Kidney

Embryology, Anatomy, Histology

Renal biopsy introduction

Transplant rejection

  • Acute rejection
  • Chronic rejection

Effects of HIV on the kidney

Renal Vasculature

Glomerulus

Diffuse Cortical Necrosis

Renal Papillary Necrosis

Primary pauci-immune crescentic glomerulonephritis

Monoclonal Immunoglobulin deposition disease (light chain deposition disease)

Thrombotic microangiopathy

Nephritic disorders

  • Rapidly Progressive (Crescentic) Glomerulonephritis (RPGN)
    •  Goodpasture syndrome
    • Granulomatosis with PolyAngiitis (GPA; formerly Wegener's granulomatosis)
    • Microscopic polyarteritis
  • Acute Postinfectious glomerulonephritis (AIPGN)
  • Acute Proliferative Diffuse Glomerulonephritis
  • Alport's syndrome
  • IgA Nephropathy (Berger's disease)

Nephrotic disorders

  • Membrano-proliferative glomerulonephritis
  • Membranous glomerulonephritis
  • Focal segmental glomerulosclerosis (FSGS)
  • Amyloidosis
  • Minimal Change Disease
  • Diabetic glomerulonephropathy
  • Lupus nephritis
  • Congenital nephrotic syndrome of the Finnish type
  • Pierson syndrome
  • Nail-patella syndrome
  • Denys-Drash syndrome / Frasier syndrome
  • Familial autosomal dominant focal segmental glomerulosclerosis
  • Familial autosomal recessive corticosteroid-resistant nephrotic syndrome

Bacterial Endocarditis-Associated Glomerulonephritis

Chronic Renal Failure

Chronic Glomerulonephritis

Malakoplakia

Tubulo-Interstitium

Acute Pyelonephritis

Chronic Pyelonephritis

Xanthogranulomatous pyelonephritis

Drug-Induced Intersitial Nephritis

Acute Renal Failure

  • Acute Tubular Necrosis
  • Ischemic Acute Tubular Necrosis
  • Nephrotoxic Acute Tubular Necrosis
  • Intrinsic renal failure
  • Hemolytic Uremic Syndrome

Renal Tubular Acidosis

  • Type 1 ("distal")
  • Type 2 ("proximal")
  • Type 4 ("hyperkalemic")

Casts in urine

Renal Tumors and Cysts

Kidney Stones

  • Calcium
  • Ammonium magnesium phosphate (struvite)
  • Uric acid
  • Cystine

Autosomal Dominant Polycystic Kidney Disease

Autosomal Recessive Polycystic Kidney Disease

Cystic renal dysplasia

Medullary sponge kidney

Localized (simple) renal cysts

Cystic Nephroma / Mixed Epithelial Stromal Tumor (MEST)

Medullary Cystic Disease

Acquired renal cystic disease

Horseshoe kidney

Potter phenotype

Nephroblastoma (Wilms tumor)

Congenital mesoblastic nephroma

Clear cell sarcoma of the kidney

Rhaboid tumor

Metanephric stromal tumor

Angiomyolipoma

Hemangioblastoma

Mixed epithelial-stromal tumor

Metanephric adenoma

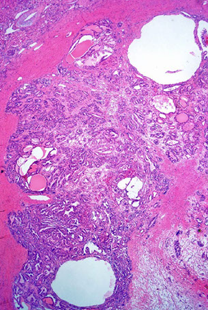
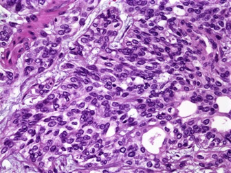
Renal Cell Carcinoma

  • Clear cell Renal cell Carcinoma
  • Clear Cell Papillary Renal Cell Carcinoma
  • Medullary Renal Cell Carcinoma
  • Papillary renal cell carcinoma
  • RCC c Xp11.2 translocation

Collecting Duct Carcinoma

Juxtaglomerular apparatus tumor

Oncycytoma

Mucinous tubular and spindle cell carcinoma

Kidney Embryology

 

3 kidney systems formed during development:

 

1) Pronephros

- completely obliterated by end of 4th week

 

2) Mesonephros - produces urine through its excretory tubules from 4th-10th week

Functions for a little while in fetal development

- a few caudal tubules and mesonephric duct persist in males and help in developing genital system, but are completely regresses in females

Mesonephric duct is lateral,

- gonad lateral to mesonephric duct

Paramesonephric duct medial (to mesonephros)

 

3) Metanephros

- "the permanent kidney"; develops from metanephric mesoderm

 

Collecting system (ureter, renal pelvis, major / minor calyces, and up to 3 million collecting tubules) comes from the uteric bud, which is an excrescence from the mesonephric duct near the cloaca

 

Total # of nephrons present at birth, which grow in size but not number thereafter (getting rid of the normal lobulated appearance of the fetal kidney)

 

 

Bladder / urethra separate from the genitals

 

Cloaca divides from 4th-7th week into urogenital sinus and anal canal (separated by urorectal septum [the taint / perineum])

 

- allantois regresses into the urachus (fibrous strand that connects belly button and bladder [which you can kinda feel if you stick ur finger in your belly button deep enough]) - aka medial umbilical ligament in grownups

 

 

Anatomy

 

2 kidneys, each broken into cortex and medulla; a renal lobe is the medullary pyramid with the cortical region covering, and is bounded by the renal columns (of Berin) and the apex terminating the a papilla surrounded by a minor calyx

 

Renal artery supplies oxygenated blood to kidney, branching into several interlobar arteries which then branch to arcuate arteries, interlobular arteries, afferent glomerular arterioles, the glomerulus, efferent arterioles, interlobular vein, arcuate vein, interlobular vein

-- blood in the efferent arterioles (from the glomerulus) is oxygenated

- the peritubular capillary network derived from efferent arterioles close to subcapsular region

- vasa recta derived from efferent arterioles close to the juxtamedullary region

- the arterial blood supply to the cortex is terminal (no anastomoses bwt interlobular arteries)

 

Vasa Recta

Formed by branching of the efferent arterioles close to corticomedullary junction, with a descending (arterial) part that goes into the medulla and an ascending (venous) portion that returns to the cortex

- runs along the loop of Henle and collecting ducts

 

Cortex

Divided into inner and outer regions

 

Medulla

Formed by medullary pyramids

 

Renal medullary pyramids have ascending interlobular arteries at the sides, papillae at the apex and the CM junction at the base

- renal lobules are in the cortex and have ascending interlobular arteries at the sides and have a single collecting duct (of Bellini) and surrounding nephron c medullary ray of Ferrein, which is the axis of the lobule

 

 

Histology

 

Uriniferous tubule

Consists of (1) nephron and (2) collecting duct, which are of different embryologic origin

 

Nephron

Made of the renal corpuscle (Bowman's capsule and the glomerulus) and the renal tubule (PCT to DCT)

 

Renal (Malpighian) corpuscle

Made of Bowman's capsule and the glomerulus

- has a visceral layer attached to the glomerulus and a parietal layer

-- Visceral layer lined by podocytes and Parietal layer has simple squamous epithelium that is continuous with the simple cuboidal epithelium of the PCT

- the urinary (Bowman's) space found bwt visceral and parietal layers and has plasma ultrafiltrate which flows into the PCT

 

Glomerulus

Made of (1) glomerular capillaries lined by fenestrated endothelial cells; (2) mesangium consisting of mesangial cells and mesangial matrix, and (3) podocytes, which are the visceral layer of Bowman's capsule

- Podocytes have long cell processes that encircle glomerular capillary completely, forming part of the glomerular filtration barrier (along with fenestrated endothelial cells, their accompanying basal lamina [type IV collagen] and the filtration slit diaphragm)

- glomerular BM encloses mesangium and attached capillaries

 

Mesangium

Made of mesangial cells and mesangial matrix

- mesangial cells are contractile, phagocytic, proliferate, make matrix and collagen, and secrete prostaglanding and endothelins

- mesangiolysis can occur when immunoglobulins deposit in the mesangium and activate complement

- granular deposits are mesangial deposits of ag-ig complexes in SLE

- Goormaghtigh cells = extraglomerular mesangial cells

 

PCT vs DCT?

Both adjacent to renal corpuscles

- PCT has abundant lysosomes (stains darkly)

- apical domain of PCT has prominent brush border and vesicles (not seen in the DCT)

- cells lining the PCT and DCT have lots of basal mitochondria

 

Renal Function Tests

 

Clearance

Concept that is the vol of blood from which substance totally removed after a period of time

 

C = UV / P

 

C = Clearance

U = Urine concentration

V = Volume urine production

P = Plasma concentration

 

Fractional Excretion

Compounds filtered by glomeruli but reabsorbed by tubules

- affected by both tubular and glomerular function

- mathematically compares clearance of a substance to clearance of a compound excreted by glomerular filtration (like creatinine), thus reflecting tubular function

- in oliguric pts, dec urine production is 2/2 vol depletion, and appropriate response is to conserve sodium, and fractional excretion should be << 1 %

- if oliguria is 2/2 tubular injury (ATN) then sodium wasting occurs and fractional exretion is >1%

- use of diuretics invalidates the test

 

Fractional Excretion = Clearance / Glomerular filtration rate

 

FE = (Ux/Px) / (Ucr / Pcr) = (Ux x Pcr) / (Px x Ucr)

 

Tubular reabsorption

When a compound is filtered and not excreted, it must have been reabsorbed

- not commonly evaluated, except for phosphate

 

Glomerular Filtration Rate (GFR)

- depends on measuring clearance of substances filtered but neither reabsorbed nor secreted by tubules

- in research, inulin and iothalamate used for this purpose

- at normal plasma levels, creatinine clearance is good estimate of GFR

 

Creatinine

- waste product of muscle creatine breakdown; production is pretty constant

- creatinine is filtered, not reabsorbed but secreted by tubules

- can get an estimated GFR (eGFR) from plasma creatinine using MDRD formula

 

eGFR = 186 x Cr^-1.154 x age^-0.203

 

MC way to measure creatinine is with Jaffe reaction where creatinine reduces alkaline picrate, making a red colored compound

 

Urea (BUN)

Made in liver as waste product of protein metabolism and ammonia generation through urea cycle

- urea is filtered and not secreted, a variable % is absorbed passively with water

- thus there is a high BUN / creatinine ratio in dehydration (and also in tubular obstruction and glomerulonephritis)

- usually measured using urease

 

To convert from urea nitrogen to urea (with both in mg/dL), multiple by 2.14

- to convert from urea nitrogen (in mg/dL) to urea  (in mmol/L) divide by 2.8

 

 

---- Bowmans  capsule

---- foot processes

---- Visceral epithelial cell

 Bowmans  space ----

---- Parietal epithelial cells (just beneath Bowman's capsule)

---- Mesangial cell

------- Glomerular BM

-------- endothelial cell

Renal biopsy introduction

 

Must correlate c clinical info

- a bx is not representative of the whole kidney

- incidcations for bx include: proteinuria (as in nephrotic syndrome), dec renal function (acute renal failure, or chronic renal failure), hematuria, asymptomatic proteinuria, or to check the function of renal allografts

- biopsies of renal masses are not very common, and biopsy of the kidney can be accidental (though should still eval appropriately)

