refer to Lung Neoplastic

Respiratory Cytology

Sampling methods

  • Sputum
  • Bronchoscopy
  • FNA

Normal histology and cytology

Benign changes

  • Squamous metaplasia / Reactive cells
  • Radiation and chemotherapy
  • Reserve cell hyperplasia

Contaminants and non-cellular stuff

  • Vegetable matter and Pollen
  • Corpora amylacea
  • Charcot-Leyden crystals
  • Creola bodies
  • Curschmann spirals
  • Ferruginous bodies
  • Psammoma bodies

 

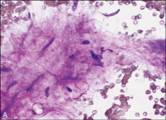
Bugs (Microbiology)

Squamous cell carcinoma

Brochioalveolar Carcinoma (BAC)

Large Cell Carcinoma

Carcinoid tumor

Small Cell Carcinoma

Adenoid-cystic carcinoma

Malignant mesothelioma

Adenocarcinoma

  • Mucinous adenocarcinoma

Pulmonary Hamartoma

  • PH with myxoid stroma

Clear cell ("sugar") tumor

Epithelioid Angiosarcoma (EAS)

Sampling methods

-- see Lung

 

Sputum

 

Healthy pts usually don't produce sputum, but this mucus soln contains cells and non-cellular stuff

- must have macrophages in sample to be satisfactory

 

Pt should rinse mouth first to remove contaminants (food, bacteria) and the best time to take it is first thing in the morning with deep coughs for 3 consecutive days

- can give a nebulizer (has H20, sodium carbonate, and glycerin) to help induce sputum production

 

Pros: Non-invasive, no complications, low cost and fair accuracy (80%), good to screen for lung ca

 

Cons: Cannot localize tumors, diagnostic cells may be few and degenerated (from the time it takes to travel up the respiratory tract), doesn't work if blockage in resp tract, rarely works with single nodules

 

Bronchoscopy

 

After application of a local anesthetic the bronchoscope is inserted through the nose and a specimen can be taken using a bronchial brushing, bronchial washing (taken after the brushing usually), or by transbronchial FNA

- BAL esp good at detecting opportunistic infections

- can be done to detect cancer within individual bronchial segments

 

FNA

 

Transthoracic FNA goes through the body cavity rather than through a brochoscope, which may be esp useful with small, peripheral tumors

 

Indications: solitary lung nodules in pts c negative cytology, differentiating new primary vs mets in a pt c known cancer, multiple nodules in a pt c unknown primary, to differentiate infx vs ca

 

Pros

Cheaper, less risky and faster than surgery, high accuracy, detects infx

Cons

Hemopytsis, pneumothorax

 

Contraindications: pt on anticoagulants, COPD, severe pulmonary HTN, severe emphysema, uncontrolled cough, uncooperative / unconscious pts, vascular lesions (bleeding risk)

 

Normal histology and cytology

 

Refer to Respiratory - Anatomy and Histology

 

Benign changes

 

Degenrated squames

 

Nuclei are small pyknotic and condensed and not very pleomorphic (as in SCC)

 

Squamous metaplasia / Reactive cells

 

Reactive condition (seen often in fungal conditions and next to a stoma) with replacement of ciliated columnar cells by squamous cells - not necessarily premalignant

 

Micro: smaller cell size c inc N:C,

- as it becomes more atypical, cells tend to become single with more nuclear atypia

 

Reactive cells appear enlarged with inc chromatin granularity, thick and irregular nuclear borders, prominent (sometimes irregular and multiple) nucleoli

- can be very difficult in respiratory tract to tell reactive from carcinoma, terminal bar and cilia can help

 

Radiation and chemotherapy

 

Radiation can cause cytoplasmic enlargement, vacuolization, spider projections with nuclear enlargement, multinucleation

 

Chemotherapy causes nuclear enlargement with nuclear smudging and cytoplasmic enlargement with 2-tone cytoplasm

 

Reserve cell hyperplasia

 

