Larynx and Trachea

Branchial cleft anomaly

Laryngeal Papillomatosis (LP)

Proliferative Verrucous Leukoplakia (PVL)

Laryngeal Carcinoma

Granular Cell Tumor

Terms:

Pleomorphism - different cell components / types

Polymorphism - same cells but with different shapes?

 

Branchial cleft Cyst

 

From 2nd branchial cleft (>9/10)

- M=F, 3rd to 4th decades, lateral neck

 

DDx: met SCC (in older pts)

- just call it squamous lined cyst if not completely sure

 

Laryngeal Papillomatosis (LP)

- aka Juvenile laryngeal papillomatosis (?)

 

MC B9 neoplasm of larynx assoc HPV: type 6/11

- aggressive dz possibly assoc c type 16 and18

- can involve any portion of upper and lower resp

tract, but usually begins in glottis

- extension to bronchial tree and lung may be fatal, even in benign disease

- usually presents in infancy or early childhood;

however, identical lesions may appear at any age

- adult forms do not tend to spread and recur as extensively as childhood forms

 

Gross: Warty polypoid lesions from tiny to 1 or more cm in diameter

 

Micro: rounded papillary proliferations of nonkeratinizing sq epithelium. Minor areas of keratinization may be seen

- Clear koilocytotic change uncommon, but

minor cytologic atypia common

- Marked cytologic atypia, especially in children, does not necessarily imply malignant or premalignant change. In adults it is more worrisome

 

Tx: : endoscopic removal of gross lesions with

laser, may need to be done every few months

- Recent intralesional injection with anti-virals has shown great promise

 

Px: 2% incidence of carcinoma. 2-14% mortality;

2-15% extend into tracheobronchial tree. May regress at puberty or later

 

 

Proliferative Verrucous Leukoplakia (PVL)

 

rare, aggressive form of leukoplakia in older women with irreversible changes in oral cavity that usually progresses to Verrucous Carcinoma or SCC

 

Histo: well-defined lesion c hyperplastic epithelium c evenly spaced verrucous epithelial projections and assoc hyperkeratosis

 

Tx: surgery; rads does not help

 

Laryngeal carcinoma

 

* see Salivary Glands and Oropharynx for further discussion of SCC subtypes

 

assoc w EtOH, tobacco, HPV 6/11, radiation exposure, laryngeal reflux, prior injury from inhalation

MC presentationis hoarseness and cervical lymphadenopathy

- grossly, invasive SCC can look ulcerated, flat, exophytic, verrucoid or papillary

- MC cancer is Squamous cell carcinoma on the true vocal cords

- common upper airway malignancy affecting speech, swallowing, and breathing

 

Dx: laryngoscopy w tissue bx

- CT/MRI determines extent of dz and mets

- b/c of rich vascular supply may cause hemorrhage/ aspiration

 

Micro:

- definition of severe dysplasia is broader in laryngeal glottis than other parts of body

-  may see granulomatous rxn to keratin produced

- desmoplastic response is characteristic of invasive ca

 

Tx: early stage: surgical removal of microinvasive laryngeal glottic lesions has same behavior as severe dysplasia

- however, supra-glottic microinvasive ca is metastatic in 1/5 cases

 

Advanced stage: rads + chemo

 

Late stage: Total laryngectomy, reconstruction, adjuvant post-op chemoradiation

 

Papillary (exophytic) SCC

 

solitary exophytic lesion, M>F, older adults, in larynx (MC), oral mucosa, hypopharynx and sinonasal tract, possible assoc c HPV

- considered invasive even in absence of definite stromal invasion

- Tx: surgical

- Px: similar to conventional SCC

-- ddx: should RO laryngeal papillomatosis

 

 

Granular cell tumor

B9 (usually), Schwann cell origin, seen in skin, tongue, larynx, F > M, young adults

- presents as painless mass

 