- up to 1/10 pts get macroscopic hematuria s/p bx

- MC emergencies are suspected rejection of renal allograft and ARF

Specimens taken from kidney can be either needle bx or wedge resection done during a surgery

- MC fixative is formal saline; if want to do EM can transfer to glutaraldehyde

-- EM helpful for cases c hematuria, fam hx of renal dz, asx proteinuria, esp in kiddos

 

Bx should be mounted so that the long axis of the pieces are at right angles to the long axis of the slide

- should mount serial sections

- Congo red may be used on every specimen bc amyloid is sometimes unexpectedly found

- many renal dz's are 2/2 the immune system

- IF for IgG, -A, -M, C1q and C3 can be done on frozen sections

- immunoenzyme techniques on paraffin sections can also be done, but IF is easier

 

H&E sections should be evaluated immediately, before all else, and may have immediate clinical impact

- may or may not have kidney in the bx specimen, but specimen should still be eval'd appropriately

- cortex is usually needed to make appropriate dx, but whether the number of glomeruli (amt of cortex) is adequate depends on the clinical question

- if no kidney is seen, should not proceed with wasting further resources on the specimen, and you should tell the nephrologist immediately (may want to do another)

- other important stains: trichrome (shows fibrosis, insudates, hyalinosis and large immune deposits), PAS (shows mesangium, capillary walls, insudates, some deposits), Jones methanamine silver (shows BM)

 

Should try to judge how much cortex there is and the state of the tubules

- kiddos and yound adults should not have atrophic tubules (which are more widely separated than normal tubules, have thick BMs, with fibrous tissue and lymphs bwt them, but can also look dilated c thin epithelium, c solid material in the lumens, and little interstitium bwt them [thyroidization])

- atrophy can be a normal finding in adults; must decide whether it is more than normal

- solid material in a tubule is called a cast

HTN basically causes the kidney to age faster, worsening atrophy and ischemia

- HTN may be assoc c IUGR as fetus, causing the kidneys to not develop properly

 

Glomerular evaluation

Tuft of capillaries c BM lined c endothelial cells covered in podocytes (visceral epithelial cells), which is all enclosed in a fibrous (Bowman's) capsule lined by parietal epithelial cells

- hard to determine the absolute size of a glomerulus, but there is no normal glomerulus size, just as there is no correct body height

-- despite this, glomerular tufts that look small may be 2/2 ischemia, underdeveloped or collapsing

- underdeveloped glomeruli have fetal appearance in tuft c epithelial cells around empty BM

- ischemic glomeruli have shrunken tuft, and Bowman's capsule can look more fibrotic after chronic fibrosis (periglomerular fibrosis)

- diffuse = affecting all glomeruli

- focal = affecting only some glomeruli

- global = abnormality of the whole glomerulus

-- ie global sclerosis (obsolescence) is solid acellular fibrous tissue replacing normal glomerulus (irreversible damage)

- segmental = abnormality of part of a glomerulus

- should assess the amount of mesangium and the number of cells per mesangial area (usually not >3)

- segmental changes best eval'd on serial sections (ie hyalinosis

- in the cortex the tubules, glomeruli and BVs should be tightly packed together; and abnormal spaces may be 2/2 edema, fibrosis, inflam or tubular atrophy

- arteries get intimal thickening c age, and can get hyaline (possibly IgM) nodules

 

Patterns of injury in glomerulus

Cell prolif or reaction

- epithelial cell rxn can vary: podocytes can swell and lose foot process, or proliferate; while the parietal (Bowman's) epithelium proliferates (usually 2/2 stim c fibrinogen leakage from damaged capillaries) leading to epithelial crescent formation and scarring

 

Exudation - nuets, macros, RBCs, fibrin, and other proteins accumular in cap loops, mesangium or Bowmans space

 

Necrosis / thrombosis; hyalinization and sclerosis, deposits of abn material, GBM thickening, and secondary tubular and interstitial changes

 

Diffuse linear pattern made by direct binding of antibodies against type IV collagen

 

Granular pattern 2/2 deposition of circulating ab-ag complexes

 

Subendothelial deposits - deposition of immune complexes bwt endothelial cells of glomerular capillaries and their underlying basal lamina

 

Subepithelial deposits - deposition of stuff bwt the basal lamina and the podocyte foot processes

- must associate subepithelial deposits with membranous (type V) SLE !!!

 

Glomerulonephritis (GN) = denotes intraglomerular inflam / prolif process, usually assoc c hematuria

- loosely used to refer to any glomerular dz process

 

Glomerulopathy - dz of the glomerulus; not necessarily inflammatory

 

Immune-Mediated Glomerular injury

 

1. In situ immune complex (IC) formation

usually 2/2 abs against intrinsic glomerular ags, like the GBM ags in anti-GBM dz

- ab binding activates complement, neuts ahere to BM and cause local lytic damage; recognized pathologically by IF on BM when using fluorescein tagged by abs against IgG

- may be 2/2 extrinsic ags, if ags "planted" in BM before ab binding occurs (eg Heyman ag in experimental nephritis; and immune rxn to DNA/histone protein complexes trapped in glomerular capillary walls of pts c SLE)

 

2. Deposition of circulating ag-ab complexes

- complexes filtered in glomerulus, activate complement and cause local injury in same manner as intrinsic ags; IC can be made for endogenous (DNA, tumor-assoc ags, Ig aggs) of exogenous ags (leprosy, syphilis, hep B, injection of foreign proteins)

 

3. Anti-Neutrophil Cytoplasic Ab (ANCA)-assoc injury

ANCA abs bind to neuts, activating them and causing release of granules; in the kidney occurs in glomerular capillaries

 

4. Excess alternate pathway activation of complement or abnormal reg of complement inhibition (as in dense deposit dz or atypical HUS)

 

5. Cell-mediated immunity

 

- Where ICs deposit dependent of Ag-ab ratio (excess or equivalent ratio of ag-ab causes ICs that may cause GN); charge (BM is negatively charged, cations deposit in subepithelium, neutral stuff in mesangium, anionic stuff excluded from GBM or trapped subendothelially); size (small stuff crosses GBM, large stuff stuck in mesangium or engulfed by macros)

- other causes of glomerular injury include loss of glomerular polyanion, hyperfiltration, ischemia, and other abnormal depositions

 

Glomerular dz progressive to chronic renal failure if altered (adaptive) hemodynamics, increased intraglomerular capillary pressure, inc capillary wall stress, excessive protein load

- to reduce progression of renal dz, can use ACE-I (dec intraglomerular pressure and proteinuria), and have dietary protein restriction to control HTN

 

IC deposits can be visualized by:

- LM -not usually visible, but can be seen as small red dots on trichrome at high mag; silver stain may reveal spikes or double contouring

- EM - electron-dense deposits can be seen in subepithelium (bwt GBM and podocyte foot process), intramembranous (in GBM), subendothelial (bwt GBM and endothelial cytoplasm), mesangial

-- the anti-GBM abs of anti-GBM dz or Goodpasture's syndrome diffusely damage the GBM c secondary GBM disruption; but do not form electron-dense deposits!!

- IF - usually causes granular or lumpy-bumpy pattern of deposition of Ig or complement in capillay walls or mesangium; linear pattern of capillary wall deposition seen in anti-GBM dz

-- Classic complement pathway = C3 and C1q; alternate complement pathway = C3 only, possibly properdin

Approach to kidney bx

Normal glomerulus PAS

Approach to glomeruli evaluation

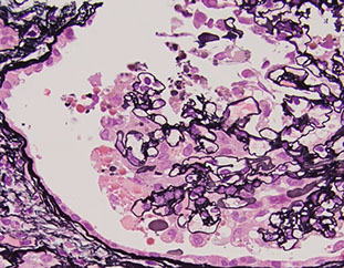
Mesangial proliferation

Look at periphery of glomerular tuft to evaluate mesangial proliferation

PAS of mesangial proliferation, look at periphery

Exudative (neutrophils) endocapillary proliferation, global (will show immunodeposits on IM)

Endocapillary proliferation, segmental

Endocapillary proliferation, silver stain

Loss of podocyte foot  processes

Crescent formation

GBM thickening

Causes of thickened capillary walls

Sclerotic glomerulus

Glomerular hyalinization with embedded lipoproteins (cleared spaces in the pink) lets you know this is hyalin

Kidney Transplant Rejection

 

~16k renal transplants done annually; 70k on waitlist

Bx usually done 2/2 impaired excretion and graft dysfunction

- allograft = graft from non-genetically identical human donor

- isograft = graft from a genetically identical donor (monozygotic or identical twins); immunosuppression not necessary

- xenograft = graft from a different species

- autograft = removal of pts own kidney and replacement in body

 

Cadaveric donors have kidneys removed either while braindead on a ventilator or after circulation has stopped

 

Kidney may be bx'd for several reasons:

- to see if it will work if transplanted (should know the warm and cold ischemic times)

- usually take a bx or wedge of cortex immediately after grafting the kidney (called implantation / post-perfusion bx), and can show ischemic/reperfursion or preservation injury

- surgeon may just feel like taking a bx if already operating on kidney for uteric or vascular problems

- may take bx after certain period of time per an institution's protocols

- renal probs other than abnormal excretory functions

- usually taken to see if there is immunologic rxn by the recipient against the graft (ie rejection)

 

Bx can have immediate impact on pt care\- bx should have at least seven glomeruli and one artery

- pathologist must decide if there is acute injury that can be treated or chronic injury that cannot be treated

- may have >1 condition per specimen

 

Rejection

 

Antibody-mediated rejection

 

- aka acute humoral rejection

- hyperacute rejection is the most dramatic form of ab-mediated rejection, which may be hyperacute (immediate thrombosis in kidney, from preformed abs, rarely seen anymore), delayed hyperacute, or accelerated acute rejection

- occurs in first few weeks after transplant (occurs in same time frame as acute cellular rejection)

- donor-specific circulating allo-abs, acute tissue damage, C4d+, different inflam cells involved, mostly affecting vessels

 

Histo: capillary endothelium and glomeruli can have neutros (acute capillaritis; usually only if necrosis), endothelial cell edema, and thrombi (small initially, large if irreversible); can see interstitial hemorrhage, focal necrosis of tubules

 

IHC: (+) C4d (inactivated form of complement component C4) on endothelium of intertubular capillaries; should be >10%

 

Labs: donor-specific abs in recipient, generally HLA abs

 

Tx: different from conventional rejection treatment

 

Conventional Acute Rejection

 

may occur anytime after transplantation, though is MC in first few weeks

- occurs in ~1/4 transplant pts

- as delayed graft function is normal, must distinguish bwt acute tubular damage related to rejection or not related to rejection

-- acute tubular damage more like to be seen in cadaveric donor c extensive trauma / prolonged hypotension

- infarction and infx (CMV and BK virus) are other possibilities

 

1) Acute cellular renal allograft rejection

 

- aka acute tubular and interstitial rejection or acute tubulo-interstitial rejection

- 2/2 reaction of CD8+ Tc cells against ags on tubular cells

- MC form of rejection; mostly T-cell infiltration into transplanted organ; considered a none-or-all phenomenon; identical to acute interstitial nephritis (may be impossible to differentiate from acute interstitial nephritis caused by allergy to drugs)

