Penis and Scrotum

Balanitis xerotica obliterans

Penile IntraEpithelial Neoplasia (PeIN)

Superficially invasive squamous cell carcinoma

Squamous cell carcinoma

Zoon's balanitis

Extramammary Paget Disease

Balanitis Xerotica Obliterans

- aka lichen sclerosus et atrophicus

 

A chronic progressive sclerosing process of inner foreskin that frequently results in urethral stenosis usually in middle-aged men that could be 2/2 autoimmune dz

- presents as a pathologic phimosis or as narrowing of urethral meatus and paraphimosis

 

Micro: identical to lichen slerosus et atrophicus (red white and blue babyyy!) of vulva, a chronic and atrophic mucocutaneous dz

- thin or thick epidermis with orthokeratotic hyperkeratosis

- vacuolar degen of basal layer, diffuse fibrosis and deep lymph infiltrate

 

Tx: circumcision (but can recur at scar)

 

BXO

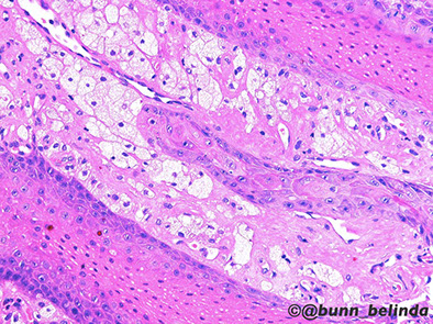
Condyloma acuminatum

 

Condyloma acuminatum is, by definition, a papillary proliferation with low-grade cytopathic features of HPV infection. The majority are caused by low-risk HPV types 6 and 11. Lesions within this spectrum are designated as LSIL, with the additional optional designation of condyloma in parentheses.

Condylomas are common in external anogenital

areas and less frequent in the cervix and vagina. [1]

 

If involves meatus or urethra, nuclei are somewhat larger and irregular and can have multinucleation

- assoc c low risk types of HPV 6 and 11

- high-risk types of HPV assoc c in situ penile SCC

 

Micro: epithelium grows toward the surface forming papillary projections covered c keratin and also into the stroma

- each rete peg has smoothly rounded margin and reaches into stroma the same distance as the adjacent rete pegs

- can see mits, but not anaplasia

- maturation toward surface is normal and orderly

- can see cytoplasmic vacuolization in the middle zone of epithelium

 

Px: B9, although usually multicentric and recurrent

Verruciform xanthoma

Verruciform Xanthoma

 

Rare, more common in the oral mucosa

- foam cells throught to be derived from CD68+ dendritic cells that respond to chronic irritation and trauma in keratinocytes causing degeneration and foam cell response

- assoc c Congenital Hemidysplasia with Ichthyosiform Erythroderma and Limb Defects (CHILD) syndrome

- no assoc c HPV or hypercholesterolemia

 

Micro: massive but regular acanthosis, parakeratosis, hyper-keratosis) assoc c bulbous epidermal ridges that tend to penetrate the same depth giving the appearance of a lower border

- neutrophils present in parakeratotic areas

- papillary dermis has uniform foamy cells

 

IHC: (+) CD68

- neg: S100

 

DDx: viral warts (excluded by lack of vacuolation and keratohyaline granules), granular cell tumor (overlying epithelium has infiltrative growth pattern, and is CD68 and S100 positive)

PeIN or Bowen disease

Penile IntraEpithelial Neoplasia (PeIN)

 

aka Erythroplasia of Queyrat (in glans of penis) or Bowen's disease (in shaft of penis)

- Bowen dz assoc c inc risk of visceral or other skin malignancy, so must differentiate what side of the penis!!

 

Scrotal intraepithelial neoplasia (ScIN / SIN??) was historically associated with chimney sweeps, but is now pretty rare

 

Differentiated PeIN

Arises in older pts and appears as a white patch on foreskin, usually in background of chronic scarring, inflammatory dermatosis, esp balanitis xerotica obliterans (lichen sclerosus)

- NOT assoc c HPV, and is a precursor for usual or low-grade subtypes of SCC (usual/keratinizing, verrucous, pseudohyperplastic, papillary)

 

HPV-assoc PeIN

Assoc c HPV-related invasive SCC (basaloid, warty, warty-basaloid), affects younger pts- presents as a red patch on the glands / perimeatal region

Precancerous lesion c intraepithelial sq cell atypia and alteration in sq cell maturation

- MC in 30-50 yo M, not assoc c balanitis xerotica obliterans

- assoc c HPV 16 and 18, thus block p16+

 

Micro: HG sq dysplasia, involving the full thickness of the epithelium, with loss of polarity and lack of normal maturation toward the surface

- some cells can be very large and may single cell keratinization (dyskeratosis)

 

IHC: (+) p16 (strong and diffuse)

 

Px: if untx'd, can progress to invasive ca

- Bowen dz assoc c internal visceral malignancy

Superficially invasive squamous cell carcinoma (SISCCA)

 

Penis [1]
Defined as an AJCC T1a lesion

 

Current AJCC definition of T1a penile carcinoma:

- Tumor that invades only the subepithelial connective tissue, AND

- No LVI, AND

- Is not poorly differentiated (grade 3-4)

 

Scrotum

Insufficient data to define SISCCA

Squamous Cell Carcinoma

 

Rare in US and Europe

- risk factors are poor hygiene and phimosis

- MC in glans, foreskin and coronal sulcus

 

Metastatic carcinoma is MC from the Prostate and Urinary bladder

 

Micro: can grow in several growth patterns: verruciform, superficial spreading, and vertical growth

- verruciform pattern has best px, vertical the worst

- other variants include basaloid sq and verrucous ca

 

Px: tumors of foreskin have best px, tumors of coronal sulcus have the worst

- basaloid variant of SCC is very aggressive

 

Adenosquamous Carcinoma

 

Highly malignant, highly rare, looks like SCC and adenoca

Adenosquamous carcinoma

Zoon's balanitis

- aka plasma cell balanitis

 

Micro: has a dense band of plasma cells

Extramammary Paget Disease of the Scrotum

 

Classified as primary or secondary when involving the male genitalia (penile or scrotal); Not assoc c HPV

-- primary Paget dz arises either as an epidermal lesion, which can extend along adnexal structures and possibly invades underlying dermis, or assoc c underlying sweat gland ca

-- secondary Paget dz is involvement of epidermis by adjacent ca, usually originating from urethra or bladder

 

IHC: (+) EMA, CEA, CK19, CK7, GCDFP15

- may be HER2/neu amplified, which can have therapeutic significance

References

 

1. Darragh et al. CAP-ASCCP LAST Project. Arch Pathol Lab Med; vol 136, Oct 2012