

Px: continues to grow to enormous size and can deform the face if not treated

 

 

Peripheral Ossifying Fibroma

- aka fibrous epulis containing bone (term used in the UK)

 

Gingival nodule made of a cellular fibroblastic connective tissue stroma assoc c formation of randomly dispersed foci of mineralized products, such as bone, cementum-like tissue or dystrophic calcification

- considered to be part of an ossifying fibroma, though thought to be a gnathic tumor

- assoc c pyogenic granuloma and PGCG (all are causes of a "bump on the gum")

-- the term "peripheral ossifying fibroma" criticized bc lesion is not related to an ossifying fibroma of bone, and is not a fibroma

- F>M, can be pedunculated or sessile

 

Micro: combination of mineralized product (such as trabecular bone formation) and fibrous proliferation

- more highly developed bone or cementum likely to be present when the lesion has been there for a longer period of time

 

Tx: excision

 

Px: high rates of recurrence

 

Medication-Related Osteonecrosis of the Jaw (MRONJ)

 

Relatively uncommon, but serious side effect of tx c anti-resorptive agents like IV  high-potency bisphosphonates and denosumab

- is a side effect of cancer therapies that target angiogenesis

- a major risk factor is dento-alveolar surgery

- by definition is exposed bone in the maxillofacial region that does not heal in 8 weeks

- may be 2/2 oversuppression of bone resorption, inhibition of blood supply, constant microtrauma, and infx

AFO, follicles of ameloblastic epithelium c primitive ectomesenchyme

AFO c areas of enamel and dentine in close relationship c ameloblastic epithelium

AF

AF

Ameloblastic fibrosarcoma

Ameloblastic fibrosarcoma b9 epithelial part with maligannt stroma

Ameloblastic fibrosarcoma  c malig stroma c inc mits (red arrow) and b9 emlyoblastic epithelium (lower left)

Complex odontoma

soft tissue attachment c odontoma

deciduous tooth

Compound odontoma

Complex odontoma - disorganized mineralized mass of dentin enclosing enamel spaces c specks of enamel matrix; pulp-like tissue also seen

Attachment of complex odontoma c deciduous tooth

Cherubism

CGCG

PGCG

Fibrous hyperplasia

Focal Fibrous Hyperplasia (FFH)

Periapical OD/COD

Florid OD/COD

Odontogenic Myxoma

COF c loose stroma c fine collagen fibrils and small odontogenic epithelial rests (arrows)

Dense fibrous stroma c vague whorling pattern and focal calcifications (arrows), characteristic of the variant referred to as the WHO type (subclassification being phased out)

Cemento-Ossifying Fibroma

Peripheral Ossifying Fibroma

MRONJ

References

 

Anatomy and Histology

1. Dr. Said notes

2. https://embryology.med.unsw.edu.au/embryology/index.php/Salivary_Gland_Development

3.

 

Inflammatory Salivary Disease

1.

 

Benign Salivary Tumors

1. Pathology Outlines Case #375. http://pathologyoutlines.com/caseofweek/case375.htm?utm_source=COW+%23375&utm_campaign=Case+%23375&utm_medium=email

2.

 

Malignant Salivary Tumors

1.