Reserve cell layer becomes hypertrophic and stratified in response to toxins (cigarette smoke)

-when overlying cells are shed the underlying reserve cells mature to metaplastic squames with cell flattening, karyopyknosis and keratin production

 

Micro: small fragments of tightly cohesive reserve cells c hyperchromatic nuclei, nuclear molding and a thin rim of basophilic cytoplasm, slightly larger than normal reserve cells

 

DDx: small cell carcinoma (looks similar, but has necrosis)

- lymphoma, non-K SCCA

 

Contaminants and non-cellular stuff

 

Alernaria spp

 

Airborne fungus considered a contaminant

 

Plant cells (Vegetable matter), pollen

 

Floated in there 5$ if you can name the correct vegetable / plant

 

Corpora amylacea

 

Large blobs in the lung that are not calcified (though they are in other organ systems); no known significance

 

Charcot-Leyden crystals

 

Squarish, orangy crystals that are formed when eos degenerate and are assoc c severe asthma

- thus are formed from the lysophospholipase of eosinophils

 

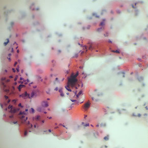
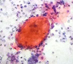
Creola bodies

 

3D sphere of reactive ciliated bronchial epithelial cells assoc c asthma and other chronic lung dz

- named after a patient in whom a false positive diagnosis of adenocarcinoma was made

 

Curschmann spirals

 

Nonspecific; should not be formally mentioned to avoid confusion

- may be assoc c asthmatic bronchitis

 

Ferruginous bodies

 

Sometimes called "asbestos bodies" are golden-black dumbbell-shaped thingies

 

Protein

 

May be suggestive of amyloidosis or alveolar proteinosis

 

Psammoma bodies

 

Circular calcifications assoc c malignant neoplasms, such as adenoca and mesothelioma and metastatic malignancies (ovarian and thyroid ca) but also with benign diseases like TB

 

 

Bugs - see Microbiology

 

Standardized Terms / Nomenclature for Resp Cytology (Diagn  Cytopathol, 2016; 44:399-409)

SEER Data for Lung Ca 2010-2014

Clara cells - nonciliated cuboidal-columnar cells that line terminal bronchioles

Reactive cells

Vege matter

<--- Alternaria

Charcot-Leyden crystals

Creola body

Curschmann spirals

Cryptococcus

Strongyloides

Adenocarcinoma

 

Originates more distally in subsegmental or distal bronchi; more easily detectable with radiology; more often found in females

- rarely dx'd on cytology unless comes from mucus gland or larger bronchi

 

Mciro: Smooth cannon ball-like edge of cell clusters, or honey-comb sheets, papillae, acini; Nuclei are eccentric and round with finely granular chromatic and big nucleoli; cytoplasm is abundant, finely vacuolated (foamy) sometimes with large secretory vacuoles and arranged in small cell clusters or as single cells; (+) mucin vacuoles,

 

(+) PAS

 

- adenoca has finer chromatin, more mucin and acinar formation, no keratinization and lighter cytoplasm than SCC

 

Genes: EGFR and ALK testing are done on any lung adenocarcinoma and any mixed lung tumors with an adenocarcinoma component

- EGFR somatic mutations in exons 18 to 21 of the tyrosine kinase domain of EGFR occur in ~10% of Western and ~1/2 of Asian patients with pulmonary adenoca

- KRAS occurs in adenoca assoc c smoking (poor px)

- EGFR and KRAS mutations are mutually exclusive

 

Do not perform EGFR and ALK testing on pure SCC or small cell ca

 

Drugs that target EGFR include:

Erlotinib (Tarceva®), Afatinib (Gilotrif®), gefitinib

EGFR mutations more common in women and people who haven’t smoked

- gefitinib is an antagonist of EGFR-TK, pts c L858R mutation in EGFR are potential candidates to get targeted tx c gefitinib

 

Drugs that target ALK include:

Crizotinib (Xalkori®), Ceritinib

ALK mutations  most often seen in non-smokers (or light smokers)

 

Drugs that target VEGF include:

Bevacizumab (Avastin®)

 

Mucinous adenocarcinoma

 

spread via airways and have satellite lesions

- can have extracellular mucin in lepidic pattern

- has KRAS mutation

 

Imaging: Appears solid on CT, may resemble lobar pneumonia if entire lung consolidated`

 

IHC: (+) TTF-1, CK20, CK7 negative (thus often confused c metastatic colon ca!)