- may be reversible c tx

Micro: most significant finding is infiltration of lymphs across tubular BM into tubular epithelium (aka lymphocytic tubulitis), intestitial infiltrate of T-cells and monos, and interstitial edema

- by definition (the Banff), is >10 (borderline) -25% (definitive) infiltration of monos by area in the cortex c >4 lymphs per tubule in more than 1 area

- early changes are edema, T-cells in interstitium and peritubular capillaries, dilation of peritubular capillaries

- later changes are cortical > medullary tubulitis (T cells in inner part of tubular BM); lots more lymphs, plasma cells, macrophages, mast cells, and edema

- inflammation is not significant if seen in areas of fibrosis (subcapsular cortex in chronic ischemic damage) or connective tissues around arcuate vessels

- negative IF

 

2) Acute vascular rejection

 

- uncommon nowadays; should dx even if only 1 artery is affected

- mild intimal and transmural arteritis and peritubular capillaritis with widening of the space bwt endothelium and underlying tissues in arteries of any size (called intimal arteritis); interstitial inflam (usually CD4/8 T-cell lymphs) may fill the space

-~1/2 have C4d deposits, 1/4 ab-mediated

- Tx: resistant to roids, needs stronger drugs

 

Severe Acute Vascular Rejection

 

Rare (usually only seen when immunosuppression stopped), can cause irreversible damage to kidney

Affected arteries have damage in media and intima c fibrinoid necrosis of the media +/- inflam in media

- usually accompanied by interstitial hemorrhage and sometimes necrosis in parts of the kidney

 

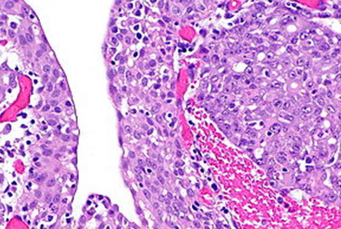
Acute Allograft Glomerulopathy

Hypercellular glomerulopathy, swollen endocapillary cells and lymph infiltrate

 

 

Chronic rejection

 

- aka chronic allograft nephropathy

- MCC graft failure 6 mo to 1 yr post transplant

- low-grade form of rejection c gradual failure of the transplant still common (usually last ~10 yrs), and is the result of multiple episodes of acute vascular / interstitial ag-mediated rejection, accumulating after mo-yrs post-transplant; seen in ~1/2 transplants after 8 yrs

- best identified in small arteries c progressive intimal thickening causing severe stenosis (chronic transplant arteriopathy)

 

Histo: Chronic vascular rejection looks like nephrosclerosis; intima larger and fibrosed; concentrically thick intima of capillary walls (though do not have concentric elastic fibers seen in age and HTN), can have intimal foamy cells

- chronic allograft glomerulopathy shows mesangial expansion and doubled BM, not always globally, c areas of segmental sclerosis; can have IgM deposition in mesangium / subendothelial areas

- should not see tubular damage as seen in acute cellular rejection, but will see tubular atrophy and intestitial fibrosis (not specific for rejection)

 

Things to consider:

- may have had chronic damage b4 transplantation

- calcineurin inhibitors used as immunosuppressants, have an ischemic effect on kidney

- arterial hyalinosis can be 2/2 rx

- permanent damage can be 2/2 repeated attacks of acute rejection

- disorders may be 2/2 circulatory or drainage abnormalities

- >1 process can be occurring at same time

 

- IF negative

 

 

Calcineurin inhibitor toxicity

 

Includes the 2 MC immunosuppressive meds, cyclosporine and tacrolimus, both of which cause dec perfusion to kidneys

- may results in acute dysfunction and chronic injury (scarring) of kidney, at least partly from ischemia

- uncommonly can see thrombotic microangiopathy as idiosyncratic rxn to one of the drugs

- characteristically

 

 

BK-polyomavirus infection

 

Viral infx of kidney essentially limited to renal transplant or otherwise immune-copromised pts

- acute compromise of renal function mimics rejection clinically

- difficult to balance reducing immunosuppression to allow recovery from virus without causing immune rejection of the kidney

 

Micro: interstitial nephritic that can look like acute rejection, but usually has smudgy viral intranuclear inclusions in at least some of the affected tubular epithelial cells

 

 

Recurrent disease

 

Recurrence of disease process responsible for renal failure that necessitated transplantation in the first place; the MC conditions that can recur in transplanted kidney are FSGS and diabetic glomerulopathy

- does not always result in the loss of kidney function

 

 

Post-transplant Lymphoproliferative Disorder (PTLD)

 

Lymphoma / lymphoid prolif MC in LNs rather than kidney itself

- EBV important in pathogenesis, and following serial EBV-titers in serum may be done

- can be polyclonal or monoclonal

- Tx'd c immunosuppression withdrawl +/- chemo

 

 

Effects of HIV on the kidney

 

Can cause nephrotic syndrome, via collapsing glomerulopathy (usually considered part of FSGS)

- not all pts c collapsing glomerulopathy have HIV (can also be caused by pamidronate tx)

- may also see membranous nephropathy, acute post-infective glomerulonephritis, IgA nephropathy, subendothelial membranoprolif glomerulonephritis, fibrillary-immunotactoid glomerulopathy, HUS

- can have lupus nephritis-like dz c heavy immune complex deposition of all types in the glomerulus

- med used in HIV can cause damage to prox tubular cells

 

EM: tubulo-reticular bodies (agg of intracytoplasmic tubular structures in the ER)

Glomerulus

Nephritic Syndromes

 

an Inflammatory process that has hematuria and RBC casts in urine when glomeruli are involved

- can see "smoky / cola / tea" urine, 4+ blood on urine dipstick

- assoc c azotemia, oliguria, HTN, proteinuria (mild), and mild periorbital edema

- characterized by neutrophil-mediated glomerular injury (?)

- active urine sediment - has RBCs, WBCs, cellular casts)

 

mneumonic for conditions ***RAD ABs ***

 

Investigation of hematuria in adults may include cystoscopy to exclude carcinoma, whereas in kiddos US may be better bc causes from bladder more rare

- RBCs from glomeruli are dysmorphic on microscopy (vs those from the lower urinary tract)

- bx for hematuria usually has no urgency for tx, so bx may be necessary in hematuria for px, to check for vasculitis, or for some rarer hereditary disorders

 

MC findings in hematuria in adults is IgA nephropathy or thin GBM dz, tho some completely normal; in kiddos MCCs are thin GBM dz, IgA nephropathy or hereditary dz (ie Alport dz)

- most specimens look normal on LM and turn out to be IgA nephropathy (Berger dz), but should eval for irreversible damage and other unexpected findings

 

 

Asymtpyomatic hematuria and/or proteinuria

 

Isolated hematuria or proteinuria c little to no other significant sx or renal dysfunction (at least initially)

- may be 2/2 b9 non-progressive dz or can sometimes progress to loss of renal function depending on etiology

- in pts c hematuria, must consider sources from outside glomerulus (lesions in bladder, ureter or renal pelvis)

 

 

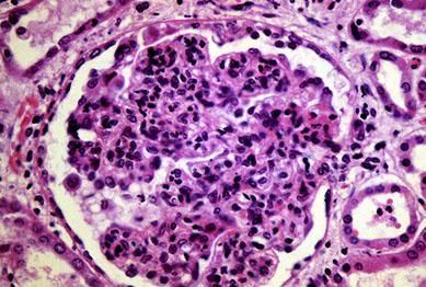
Rapidly Progressive (Crescentic) Glomerulonephritis (RPGN)

 

Syndrome c rapid progression to renal failure (wks to mo's); aka crescentic GN

- can be anti-GBM (Goodpasture's dz); florid IC glomerular dz (post-infx, SLE, MPGN), ANCA-related, or idiopathic

 

Mech:

1) Ruptures in GBM make crescents by leaking leukocytes and fibrinogen into Bowman's space

2) Crescents fill Bowman's space from proliferation of epithelial cells of Bowman's capsule and macrophages and neutrophils infiltrate, eventually  causing glomerular collapse and renal failure

 

Histo

Must have >50% crescents

- otherwise just say that there are x% crescents

-- can see crescents with lupus and Henoch-Schonlein purpura, but are usually less than 50%

 

Assoc c 3 conditions:

1) Goodpasture syndrome: type II HS; Anti-GBB (GBM?); smooth / linear staining of IgG +/ or C3

2) Wegener's granulomatosis: c-ANCA; think Goodpasture + upper airway; see fibrin in crescents and minimal staining (pauci-immune)

3) Microscopic polyarteritis: p-ANCA

 

LM: crescent-moon shape (made of fibrin c plasma proteins c glomerular parietal cells, monocytes, and macrophages)

 

Px: Poor

 

 

Goodpasture syndrome

 

M>F; young adults in 20-30s, abs to GBM

- aka pulmonary/renal vasculitic syndrome; or anti-GBM dz

- may follow URTI

 

Sx: Hemoptysis (1st presenting sx), hematuria (2nd sx), ARF,

 

Mech: Type II HS, anti-GBM abs react c Goodpasture antigen (alpha-3 chain of type 4 collagen) that also reacts against lung alveolar BM; crescents fill Bowman's space 2/2 prolif of parietal epithelial cells, fibrin deposition and infiltration of leukocytes

- genes: strong assoc c DR alleles of HLA (HLA-DRW2), leading to generation of abs to collagen IV (in the GBM)

 

LM: may or may not see crescents, prolif of epithelial cells into Bowman's space; non-affected glomeruli normal looking

- should consider this dx c severe acute vasculitic glomerulonephritis c diffuse global abnormalities at the same stage

 

IF: smooth linear deposits or IgG and C3 on GBM (is the only condition c true linear BM staining on IF)

- ANCA negative

 

EM: normal or damaged GBM c rarefaction and breakage; no deposits

 

Tx: steroids, plasmapheresis for weeks until steroids effective

- critical to perform quickly

 

Px: difficult to tx and quickly leads to irreversible renal failure

 

 

Granulomatosis with Polyangiitis (GPA)

- formerly Wegener's granulomatosis

 

Triad of upper respiratory tract, lung, kidney

- focal necrotizing vasculitis, necrotizing granulomas in the lung and upper airway, necrotizing glomerulonephritis

- does not really have granulomas per strict pathologic def of granulomas (a collection of macros)

- major cause of GN in older pts, less so in middle aged or younger pts

 

Sx: hemoptysis, nasal septum perforation, chronic sinusitis

 

*** the C's: Cavitary lesions, Crescentic GN, C-nose, C-anca, PR3-ANCA, Cyclophosphamide, Corticosteroids ***

 

Micro: Fibrinoid necrosis c early neutrophils followed by macros and granuloma c giant cells and crescents

- non-involved glomeruli look normal

 

Labs: (+) Anti-proteinase 3 (PR3-ANCA) [formerly C-ANCA]

*** 3 = W (just 2 C's put together...***

cANCA (+) in >90% of cases [5-20% pANCA (+)]

 

Dx: Confirm Wegener's c ELISA for PR3-ANCA!