Micro: pseudoepitheliomatous hyperplasia, may mimic SCC

- tumor cells c eosinophilic granular cytoplasm

and round centrally placed nucleoli

- Not encapsulated, may appear infiltrative and involve nerves

- malignancy rare; they are more cellular, with nuclear pleomorphism, necrosis, mitotic activity and have prominent nucleoli

 

IHC: PAS – D+

- granules = lysosomes. S100, CD 68+

 

DDx: paraganglioma and alveolar soft part sarcoma

 

Tx: surgical excision for benign lesions

 

 

Rhabdomyoma (adult type)

 

B9 tumor of sk muscle; less common than rhabdomyosarcomas. M > F; >40 yo

- in neck, pharynx, larynx, tongue, FOM, soft palate

 

Gross: Well-circ, not encapsulated, brown

tumor, resembling muscle

 

Micro: Large polygonal cells c fibrillar eosinophilic

cytoplasm, often with cross-striations. One or two nuclei usually at periphery of cell

 

IHC: (+) Desmin, actin, myoglobin and other

muscle markers

 

DDx: Granular cell tumor, alveolar soft part sarcoma.

 

Tx: Cured by complete surgical excision.

 

Contact ulcer of the larynx

 

B9 ulcerative lesion, produces nodule

- caused by entubation, voice abuse, GE reflux

- M > F, generally adults; MC site along posterior aspect of one or both true vocal cords

- sx: hoarseness, dysphagia, dysphonia, obstruction, choking

 

Gross: ulcerated polypoid mass up to 3 cm in diameter

 

Micro: ulcerated mucosa with underlying florid

granulation tissue with radiating vascular pattern

- Stromal cells may be plump and endothelial cells may be large

 

DDx: spindle cell carcinoma (sarcomatoid carcinoma) of the larynx

 

Tx: treat underlying cause.

 

Vocal Cord Nodule

 

Non-neoplastic stromal reactions that occur on true vocal cord in response to trauma, such as voice abuse in singers and auctioneers

 

Micro: can have submucosal myxoid material c vascular stroma, fibrous tissue deposition, prominent dilated vascular spaces, and deposition of dense hyaline material / fibrin

 

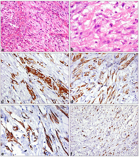
Spindle cell carcinoma of the larynx

 

SCC c sarcomatoid pattern; can occur in other mucosal sites of upper respiratory tract; larynx most common.

- 4M>1F. 6th - 8th decades; no specific correlation of

this pattern with risk factors; some in area of prior

irradiation

 

Usually exophytic or polypoid 1-6 cm in diameter. Often do not invade deeply or extend into extralaryngeal soft tissue

- arise from anterior aspect of vocal cord unlike

contact ulcer

 

Micro: Spindle cells or pleomorphic cells with high

cellularity and high mitotic rate, may have areas of

osseous or cartilaginous differentiation. Look for areas of SCC or overlying dysplasia.

 

IHC: +/- CK

 

DDx: Inflammatory Myofibroblastic Tumor (ALK+)

 

Primary sarcomas (except well-differentiated chondrosarcomas of the laryngeal skeleton) are rare

 

Tx: excision; rads may be depending on stage

 

Px: generally poor, but the polypoid vocal cord lesions may do better

  PVL

Granular cell tumor

Rhabdomyomas (in dogs)

Spindle cell carcinoma. 1a: Spindle cell lesion with myxoid stroma (HE ×200). 1b: Mild to moderate atypia in tumor cells with rare mitoses (HE ×400). 1c: Vimentin immunoperoxidase – strong expression in tumor cells (×400). 1d: Pan-cytokeratin AE1/3 immunoperoxidase (×400). 1e: smooth muscle actin immunoperoxidase (×400). 1f: Proliferation (Ki67) up to 80% (immunoperoxidase ×200). [1]

Vocal cord nodule

References

 

1. Ullrich et al. Differential diagnosis of laryngeal spindle cell carcinoma and inflammatory myofibroblastic tumor – report of two cases with similar morphology. Diagnostic Pathology 2007.