- may be TTF-1 negative and CK7/20 (+)

 

Micro: honeycomb sheets c eccentric nuclei, lots of foamy cytoplasm with mucin vacuoles

 

Adenocarcinoma In Situ

 

Can have flower-petal appearance

 

 

Pitfalls

 

Pneumonia

Reactive pneumocytes c ARDS

Adenocarcinoma

Mucinous adenocarcinoma of lung

Organizing pneumonia

Reactive pneumocytes (pt c ARDS)

CIS

Slight ASM

Marked ASM

Moderate ASM

Small cell ca

Large cell carcinoma

 

Squamous Metaplasia / Dysplasia (to CIS)

 

Regular metaplasia

Cells about same size; nuclei c same size c regular N/C; fine powdery normochromatic chromatin c rare chromocenters; basophilic cytoplasm; cells aggregated, but may be single

 

Slightly atypical metaplasia

Cells can vary in size; slight variation in nuclei size c slightly variable N/C; fine powdery chromatin c rare clusters of nuclear material near nuclear membrane; may have acidophilic cytoplasm; can be in sheets or single cells

 

Moderate Atypical Squamous Metaplasia (ASM)

Moderate variation in cell size; significant nuclear pleomorphism c moderate N/C variation; sometimes has fine powdery chromatin, but lots of nuclear clumping present; acidophilic cytoplasm predominates; sometimes in sheets, sometimes single cells

 

Marked ASM

Marked cellular and nuclear pleomorphism; coarse nuclear material; extreme variations in N/C ratio; small, sometimes acidophilic nucleoli present; acidophilic cytoplasm predominates; single cells predominate

 

Carcinoma in situ

Marked cellular / nuclear pleomorphism (up to double the size in marked ASM!), single cells present but clusters more common than in invasive ca; large globs of chromatin present in nucleoli, not necessarily near membrane; N/C has wide variations (very low to very high) and is very pleomorphic; cannabalism and multinucleation present; acidophilic cytoplasm predominates

 

Squamous cell carcinoma

 

MCC lung ca and cancer death (~1/3%); usually comes from larger bronchi, thus more central

- assoc c smoking

- tends to invade bronchial wall and cause obstructive pneumonia; also forms necrotic cavities

- vascularity of the lungs facilitate mets

 

Several different subtypes (papillary, clear cell, small cell) exist

 

Cavitary lesions assoc c freq ghost cells and necrosis

 

Focus on keratinization, Keratin pearls, intercellular bridges

 

IHC: p40 superior to p63 to confirm dx

 

DDx: should include mets, other types of lung / resp ca, contaminants

 

Keratinizing (Well-Differentiated) SCC

Orange cytoplasm (from keratin) - can be basophilic in brushings; lots of cellular and nuclear pleomorphism, may see spindle cells, tadpole cells, cannibalized cells, multinucleation; great variation in nuclear pigmentation (hyperchromatic to pyknotic) and chromatin patterns (bland to coarse and irregular); may see nuclear angulation; can be single cells or in clusters; nucleoli are infrequent, large and irregular; lots of variation in N/C - can even see lots of anucleate cells; necrotic debris and degenerating malignant cells usually there

 

Poorly differentiated squamous (epidermoid) ca

Cytoplasm is basophilic and scant or absent; nuclei are very large and hyperchromatic due to coarse irregular chromatin (may be hypochromatic if very undifferentiated); large irregular single or clustered, elongated cells; rarely keratinized cytoplasm; can see cannibalism; may or may not have nucleoli