- urinalysis: hematuria and red cell casts

 

EM: no IC deposits

 

Imaging: large nodular densities that fluctuate

 

Tx: Cyclophosphamide, Corticosteroids

 

 

Microscopic polyangiitis

 

Vasculitis of small vessels in at least 1 organ (usually renal)

 

Labs: (+) pANCA [non-specific]

 

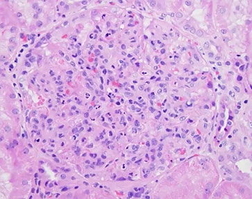
Acute PostInfectious Glomerulonephritis (APIGN)

 

MC in children; type III HS c activation of alternative complement pathway after "nephritogenic" Group A strep infx in kids (usually recover completely) and immunocomp (DM)

- latent period of 1-2 wks bwt infx (of throat or skin) and GN, during which time abs to bacterial ags made

 

Sx: peripheral and periorbital edema; dec C3, normal C1 and C4

- usually several days after infx c S pyogenes (GAS) in pharynx or skin

- tea- or Coke-colored urine, and other sign of acute nephritis, elevated ASO titer

 

Mech: most likely 2/2 reaction of immune system to ags deposited in the glomeruli and not deposition of circulating immune complexes themselves (there is not an actual infection of the glomeruli themselves)

 

LM: glomeruli enlarged and hypercellular, neutrophils, "lumpy-bumpy" appearance

- nearly every part of every glomerulus affected equally, and should not have features of vasculitis

- glomerular tufts are large and can prolapse into PCT, and usually appear large, solid, and filled c mix of neuts, monos, and swollen cells, and can rarely form crescents

 

IHC: methenamine silver shows a single BM (versus subendothelial MPGN which has double glomerular BM c mesangial cells bwt the two membranes)

 

EM: subepithelial immune complex (IC) humps

- membranous can also have humps, which are generally more uniform and have intervening spikes

 

IF: granular / coarse deposits ("lumpy-bumpy") of C3 and IgG, IgM mainly along the GBM, outside the glomerular capillary loops

- IgA usually negative

 

Tx: resolves spontaneously; though can progress to RPGN or chronic GN; more unpredictable course in adults (more often progress to chronic dz)

 

 

Acute Proliferative Diffuse Glomerulonephritis

 

Deposition of immune complexes in GBM triggering the prolif of endothelial and mesangial cells

- complement proteins cause neutrophils to accumulate in capillary lumens, which become occluded

- can cause nephritic syndrome, esp in kiddos (though this is reversible if complexes are removed, endothelial cells get shed and population of mesangial cells returns to normal)

 

2/2 SLE or MPGN; MCC death in SLE!!

 

Subendothelial DNA-antiDNA ICs leads to "wirelooping" of capillaries

 

IF: Granular

 

 

Alport's syndrome

 

Mutation in alpha-5 chain of type IV collagen (COL4A5) on X cr (X recessive, tho can be AR or AD) leads to split BM

- assoc c nerve disorders, ocular disorders, deafness

 

Sx: hematuria, can have proteinuria

 

LM: can be normal at early stage, or severely damage c lots of tubular atrophy, global sclerosis and lots of foamy cells in cortex in later stage

 

IF: no IgA deposition

 

EM: thickening / thinning (uneven thickness) of GBM c unique "basketweave" appearance

 

 

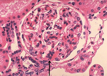
IgA Nephropathy (Berger's disease)

 

MCC primary glomerulonephritis in developed countries; MC in Asian males; inc synthesis of IgA

- often presents c gross hematuria right after URTI (synpharynitic hematuria) or acute gastroenteritis, and can have chronic kidney dz or accelerated HTN

 

Most likely 2/2 abnormal glycosylation of IgA1 molecules in plasma

- anti-glycan abs form and cause immune complex deposition in the mesangium, and these complexes attach to fibronectin or type IV collagen in the ECM and activate mesangial cells to produce ECM causing mesangial hypercellulaity, segmental glomerulosclerosis or adhesion, tubular atrophy and interstitial fibrosis

- 1/2 pts get recurrent hematuria (usually after URTI); ~4/10 pts get microscopic hematuria c a little proteinuria; and 1/10 get bad kidney dz (RPGN) or nephrotic syndrome

- high assoc c HIV, celiac dz, cirrhosis and many others

 

Dx: IgA serum levels normal

 

LM: <1/2 (focal) mesangial matrix prolif and mesangial cellular prolif; focal segmental necrosis; with or without crescents

 

IF: IgA deposit in mesangium, often c C3 and properdin, also can have vasculitis

- identical to HS purpura

 

EM: mesangial deposits, can sometimes be seen in capillary wall; BM?

 

Px: slowly progressive c remissions and exacerbations; may be better in kiddos

 

 

Vasculitic IgA nephropathy

 

- aka Henoch-Schonlein nephritis ([HSN]...not same as Henoch-Schonlein purpura [HSP], and renal bx not usually done c HSP, which would show HSN)

- is most likely the same thing as IgA nephropathy, though HSN is an acute vasculitic phase of it

 

 

Thin Glomerular Basement Membrane Disease

 

- aka Benign Familial Hematuria

Presents usually c persistent microscopic hematuria

- common (in up to 5% of population), and usually does not do damage to kidney (B9)

- should distinguish from hereditary nephritis

- some may have COL4A3 or COL4A4 mutations

 

LM: normal

IF: no IgA in glomeruli, but can be in mesangium

EM: BM is very thin, such that you don't have to measure bc it looks so bad, usually c prominent lamina densa in middle of membrane

 

 

Nephrotic Syndromes

 

Presents c massic prOteinuria, hyperlipidemia, fatty casts (maltese cross), edema, hypoalbuminemia, hypercoagulable, hypertension (from inc Na+ and H20 retention)

- assoc c thromboembolism (inc conc of coag factors) and inc risk of infx (loss of Igs)

- always indicates a glomerular disorder

- main protein in urine is albumin in glomerular proteinuria; tho proteinuria can be selective for small range of proteins or non-selective for large proteins as well

- MCC in kiddos is Minimal change dz; in adults MCC is membranous, FSGS, lupus, diabetes, MPGN

 

mneumonic *** MM FAN***

 

Urinalysis performed c dipstick, that can detect protein, and blood amongst other stuff

- proteinuria is then measured in 24 hr once detected on dipstick

- total protein output in 24 hr usually <150 mg, including Tamm-Horsfall protein and others derived from GU tract and from the blood

- albumin measured by immunologic methods, and is usually a more sensitive test than total proteinuria, with levels <30 mg / 24 hrs in normal adults

- heavy proteinuria is >3-3.5 g / 24 hrs

- can standardize the concentration of the urine by simultaneously measuring the [Creatinine]

- timed urine collecitons rarely done in kiddos, and if they are must incorporate body size

 

Dx: Most adults c nephrotic syndrome get a renal bx, whereas most kiddos do not (assumed to have minimal change dz)

- pathologist usually able to give accurate dx, and is usually helpful to the treating nephrologist

- in adults, MCC nephrotic syndrome are Membranous nephropathy, various segmental sclerosing dzs (Focal segmental glomerulosclerosis), and Minimal change dz

-- other common ones are diabetic glomerulopathy, lupus nephritis, and amyloid

- in kiddos, Minimal change dz and segmental sclerosing dzs are MCCs

 

Acute tubular damage: irreg flattening of epithelium, vacuolization, brush border loss, accumulation of material in lumen

- acute tubular damage may be 2/2 renal vein thrombosis, esp if uniform and widespread

 

Chronic damage = global sclerosis of glomeruli, tubular atrophy, interstitial fibrosis

- chronic proteinuria can cause aggregation of foam cells, which are most likely foamy 2/2 lipid accumulation

 

 

Membranous Glomerulonephritis (MGN)

- aka diffuse membranous glomerulopathy/nephropathy

 

MCC of adult nephrotic syndrome; 85% idiopathic though can be attributed to drugs / medications, infx, SLE (up to 1/5 SLE pts; though SLE can produce any kind of glomerular disorder), solid tumors ( GI, lung and prostate); mainly IgG4 found

- rate has been trending down 2/2 inc detection of FSGS in blacks/latinos

- bc affects the whole of every glomerulus, only 1 glomerulus needed on bx specimen to dx

 

Mech: most caused by abs (IgG4) against phospholipase A2 Receptor (PLA2R), an antigen on the basal surface of the visceral glomerular epithelial cell

- found using the Heymann rat model (rats sensitized against "megalin")

 

LM: diffusely thick glomerular capillary walls c no cell prolif change; can have eosinophilic protein resorption droplets in tubular epithelial cells from high-grade proteinuria

- can have mesangial prolif chronically

- glomerular tuft can adhere to Bowman's capsule (as in tip changes), but this doesn't change the dx

- must confirm using immunohistology, see basement membrane spike formation on silver stain (looks like beard stubble)

 

EM: "spike and dome" appearance c subepithelial deposits of normal GBM going through immune deposits seen c silver stain

- IgG4 immune complexes dissociate when they go through the BM and reform on the other side, which is why they are subepithelial

 

IF: diffuse granular deposits of IgG +/or C3 on GBM

- IgM can be seen in the mesangium

 

Ddx: Lupus nephritis, which will have deposition of other Ig's in the GBM on IF

- dense deposit dz (aka MPGN)

 

Px: 1/3 of pts c renal failure or die at 10 yrs, 1/3 recover, 1/3 stay the same c proteinuria

 

 

Membranoproliferative Glomerulonephritis (MPGN)

 

Nephrotic disease, although can be nephritic

Causes: Autoimmune (SLE or Sjogren's), infectious (HIV, hep B+C), a1-antitrypsin deficiency, malignancy

- chronic IC dz c mesangial and endothelial cells and mesangial and subendothelial IC deposits; very low serum complement levels

- type II MPGN (dense deposit dz) may be 2/2 cryoglobulinemia

 

Endocapillary prolif c variable mesangial expansion and infiltrating cells

- thickened capillary walls, with "tram tracks" aka "double contours"

 

Usually persistent endothelial injury

- immune complex related (chronic circulating IC)

- non immune complex related (chronic endothelial injury)

 

*** train on track (type I) carrying dense deposits (type II) of gold***

 

MPGN type I= subendothelial MPGN (see above)

MPGN type II = dense deposit disease (DDD) or mesangiocapillary glomerulonephritis

 

LM: large, hypercellular glomeruli c endothelial and mesangial cellular prolif; accentuated lobular appearance and mesangial (cell) interposition bwt endothelium and GBM c IC deposits in same region causing double contouring of capillary wall BM on silver stain

 

IF: prominent granular C3, c IgG, sometimes C1q (in capillary walls and mesangium)

 

Type I EM: "tram-track" appearance 2/2 GBM splitting caused by new BM material bwt original GBM and endothelial cells

- assoc c HBV>HCV

 

Type II EM: "dense-deposits", intramembranous ribbon- or sausage-like deposits

- assoc c C3 nephritic factor (alternative pathway) which is an antibody to C3 convertase, preventing inactivation by factor H (its inhibitor) and leading to persistently active C3, which eventually leads to renal failure

- LM shows glomeruli that can be normal or have various amts of mesangial hypercellularity

- there are NO spikes, the BM is NOT uniformly thickened

- EM shows large, irreg dense deposits in GBM and mesangium

 

Px: slowly progressive but unremitting course what can recur in transplanted kidneys

 

 

Subendothelial MPGN

 

Can occur after acute or chronic infx, sickle cell dz, malignancies

- most likely 2/2 deposition of immune complexes in glomeruli, either bc they cannot be cleared as a result of complement deficiency or bc of generation of lots of immune complexes over a period of time

- on mehtenamine silver appears to have double glomerular BM c mesangial cells bwt the two membranes (vs post-infective glomerulonephritis in which there is a single membrane)

 

IF: granular / coarse deposits of C3 and IgG, IgM mainly on inner aspect of capillary loops and sometimes in the mesangium

 

 

Focal Segmental Glomerulosclerosis (FSGS)

 

term that has no specific meaning, is more of a label given to many non-specific entities, and should not be used as a dx; causes non-selective proteinuria

- usually in juxtamedullary glomeruli first

 

MCC nephrotic syndrome in black adults (~1/3 cases)

(?membranous MC overall nephrotic syndrome?)