- in sputums can see some irregular vacuolated cells that may look like adenoca, but should be called "undifferentiated large cell ca"; chromatin is more fine in adenoca and more coarse in uSCC [2] and cytoplasm is denser in SCC; small amts of intracellular mucin can be seen in SCC! (tumor may also be adenosquamous)

- appears pallisading in basaloid variant

 

BronchioAlveolar Carcinoma (BAC)

 

Well-differentiated adenoca that originates peripherally from terminal bronchioles or alveolar walls or old scars (scar ca)

- tumor cells grow along the alveoli (lepidiform?) and replace the normal resp epithelium and dec the respiratory capacity

- continued prolif of tumor cells leads to formation of papillary fronds

Micro: + grooves and nuclear pseudoinclusions; uniform cells c pale clear nuclei;

Undifferentiated large cells carcinoma

 

Shows no columnar or squamous cell features

- may be rediagnosed 2/2 tissue sections showing features

 

Large nuclei and nucleoli, which can be multiple and irregular with thick irregular nuclear membrane, although the nucleus is usually roundish; chromatin is clumped and irregular; cytoplasm is variable;

cells arranged in irregular groups

 

Carcinoid tumor

 

~5% of all bronchial tumors; can be typical or atypical based on mitotic index; atypical carcinoid lies bwt typical carcinoma and small cell ca

- arises from Kulchitsky cells (same as small cell carcinoma), usually in the large bronchi and protrudes into and causes obstruction of the main bronchi's lumen

- usually discovered by radiology or brushing

 

Micro: (typical) loose sheets or single cells c uniform cuboidal or elongated cells c abundant granular ("salt n peppa") basophilic cytoplasm without necrosis; nuclei are uniform and can be central or eccentric; small nucleoli are usually present; forms rosettes, see branching capillaries, few mits

- spindle cells in carcinoid tumors are MC from the periphery, as opposed to the more common central carcinoid tumors

 

(atypical) looser rosettes with slightly larger cells, perhaps with a little bit of molding; same salt n peppa chromatin, mit index slightly higher than typical (up to 10%), cells a little more pleomorphic and can see minor amts of necrosis

 

IHC: 1/3 of atypical carcinoid (+) for TTF-1

- usually neg for TTF-1

 

Px: 90% 5-yr survival, 10% have mets

- favorable patterns are pseudoglandular growth pattern, papillary growth pattern or palisading

 

 

 

 

 

 

 

 

 

 

 

 

 

 

 

 

 

 

 

 

 

 

Large cell carcinoma

 

5-10% of all lung ca., dx of exclusion

- peripheral (except basaloid subtype)

- mix of squamous and adenocarcinoma (?)

Highly anaplastic undifferentiated tumor with multiple subtypes

 

Micro: clusters or single cells c irregular nuclei, multiple prominent nucleoli, feathery cytoplasm, prominent chromatin clearing, inc mits

 

Makes B-hCG (?)

 

Px: Poor; not very responsive to chemo - removed surgically

 

Important variant: Large cell neuroendocrine carcinoma (trabecular or palisading)

 

Small cell ca.

 

Comprises up to 1/4 of all primary lung ca

- usually develops in the large bronchi (central)

Micro: Small cells (isolated, in chains and clusters) - about the size of lymphocytes

 

Nuclear molding and variable hyperchromasia (from moderate to opaque); chromatin is coarser than adenoca and finer than carcinoid, and is evenly distributed and powdery; nuclei round to slighlt oval and freq irreg c rounded sides - smudging of nuclei is also characteristic

Scant cytoplasm; no nucleoli, nuclear debris and crush artifact in background
LOTS O MITS (mit index usually ~80%)

- no lymphogranular bodies (LGBs)

 

IHC: (+) TTF-1

 