- MC glomerular dz in HIV pts

-- more severe in HIV pts, blacks, IVDUs, sickle cell pts

- may not be well-represented 2/2 sampling error (can mistake for MCD if affected glomeruli not sampled)

- pathogenesis may be related to soluble urokinase plasminogen activating receptor (suPAR) and injury occurs in glom epithelial cell or podocyte

- glomerular stress (hyperfiltration) may be important in secondary forms (obesity, dec renal function); is not an IC dz

 

Causes: renal agenesis, HIV, IVDU, reflux nephropathy

 

Genes: Apolipoprotein L! (APOL1) mutations in blacks may help c sleeping sickness, but predisposes to FSGS

 

LM: segmental sclerosis and hyalinosis (NO immune complexes) of glomerular capillary segments in some but not all gloms (thus, focal)

-usualy occurs on tip near prox tubule

 

IF: neg or nonspecific IgM and C3 accumulation in sclerotic segments

 

EM: No deposits; in sclerotic areas, non-specific segmental collapse of GBM, inc mesangial matrix and dep of hyaline material; also widespread foot process effacement

 

- should consider 2 things when this pattern of glomerular damage is seen:

1. is there an underlying dz here?

2.What is the site of the segmental abnormalities in the affected glomeruli?

 

First type is if there are segmental abnormalities next to the opening of the PCT (aka tubular origin)

- these tip changes are not dz's in themselves, but a complication of a glomerular disorder

- tip changes caused by that part of the glomerulus prolapsing into the PCT when it gets swollen up by dz

- when tip changes prominent can occupy >1/3 of glomerulus and cause the classic look of FGSG (has worse px than small, focal tip changes, but better px than classic FSGS)

- "tip variant FSGS" is diagnostic term suggested by Columbia U

 

Lesions (fibrosis) at sites other than the tip develop later on in the dz, as seen in (late classic) FSGS

- behaves like classic FSGS, c poor px

 

- collapsing variant c swelling and hyperplasia of visceral epithelial cells over a wrinkly, retracted GBM

 

Tx: Poor response to corticosteroid tx

 

Px: Poor (>50% develop ESRD in 10 yrs)

- tip variant does better, though the px is worse if the tip changes are >1/3 of the tuft, if there is significant inc in the mesangium, and if 1/4 of the tubules damaged

- recurs in ~1/2 transplanted kidneys

 

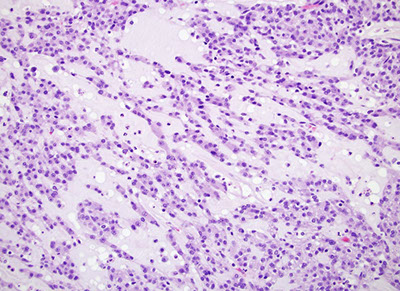
Collapsing Glomerulopathy

 

Assoc c HIV, blacks, IVDU, but can be 2/2 other causes (pamidronate tx), glomerular loops look like they have been sucked dry, c hypertrophy of glomerular epithelial cells that fill Bowman's space and separate collapsed glomerular tufts

 

On low power, has some abnormal tubules, which are dilated c casts, c inc cytoplasmic granularity

- glomeruli have collapse of capillary loops c vacuolated granular visceral epithelial cells on outside of collapsed tufts c material similar to tubular casts in Bowman's space

 

EM: tubulo-reticular bodies (agg of intracytoplasmic tubular structures in the ER)

 

 

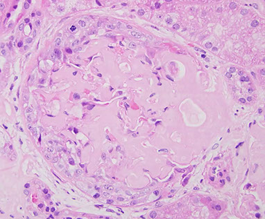
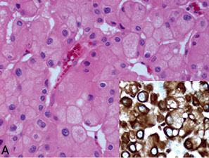
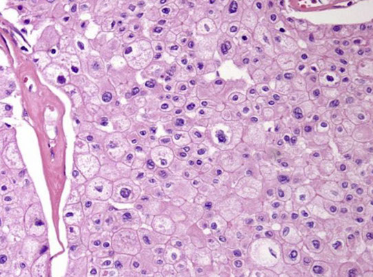
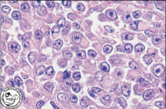
Amyloidosis

 

Assoc c MM, chronic conditions, TB, RA

- Multiple myeloma can cause 1) light chain deposition dz, 2) cast nephropathy, or 3) amyloidosis

- in amyloidosis the mesangium gets amyloid deposits first

- myeloma causes AL or "light chain" amyloid; chronic infx and chronic inflam assoc c AA amyloid,

- kidneys usually slightly enlarged

 

LM: (+) Congo-red stain and apple-green birefringence (c polarized light)

- subendothelial and mesangial amyloid deposits

- fibrillary glomerulonephritis is a type of amyloidosis that does not stain for Congo red yet has amyloid-like fibrils on EM

- can have nodular light chain glomerulopathy or cryoglobulinemic glomerulonephritis

 

IF: negative or can stain for LC if AL amyloid

 

EM: Pick-up sticks arrangement (8-12 nm [small])

 

Ddx: fibrillary or immunotactoid glomerulopathy (has mesangial expansion that is negative for Congo red, IgG on IHC, fibrils 10-50 nm on EM)

 

 

Fibrillary Glomerulonephritis

 

Rare group of primary glomerular dz's that are not very well defined

- fibrillary protein that may look like amyloid is made and deposited in the GBM

- may be assoc c carcinoma, dysproteinuria

- similar features as hep C cryoglobulinemic glomerulonephritis

 

Dx: EM with 20-22 nm fibrils (2x that of amyloid!!)

- may have mesangial expansion on LM, which is PAS+

 

IHC: DNAJB9 is specific

 

Tx: kidney transplant, possibly rituximab

 

Minimal Change Disease

- aka Lipoid Nephrosis

 

May be triggered by a recent infx or immune stimulus by T cells or cytokines; should only be dx'd when there is nephrotic syndrome

- MC in children, less so in adults

- loss of glomerular polyanion important, resulting in albumin leakage (proteinuria fairly selective)

 

LM: Normal glomeruli; even 1 segmental abnormality seen can exclude this dx

 

IF: no deposits, or only mesangial IgM

 

EM: foot process effacement (EM not necessary)

- selective loss of albumin, not globulins, 2/2 GBM polyanion loss

- lipid-laden proximal tubule cells (hence "lipoid nephrosis")

 

Tx: Responds to roids

 

Diabetic Glomerulopathy

 

Non-Enzymatic Glycosylation (NEG) of GBM leading to inc permeability and thickening of efferent arterioles leading to inc GFR and mesangial expansion

- pts c diabetic retinopathy usually have diabetic glomerulopathy, and renal bx usually not necessary, but sometimes can show other renal dz if clinical findings are abnormal, but can give a px for kidney

- MCC renal failure in US; ~15 yrs s/p dx of DM (can be DM1 or DM2, chronic smokers, in dysproteinemia)

- sclerosis (thickening of glomerular BM and inc mesangial matrix) from inc synth of type IV collagen and accumulation of other mesangial matrix and MB components from dec turnover and reduced catabolism as result of abnormal glycosyation

- glycosylation of BM proteins also causes proteinuria from loss of the normal BM anionic charge

- hyperfiltration injury, from inc GFR, in diabetics also important

- severity of renal dz somewhat related to severity and duration of hyperglycemia

 

LM: Mesangial expansion, GBM thickening, nodular glomerulosclerosis (Kimmelstiel-Wilson nodules)

- hyaline caps seen as hyalinosis in the glomerulus, aka capsular drops when on the inner surface of Bowman's capsule; arterioles usually have lots of hyalinosis as well

- arteriolosclerosis - hyaline thickening or insudates in arterioles (afferent and efferent) accompanied by insudates in capillary loops (fibrin caps) and Bowman's capsule (capsular drops)

- Armanni-Ebstein lesion is glycogen accumulation in parts of tubules, not commonly seen anymore

 

EM: thickened BM usually first sign of DM; also expanded mesangium

 

IF: non-specific absorption of Ig and albumin in thickened GBM resulting in variable pseudolinear staining of glomerular and tubular BM, primarily for IgG, inviting confusion c anti-GBM dz

 

Ddx: light chain glomerulopathy, amyloidosis, MPGN type I

 

 

Lupus nephritis (LN)

 

Caused by formation of immune deposits 2/2 anti-dsDNA against nucleosomes which form in the mesangium or sub-endothelium (bc in contact c vascular space)

- SLE pts should be screened regularly for kidney dz, as it is very common and can progress to renal failure

- pts c >0.5g proteinuria and bland urine sediment do not need renal bx

- NIH grades Activity Index and Chronicity Index

 

Histo: Full-house (IgG, IgA, IgM, C3, C1q) c glomerular deposits in mesangium and subendothelium (mesangial IgG fairly specific)

- mesangial and endothelial hypercellularity common

- extracapillary hypercellularity (crescent formation) if prolif of 2+ cell layers filling >25% Bowman's space

- classes III and IV freq have necrotizing glomerular lesions, seen as endocapillary fibrin (fibrinoid necrosis) rupture of GBM, infiltrating leukocyte apoptosis

- large "wire-loops" form along the glomerular capillary wall

- hyaline thrombi are large subendothelial deposits that bulge into the capillary lumen (not true fibrin thrombi, thus stain c PAS)

- Hematoxylin bodies are bare nuclei extruded from cells covered in antinuclear antibodies

- membranous forms of lupus can have thick GBM from immune deposits causing BM "spikes"

 

Class I - Minimal dz; pts c minimal sx and normal urinalysis

- histo shows no abnormalities on light microscopy and just mesangial deposits by IF

- also strongly suggested c tubuloreticular formations in glomeruloendothelial cells

 

Class II - Mesangial Proliferative dz - pts c minimal hematuria / proteinuria and minimal sx

- mesangial hypercellularity / proliferation (may look severe) but no visible subendothelial deposits or glomerulosclerosis on light microscopy

- IF: may have rare subendothelial / subepithelial deposits and sometimes lots of podocyte effacement

- EM: electron dense deposits

- px is excellent and no tx indicated

 

Class III - Focal proliferative GN -pts c HTN, low GFR, nephrotic proteinuria, hematuria

- <50% glomeruli on light microscopy x focal segmental exuberant prolif and hypercellularity in mesangium and capillary loops

IF: ~100% c IgG / C3 subendothelial / mesangial deposits

- focal subendothelial and mesangial deposits on EM

- can be classified as Acute or Chronic

- Results in progressive renal dz (renal failure) without cytoxan

 

Class IV - Diffuse proliferative GN (seen in ~1/2 of SLE bx's) - MC and most severe form of LN, pts c HTN, dec GFR, and nephrotic syndrome

- >50% glomeruli c changes seen in type III; endocapillary +/- extracapillary on light microscopy, with possible crescents, c possible thickening of capillary wall from massive subendothelial IC deposits (wire loops) similar to MPGN

- Can be either Global (G) or Segmental (S)

- IF usually strongly and diffusely positive ("full house" pattern)

- Ultrastructural analysis shows mesangial and subendothelial deposits

- Results in progressive renal dz (renal failure) without cytoxan

 

Class V - Membranous LN - is seen in 10% of SLE bx's; sx similar to class IV; light micro shows diffuse glomerular capillary wall thickening, subepithelial deposits on ultrastructure and has BM spikes;

- usually dx'd c either class III or IV (as 5+3 etc)

- px better than class IV

 

Class VI - Advanced sclerosis - slow progression of renal failure;

- not uncommon (1/20); sclerosis in >90% glomeruli

Tx: immunosuppression not helpful

 

EM: all have mesangial deposits that appear as fingerprint lesions

- intracellular tubuloreticular inclusions (TRI) can also be present usually in endothelial cells (can also be 2/2 interferon tx and HIV infx)

 

Goodpasture syndrome

PIGN c hypercellularity, narrow capillary lumen, neuts, and epithelial deposits of IgG and C3

APIGN, subepithelial humps

Alport's syndrome

IgA nephropathy c inc glycosylated IgA1 deposited in the mesangium causing inc mesangial cellularity (arrow)

IgA nephropathy c expansion of extracellular matrix, and proliferation of mesangial cells (PAS)

IgA Nephropathy: Berger dz

IgA1 (with C3, IgG or IgM) mesangial deposits

MCCs of Nephrotic Syndromes per Age Groups

MGN with thick capillary walls

MPGN, 1

MPGN, 2

Membranous glomerulopathy with beard stubble (spikes)

Membranous GN

Dense deposit disease with ribbon-like thickening of lamina dense by highly dense intramembrane deposits

DDD

Intensely osmiophilic electron dense deposits, DDD

Strong glomerular C3 in Dense Deposit dx, DDD

FSGS

FSGS with sclerosis going across middle of glomerulus

FSGS, tip lesion, c adherence to Bowman capsule

FSGS, trichrome, with blue collagen deposition

Collapsing glomerulopathy

Amyloidosis

Amyloid with crescent formation

Fibrillary glomerulonephritis (link)

EM c fibrillary deposits in mesangium

Deposits in the subepithelial zone of the glomerular capillary walls

Higher power showing glomerular deposits made of randomly oriented, straight nonbranching fibrils

Minimal Change Disease

Diabetic nephropathy

Diabetes GBM thickened

Diabetes stage IIb

Diabetes stage III

Lupus class III and IV

SLE (?)

Class V Lupus with  diffuse granular capillary wall staining for IgG

Congenital Nephrotic syndrome of the Finnish type

 

Nephrin affected on NPHS1 gene [19q13.1]

- nephrin is a key compoenent of the glomerular slit diaphragm

- affected children born with markedly enlarged placenta

- massive proteinuria begins in utero, nephrotic syndrome by 1 month of age

- EM is notable for an abnormal variation in the size of the slit pores (the space between podocyte foot processes) and rarefaction of the slit diaphragms

 

Pierson syndrome

 

B2 laminin, encoded by LAMB2 [3p21]

- B2 laminin is a component of the glomerular basement membrane

- associated with microcoria (fixed, narrow pupils)

- death within several months

- renal biopsy shows mesangial sclerosis and crescents

 

Nail-patella syndrome

 

Transcription factor that regulates transcription of COL4A3, LMX1B gene [9q34.1]

- AD, manifests c skeletal and ocular anomalies, abnormalities of the nails and renal disease (variable)

- renal bx shows BM expansion by fibrillary collagen deposits

 

Denys-Drash syndrome / Frasier syndrome

 

WT1 gene [11p13]

Not familial, WT1 point mutation (vs deletion seen in WAGR)

 

Wilms tumor (9/10), gonadoblastoma, male pseudohermaphroditism, diffuse mesangial sclerosis causing rapidly progressive renal failure

- renal bx shows mesangial sclerosis

- Frasier syndrome is similar but less severe, assoc c gonadoblastoma

 

Familial Autosomal Dominant Focal Segmental Glomerulosclerosis

 

- a-actinin, ACTN4 gene; also transient receptor potential cation channel 6 by TRPC6 gene

- onset of nephrotic syndrome in adolescence or young adulthood

 

Familial Autosomal Recessive Corticosteroid-Resistant Nephrotic Syndrome

 

- Podocin, encoded by NPHS2 gene

- onset proteinuria in early childhood

- dx: renal bx initially resembles minimal change disease but transforms into focal segmental glomerulosclerosis

 

Bacterial Endocarditis-Associated Glomerulonephritis

 

An IC, not infx, dz that is assoc c subacute bacterial endocarditis in small subset of pts

- abs formed against chronically shedding bacterial ags that combine to form IC, then deposit in kidney, activate complement, result in glomerular injury

- typically presents as nephritic syndrome, bc it is an IC dz c glomerular prolif changes

 

LM: variable, but usually segmental GN c focal glomerular prolif and segmental sclerosis or segmental necrosis (non-specific pattern)

 

IF and EM: focal IC deposits (no specific pattern)

 

Chronic Renal Failure

(for Acute Renal Failure, see Tubulo-Interstitium)

 

Irreversible loss of nephrons causes an inc glomerular capillary pressure in remaining nephrons which causes hyperfiltration damage and ultimately fibrosis, scarring and loss of more nephrons

- MCC - DM (40%), HTN (30%)

 

Labs: UA - isosthenuria (urine and blood conc the same, no free water clearance), broad waxy casts, proteinuria (assoc c poor px)

- may possibly see AG met acidosis, hyperK+, hyperuricemia, low T

- anemia from dec EPO, inc bleeding (uremia-induced platelet dysfunction and poor neutrophil function), inc inflam, renal osteodystrophy (marrow fibrosis [hyperPO4 causes inc PTH and osteitis fibrosa cystica])

 

Stages per GFR:

I >90

II 60-89

III 30-59; begin to see anemia, hyperPO4, inc PTH

IV 15-30; edema and hyperK+

V <15; uremia causes neurologic changes, possibly life-threatening pericarditis

 

Tx: reducing proteinuria in stage I is vital

- may give EPO, sodium bicarb, loops (but should maintain normal BP!)

- diet: low in PO4, K+, protein

- should transplant if GFR<20

 

 

Chronic Glomerulonephritis

 

Kidneys are symmetrically shrunken, diffusely granular

- not necessarily preceded by inflam injury; RPGN is the MCC; though not a single condition but a final common pathway of lots of types of glomerular dz

- pt may not even know about hx of glomerular dz

 

Sx: HTN, anemia, proteinuria, azotemia, oliguria, waxy casts

 

Micro: Hyaline arteriosclerosis, tubular atrophy, lymphocytic infiltrate

- Trichome stain: blue-staining collagen in glomeruli (glomerular scarring) and collagen bwt glomeruli (interstitial fibrosis)

- should try to eval whether the dz is acute or chronic

 

IF and EM: negative or non-specific

 

Tx: Hemodialysis or renal transplant

 

 

 

Malakoplakia

 

Defective macrophage digestion function c accumulation of bacterial degradation products

- mostly in immunocompromised pts

 

Gross: looks like xanthogranulomatous pyelonephritis (yellow-grey tissue around calyces and pelvis)

 

Michaelis-Gutmann bodies: concentric lamination, intracellular or extracellular

- (+) PAS/D, Iron (Perls Prussian blue), Calcium (von Kossa)

 

 

 

 

Malakoplakia

Tubulo-Interstitium

Acute Pyelonephritis

 

Ascending infx that affects cortex c relative sparing of glomeruli / vessels

MCC is E coli

 

Sx: fever, CVA tenderness, nausea, vomiting

 

UA: White cell casts

 

Micro: interstitial neutros; neutro casts and tubulitis

 

Tx (uncomplicated): oral ciprofloxacin

tx (hospitalization): IV ciprofloxacin

~ fluoroquinolones (ie cipro) used bc reach high conc in renal medulla

 

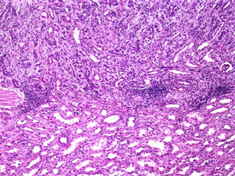
Chronic Pyelonephritis

 

Coarse, asymmetric corticomedullary scarring, blunted calyx

 

Risk factors: DM, vesiculouteral reflux (in kids), urinary tract obstruction

 

Tubules can contain eosinophilic casts

- thyroidization of kidney

 

Px: may lead to renal HTN and ESRD

 

Xanthogranulomatous pyelonephritis

 

Staghorn calculus, E. coli, Proteus

- the result of suppurative sequela of chronic pyelonephritis

 

Gross: yellow-grey parenchyma tissue around dilated calyces and pelvices (2/2 staghorn calculi)

 

Micro: lots of foamy histiocytes c mixed inflam and some MNGCs

- 3 "zones":

Inner zone: neutros, lymphs, plasma cells, histiocytes c lots of necrosis and cholesterol

Middle zone: lymphos and granulation tissue

Outer zone: foamy histiocytes

 

DDx: clear cell RCC and malakoplakia

 

 

Drug-Induced Interstitial Nephritis

 

Acute interstitial renal inflam

 

Sx: fever, rash, hematuria, CVA tenderness

 

Mech: drugs act as haptens, inducing a hypersensitivity (type I or IV)

 

Analgesic nephropathy: MCC are aspirin and acetaminophen (long term)

- leads to renal papillary necrosis and chronic tubulo-interstitial necrosis

- pyuria (mostly eos) and azotemia occur 1-2 wks after administration

 

 

Acute Interstitial Nephritis

 

-aka Acute Tubulo-interstitial Nephritis

- should only be dx'd in absence of glomerulonephritis

- may be 2/2 rx, infx or tubulo-interstitial nephritis c uveitis (aka TINU), or other immune dz's

Micro: has acute tubular damage c interstitial edema and interstitial infiltrate of inflam also in tubular cells and in the lumen

- if neuts dominate in the tubules, may consider acute pyelonephritis, but may also occur 2/2 hematogenous spear (remember that >1 condition can be present in renal specimen)

- depending on the inflam present, can have acute eosinophilic interstitial nephritis or acute granulomatous interstitial nephritis

 

 

Acute Renal Failure (ARF)

- aka Acute Renal Injury

(for Chronic Renal Failure, see Tubulo-Interstitium)

 

An abrupt decline in renal function, usually the sx are related to the dz that cause the kidney problems, and not kidney injury itself, though can have anuria / oliguria - most pts c ARF do not get kidney bx

- inc creatinine and BUN over a period of several days (indirect measure of GFR); other waste products accumulate as well

- can be 2/2 injury in any part of the kidney (or pre-/post-conditions), but kidneys should be normal size

 

Sx: Na/H2O retention, hyperK+, met acid, uremia, anemia, renal osteodystrophy, dyslipidemia, growth retardation and developmental delay

 