Px: Highly malignant, long-term survival is rare (avg survival of 1 yr after dx)

- early lymphatic and hematogenous mets

 

Adenoid-cystic carcinoma

 

aka cylindroma; derived from bronchial mucus gland; a rare tumor that is similar to the same tumor of the salivary glands

 

Usually found centrally in the major bronchi and trachea and dx'd c bronchial brushings or transbronchial needle aspiration

 

Micro: small uniform basaloid cells surrounding a core of homogenous material

 

Px: More aggressive than carcinoid, with mets to LNs and lung parenchyma

SCC

WHO 2015

Carcinoid

Carcinoid - uniform cells

Carcinoid - salt and peppa

Atypical carcinoid

Large Cell NeuroEndocrine Carcinoma (LCNEC)

 

Architecture:

• More cohesive sheets or clusters of cells

• May show rosette formation or nuclear palisading

Cellular features:

• Medium to large sized cells

• Round to oval nuclei

• High N/C ratio, moderate amounts of cytoplasm

Nucleus/chromatin:

• Open, clumpy chromatin

• Often prominent nucleoli

 

Other:

• Frequent mitoses

• Necrotic background

• Less nuclear molding

• Crush artifact (smears)

LCNEC

Malignant mesothelioma

 

cellular with large cells, nucleoli, high N:C ratio

 

<2% of all malignant effusions

Pleura > peritoneum > pericardium

80% of cases linked to asbestos exposure

• Latency of decades

Incidence USA peak: 1990’s

• Decline in the USA, continues to be a health issue worldwide

Common symptoms: chest pain, shortness

of breath

Unilateral pleural effusion

Gross appearance of effusion: consistency

and color of honey

 

 

Definitive diagnosis generally requires evidence of invasion into skeletal muscle/adipose tissue on pleural biopsy

•Cannot prove invasion on cytologic effusion specimen!

 

3 main types:

1) Epithelioid: most common; most effusions

2) Biphasic

3) Sarcomatoid: rarely exfoliates

 

2 main patterns:

1) Large clusters with scalloped borders (“mulberry clusters”)

- “Windows” and “lacy skirts” like normal mesothelial cells

- Clusters of >20-40 cells are indicative of malignancy

2) Numerous dyshesive cells

- “Mesothelial morphology” but with severe cytologic atypia

- Diagnostically challenging

 Often need ancillary studies.

 

Genes: Homozygous 9p21 deletion has 100% specificity

• p16/CDKN2A tumor suppressor gene

- ~80% of mesotheliomas have some kind of alteration to the BAP-1 gene, which correlates c a loss of IHC expression

Mesothelioma

Malignant Mesothelioma

Pulmonary Hamartoma

 

MCC benign tumor of the lungs; relatively uncommon

- asymmptomatic

 

Micro: fragments of benign ciliated respiratory epithelium; irregularly shaped fragments of cartilage matrix with oval to elongated vesicular nuclei; adipocytes, bland spindle cells, fibromyxoid stroma

 

Tx: excision is curative

 

PH with myxoid stroma

 

Benign glandular cells

Immature fibromyxoid matrix and bland spindle cells

Mature cartilage with chondrocytes in lacunae

Adipocytes

 

 

Clear cell ("sugar") Tumor

 

extremely rare; can occur at any age; peripheral; asx

- come from perivascular epitheliod cells

 

Micro: bland coboidal to spindled cells; lots of cytoplasmic glycogen clearing

 

IHC: (+) HMB-45 / Melan-A

- negative CKs and CEA

 

 

Epithelioid Angiosarcoma (EAS)

 

Micro: large polygonal cells c vesicular chromatin, irregular nuclear membranes, prominent nucleoli

 

IHC: (+) CD34, CKs (in 1/3)

Pulmonary Hamartoma with myxoid stroma

References

 

1. Lecture notes, the U

 

2. Cibas Cytology, ch 2 Respiratory Tract, 3rd ed