May be classified as prerenal, renal, postrenal or prolonged postrenal

- causes depend on pt demographics: neonates usually suffer from dehydration or dec blood flow from congenital heart dz; kiddos from diarrhea-induced HUS, adults from hypotensive blood loss, dehydration, septic shock

- ARF pts can recover, making renal bx's urgent to guide tx

- generally the renal tubules closely correlate c renal function in ARF (tubules have high metabolic rate and are sensitive to ischemia)

- if ARF seen on bx, should try to determine cause (in adults, vasculitis [vasculitic glomerulonephritis], pure acute tubular damage, acute interstitial nephritis, small vessel vasculopathy, myeloma, infx; in kiddos, Henoch-Schonlein nephritis, HUS, acute interstital nephritis)

 

Micro: worst abnormalities can be infarctions, mildest abnormalities can be impossible to appreciate

-- renal function may never recover c necrosis, as seen in thrombosing conditions, blockages of large arteries, renal cortical necrosis

- vacuolation can be fine / coarse c irregularity of epithelial thickness or loss of cells resulting in bare BM, accumulation of material in lumen (cells, debris, acellular casts, blood)

- interstitium looks inc, usually attributed to edema

- should decide if there is the expected # of tubules (from low power), depending on pt age

- vasculitic glomerulonephritis can range from focal and segmental to global sclerosis (just need 1 to dx), usually starting c segmental thrombosis in glomerulus, then fibrin and cells in Bowman's space

-- crescents are not specific to vasculitic glomerulopathy

-- can divide vasculitis into acute/active, healing, healed

- vessels can have fibrinoid necrosis, or other vasculitis (which cannot be differentiated based on microscopy if glomeruli normal and no immune deposits)

 

 

Acute Tubular Necrosis (ATN)

 

aka acute tubular damage; MCC ARF in hospital

- acute interstitial nephritis implies that there is acute tubular damage (so the dx of AIN c ATN is redundant)

Self-reversible, but fatal if left untreated

- assoc c renal iscemia (sepsis, shock), crush injury (myoglobinuria), toxins

- hepatorenal syndrome used when acute renal failure seen in liver failure (should not do bx 2/2 inc risk of bleeding)

 

3 stages:

1) Inciting event

 

2) Maintenance: Oliguria and inc K+ and anion gap

- death MC in initial oliguric phase

 

3) Recovery (2-3 weeks after inciting event)

- dec K+, polyuria

 

Micro / Labs: loss of cellular polarity, epithelial cell detachment, necrosis, granular ("muddy-brown") casts

 

Ischemic ATN

 

usually Pre-renal etiology, should suspect c extensive acute tubular damage or early tubular atrophy that is uniform; should see some evidence in small vessels (thrombotic microangiopathy)

1) dec effective circulating blood volume

2) dec CO

3) NSAIDS (in conjugation c renal artery stenosis)

 

Micro: thrombotic microangiopathy has concentric intimal thickening of small arteries in the renal cortex which appears loose, mucoid, or poorly stained (aka onion-skin change); glomeruli usually shrunken, and may have double BMs

- IgM + complement can be deposited in arterioles and sm arteries in intima and sometimes media

- intimal thickening becomes more fibrous c time, resembling severe hyalinosis

 

 

Nephrotoxic ATN

 

May be 2/2 aminoglycosides (MCC), heavy metals, radiographic contrast media, gram-negative sepsis, myoglobinuria, direct injury to PCT from gentamycin or antifreeze

 

 

Intrinsic Renal Failure

 

Uosm <350, UNa >20, FeNa >2%, Serum BUN/Cr <15

 

Generally 2/2 ATN or ischemia / toxins, less commonly 2/2 acute glomerulonephritis (ie RPGN)

 

Mech: Patchy necrosis leads to debris obstructing tubule and fluid backflow across necrotic tubule, ultiately reducing GFR

 

Labs: epithelial / granular casts in urine

- impaired BUN reabsorption causes DEC BUN/Cr

 

 

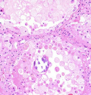
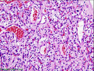
Hemolytic Uremic Syndrome

 

Endothelial injury results in acute renal failure, caused by systemic microthrombi formation, plt consumption and hemolytic anemia that can result in local necrosis

- MCC ARF in kiddos

- triad: ARF, tbcpenia, MAHA

- can have neuro sx, coagulopathy (similar to TTP)

- usually follows URTI or flu-like illness, can come from fast food hamburgers or spinach / lettuce

 

Typical HUS manifests as hemorrhagic diarrhea, rapidly progressive renal failure, assoc c O157:H7 cytotoxic E. coli infx

 

Atypical HUS lacks diarrhea, usually 2/2 complement dysregulation c persistence of complement-mediated microvascular injury

- MC in adults, rarely assoc c ADAMTS13

 

LM: endothelial injury c edema, sometimes microtrhrombi c fibrinoid necrosis, usually affecting glomeruli; arterial fibrinoid necrosis and thrombosis can be seen, can have glomerular crescents or renal cortical necrosis in severe cases

 

IF and EM: non-specific; has features of endothelial injury and fibrin staining of microthrombi

 

Px: kiddos c typical HUS usually recover; atypical HUS (w/o diahhrea) has worse long-term prognosis and can relapse and progress (up to 1/2 mortality)

 

 

Renal Tubular Acidosis

 

Type 1 ("distal")

Defect in collecting tubule's ability to excrete H+

- assoc c hypokalemia and risk for Ca2+-containing kidney stones

 

Type 2 ("proximal")

aka Renal Fanconi Syndrome

 

Proximal tubular dysfunction with numerous causes

- manifests as glycosuria, amino aciduria, phosphaturia, hypokalemia, and metabolic acidosis (bicarbonate wasting)

- inherited causes include cystinosis, tyrosinemia, and galactosemia (secondary tubular damage), and direct inheritance of tubular defects such as Dent disease (X linked recessive defect in the CLCN5 gene encoding a chloride channel)

 

Type 3

?

 

Type 4 ("hyperkalemic")

Lack of collecting tubule response to aldosterone or hypoaldosteronism leading to hyperkalemia and inhibition of ammonia excretion in proximal tubule

 

- leads to dec urine pH due to dec buffer capacity

 

 

 

Casts in Urine

 

If present, means that hematuria / pyuria is of renal origin

- bladder ca, kidney stones --> RBCs, but no casts

- acute cystitis --> WBCs, but again no casts

 

RBC casts

Caused by glomerulonephritis, ischemia, malig HTN

 

WBC casts

Tubulointerstitial inflam, acute pyelonephritis, transplant rejection

 

Granular casts

Muddy-brown in ATN

 

Waxy casts

Advanced renal dz / CRF

 

Hyaline casts

nonspecific

Xanthogranulomatous pyelonephritis

HUS

HUS

Renal Vasculature

Diffuse Cortical Necrosis

 

Acute generalized infarction of cortices of both kidneys limited to renal cortex and columns of Bertin (medulla is spared)

- assoc c obstetric catastrophes (ie abrutio placentiae) and septic shock

 

Mech: probably 2/2 combo of vasospasm and DIC

 

Px: based on extent of renal cortex involvement (if extensive and bilateral can be rapidly fatal from sudden anuria and uremic death)

 

 

 

Renal Papillary Necrosis

 

Ischemic coagulative necrosis of the renal papillae tips and >1 pyramids

 

Sloughing of renal papillae causes gross hematuria, dec urine outflow, hyposthenuria (inability to conc urine) and proteinuria

- may be triggered by a recent infx or immune stimulus

 

Causes: Sickle cell anemia, Obstruction of urinary tract, Acute pyelonephritis, Analgesic nephropathy (chronic phenacetin / acetaminophen), Diabetes (MCC)

*** SO sAAD *** sloughing renal papillae look like tears falling into a pool of urine ***

 

 

 

Primary pauci-immune crescentic glomerulonephritis

 

Vasculitis limited to kidneys

 

*** pauci immune = paucity of abs (don't stain in tissue b/c no immune complexes, but ab's are in fact binding the epithelial surface ***

- (+) MPO-ANCA

 

 

 

Monoclonal Immunoglobulin Deposition Disease

- aka light chain deposition disease

 

BM deposition of Igs primarily in kidney tubules, glomerular capillaries and arteries.

- Multiple myeloma can cause 1) light chain deposition dz, 2) cast nephropathy, or 3) amyloidosis

- in amyloidosis the mesangium gets amyloid deposits first

 

Micro: Nodular deposition similar to Kimmelstein-Wilson nodules

- glomeruli diffusely and evenly affected, capillaries are enlarged

 

IF: spider-web staining in mesangium, primarily kappa LCs

 

 

Thrombotic microangiopathy

 

Lots of thrombi found in small vessels caused by conditions with inc endothelial injury and intravascular coagulation

- predisposing conditions include HUS, TTP, sclerodermal renal dz, preeclampsia, antiphospholipid syndrome, genetic predisposition, drug-induced

 

Micro: endothelial swelling, intracapillary fibrin thrombi, RBC congested vessels, double-contoured GBM, mesangiolysis, subendothelial "fluff"

 

Small Vessel Vasculopathy

 

usually able to differentiate bwt causes

 

Accelerated HTN - aka malig HTN, usually assoc c IgA nephropathy, but may not have features of small vessel vasculopathy

- may be difficult to elucidate etiology when seen c segmental sclerosis

 

HUS - usually in adults; bx not usually done at peak of illness 2/2 bleeding risk; sx overlap c TTP

 

Antiphospholipid syndrome (APL) - usually assoc c lupus ,can get arterial and venous thrombosis

- usually dx'd in late stages of renal damage

 

DIC - renal bx rarely done, but would see thrombosis in glomeruli or arterioles

Thrombotic microangiopathy (TMA)

Renal Tumors and Cysts

TUMORS OF THE KIDNEY (from LASOP 2021)

 American Cancer Society 2021 Estimates

- New diagnoses: 76,080

- Dead of disease: 13,780

 

 5 year relative survival rates (2009 2015)

- Localized 93%

- Regional 70%

- Distant 12%

- All stage combined 75%

 

 Increase incidence since 1990s (10 th most common cancer)

 60% incidental (and increasing)

 5% associated with inherited syndromes

Kidney Stones

 

May lead to complications such as hydronephritis and pyelonephritis

 

Sx: Renal colic, pylonephritis, infx, hematuria

 

Treat and prevent by encouraging fluid intake

 

Calcium Stones

 

MCC kidney stones (75-85%)

- precipitates in alkaline urine

Calcium oxalate, calcium phosphate, or both

- oxalate crystals result from ethylene glycol (antifreeze) or vit C

- conditions that cause hyperCa2+ (cancer, inc PTH, inc vitD, milk-alkali syndrome) lead to hypercalcemia and stones

 

Imaging: Radiopaque

 

Px: Tend to recur

 

Ammonium magnesium phosphate (struvite) stones

 

2nd MCC kidney stones

- precipitates in alkaline urine

Caused by infx c urease-positive bugs (proteus vulgaris, staphylococcus, klebsiella)

 

Can form staghorn calculi that can be a nidus of infx

 

Imaging: radiopaque or radiolucent

 

Micro: Rectangular, prism-shaped crystals on LM

 

Tx: worsened by alkaluria

 

Uric acid Stones

 

strong assoc c hyperuricemia (ie gout); precipitates in acidic urine

 

Often seen as a result of dz c inc cellular turnover (leukemia and MPDs, gout, Lesch-Nyhan syndrome, high-protein diets)

 

Imaging: RadiolUcent

 

Micro: Diamond / rhombus-shaped crystals on LM

 

 

Cystine Stones

 

AR defect in proximal tubule reabsorption of cystine

- precipitates in acidic urine

- most often secondary to cystinuria

- can rarely form cystine staghorn calculi

 

Imaging: faintly RadiOpaque

 

Tx: Alkalinization of urine

 

 

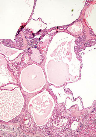
Autosomal Dominant Polycystic Kidney Disease (ADPKD)

- aka Adult Polycystic Kidney Disease

 

Multiple large bilateral cysts that destroys the parenchyma; the kidneys are HUGE

- fairly common (up to 1/500 live births), c 100% penetrance by 5th decade, presenting c isosthenuria and hypertension

- pts also get hepatic cysts that become evident c inc age

 

Presents c flank pain, hematuria, HTN, urinary infx, progressive renal failure, which eventually kills pt

- assoc c polycystic liver dz, berry aneurisms (can cause death), MVP and colonic diverticula

 

Gene: AD mutation in APKD1 (16p13, codes weak connective tissue, polycystin1) and APKD2 (4q, polycystin2, intracellular Ca2+ regulation, leads to dec apoptosis of tubular cells)

- defetive cilia-centrosome complex leads to defective regulation of intracellular Ca2+, leading to cysts arising from tubular structures in any part of the nephron

 

 

 

ADPKD

ARPKD

Autosomal Recessive Polycystic Kidney Disease (ARPKD)

- aka infantile polycystic kidney disease

 

Renal failure in utero may lead to Potter's

- after neonatal period, concern for HTN, portal HTN, progressive renal insufficiency

- in utero can have oligohydramnios and pulmonary hypoplasia

 

Gross: kidneys looks smooth, small radiating cysts from ectatic elongated collecting ducts

 

AR mutation in PKHD1 gene (fibrocystin) on cr 6 [H stands for Hepattic in PKHD1]

- assoc c congenital hepatic fibrosis (not cysts like in the adult type), from biliary plate malformations

 

 

 

Cystic renal dysplasia

- multicystic dysplastic kidney

 

Abnormal metanephric differentiation in utero causing large cystic kidneys c dysplastic parenchyma

- can be caused by in utero ureteral obstruction

- Meckel- Gruber syndrome: kidney dz, polydactyly, and occipital encephalocele

 

Gross: kidneys nonreniform and have mixture of cysts and loose mesenchyme, with the latter sometimes containing cartilage

- usually unilateral

 

Histo: Cysts lined by cuff of flat, cuboidal epithelium surrounded by immature mesenchyme, nodular blastema, cartilage, immature collecting ducts

 

 

Cystic Renal Dysplasia

Islands of cartilage in stroma

Glomerulocystic kidney disease (GCKD)

 

Presents in the neonatal period but genetically related ADPKD

- dilation of Bowman capsule and renal dysplasia

 

 

 

Medullary Sponge Kidney

 

B9 congenital dz c "swiss cheese" medulla on IV pyelogram

assoc c: 1) recurrent kidney stones, 2) Hematuria, 3) UTI

- not assoc c genetic renal cystic dz

 

 

 

 

Medullary Sponge Kidney

Localized (simple) renal cysts

 

B9 cysts in renal cortex of normal-sized kidneys

- incidence inc c age

- usually < 5cm

- basically is a dilated tubule

- microscopic hematuria is b9 incidental finding on UA

- usually are asymptomartic

 

Micro: low-cuboidal to squamoid lining

- should not see clear cells

 

 

 

Simple Renal Cyst

Cystic Nephroma / Mixed Epithelial Stromal Tumor (MEST)

 

Uncommon, multilocular cyst c ovarian-like stroma lined by cuboidal or hobnailed cells

- also shouldn't have clear cells

Renal version of an adenofibroma or fibroadenoma

- fully differentiated Wilms Tumor

- bimodal: infant boys and middle-aged females (usually in perimenopausal females)

-- pediatric tumors have mutations in "DICER1" genes which are NOT seen in the adult type of tumors

 

Micro: cytologically benign tubules of varying shapes and sizes (lining is cuboidal to hobnailed) in background of bland, spindled ovarian-type stroma (which is ER/PR (+))

 

IHC: ER/PR (stroma --> ovarian type), desmin, SMA, CD10

 

Pediatric CN are ER/PR-

 

DDx: Multilocular cystic renal neoplasm of low malignant potential; tubulocystic carcinoma; cystic partially differentiated nephroblastoma; Wilm tumor in kids

 

Px: Benene

 

 

Cystic nephroma / MEST

Medullary Cystic Disease

 

Cysts that sometimes lead to fibrosis and progressive renal insufficiency c urinary concentrating defects

 

Imaging: Small kidney on US

 

Px: Poor

 

Acquired Renal Cystic Disease

 

assoc c ESRD and chronic dialysis tx

- slightly inc risk of RCC

 

Horseshoe kidney

 

90% fuse at inferior pole, 10% at superior pole

- gets trapped under the inferior mesenteric artery (@ L3)

- seen in 1/2 of girls c Turner's syndrome

 

Leads to inc risk of UTIs and nephrolithiasis, though the kidney is otherwise functionally normal

 

Potter phenotype

 

Bilateral renal agenesis

1) pulmonary hypoplasia

2) deformations (extrinsic (Potters facies; rocker-bottom feet, club feet (talipes equinovarus)

3) amnion nodosum (fetal skin fuses c amnion)

 

Nephroblastoma

Nephroblastoma

- aka Wilms tumor

 

MC renal malignancy of early childhood (2-4 yo)

- could arise from nephrogenic rests

- 5% are bilateral (4% synchronous, 1% metachronous)

 

Epithelium predominant Wilms tumor is rare, but usually seen in adult pts

- ddx: metanephric adenoma and solid type I RCC

 

Presents c huge palpable flank mass and/or hematuria

- can be assoc c hemihypertrophy syndromes (in ~3/20, ie Beckwith-Wideman or Denys-Drash)

- contains embryonic glomerular structures (is a malignancy of metanephric mesoderm)

 

Micro: 3 parts

1) Blastema (undifferentiated and very blue)

2) epithelium (very blue like blastema but organized into tubules)

3) stroma (less cellular and more pink)

***BEST: Blastema, Epithelium, STroma***

- inc risk of contralateral tumor if intralobular nephrogenic rests present

 

Anaplasia: nuclear enlargement, nuclear hyperchromasia and abnormal mitoses.

- Focal anaplasia is less than 10% of the specimen has anaplastic features.

- Diffuse anaplasia – more than 10% of the specimen has anaplastic features.

- Nephrogenic rest: renal blastemal cells (metanephric blastema). These are considered precursors of Wilms’ tumor.

- Nephroblastomatosis is the diffuse presence of

nephrogenic rests. It may be perilobar; intralobar

(usually the more primitive elements are situated

intralobarly), which has been associated more

frequently with the development of Wilms’ tumor than

the perilobar blastemal rests; or panlobular

 

IHC: (+) vimentin, desmin (blastema), MyoD, WT1, CD56, EMA (epithelial)

- neg AMACR, CD57

 

Genes: deletion of WT1 tumor suppressor gene on cr 11p13 which is a specific gene for renal blastemal cells and glomerular epithelium; is a dominant oncogene

- may be part of WAGR complex (~3/20, Wilms tumor, Aniridia, Genitourinary malformation, motor Retardation)

- can see LOH on cr 1p and 16q in relapse

 

Px: can classify as favorable or unfavorable based on anaplasia (need to adequately sample and search extensively for proper eval) and abnormal mits

- mets to lung (not bone)

 

 

 

Congenital Mesoblastic Nephroma

Congenital mesonephric blastoma invading renal tubules

Congenital mesoblastic nephroma (CMN)

 

Seen in newborns, mostly <6 mo

- MC renal tumor at 3 mo age

 

Low grade sarcoma that resembles fibromatosis or fibrosarcoma

 

Labs: inc renin (can cause hypertension), parathyroid hormone-related protein (causes inc Ca2+)

 

Gross: circumscribed yellow-tan mass near hilus

 

Micro: myofibroblasts smooth muscle cells, infiltrating borders that trap renal tubules, coarse chromatin c lots of mits

- classic variant less common

- Cellular variant: t(12:15), ETV6::NTRK3 (also in infantile fibrosarcoma) is more common (65%)

 

IHC: (+) Vim, variable SMA, desmin / actin, Pan-Trk

- negative: CK

 

Genes: t(12;15) ETV6-NTRK3 fusion gene

- same as infantile FS, and MASC

 

Px: excellent, most dont recur, don't usually met

 

 

 

Clear Cell Sarcoma of the kidney

Clear Cell Sarcoma of the Kidney

 

1-4 yo, M>F, rare (though second most common pediatric renal tumor, after Wilms tumor)

 

Centered in the medulla, extensive sclerosis

 

Gross: unilat, large (11 cm), homogenous cut surface

 

Micro: Fine chromatin, low mits, clear intercellular matrix, light staining cytoplasm, round nuclei

- cords made by reticular vascular septae

- vasc invasion common

 

IHC: (+) Vimentin, cyclin D1, BCOR

- negative: desmin / actin, CK, EMA, S100, SMA, WT1

 

Genes: t(10;17)(q22;p13), t(10;17)(q11;p12), BCOR or YWHAE::NUTM2 gene fusions

 

Tx: responds to some chemo; but use the wrong tx and could cause death

 

Px: Survival depends on stage

- freq recurrence with bone mets

 

 

 

Rhabdoid tumor

Rhabdoid Tumor

 

18 mo

 

Almost always in renal medulla

- PTH secretion --> hyperCa2+

- 15% have concurrent medulloblastoma / PNET in posterior fossa

 

Micro: large, polygonal, round, plasmacytoid; abund red cytoplasm; large vesicular nuclei, prominent nucleolus; cytoplasmic inclusions

 

IHC: negative INI1

 

EM: perinuclear intermed filaments

 

Genes: germline hSNF5/INI1 (22q11) mutations

 

 

Metanephric stromal tumor

 

spindle cell tumor that infiltrates and traps normal kidney (tubules and vessels)

 

 

Angiomyolipoma

D, Epithelioid angiomyolipoma with clear, granular or densely eosinophilic cytoplasm. Inset demonstrates diffuse cytoplasmic immunoreactivity for HMB45 [4]

Angiomyolipoma

 

Hamartoma consisting of fat, sm muscle and strange-looking blood vessels (large [big and thick-walled], tangled hyalinized)

- M:F 1:4

- assoc c Tuberous Sclerosis (20%)

- a member of the perivascular epithelioid cell tumor (PEComa) family

- may be assoc c tuberous sclerosis

- PEComa that can be single or multifocal

- has a pushing border but is not encapsulated

 

Variant called AML with epithelial cysts, lined by cuboidal to hobnailed cells that are PAX8 positive

 

IHC: (+) Cathepsin K (diffuse), HMB-45, melan-A, SMA, desmin, c-kit

- pathognomonic co-expression of muscle and melanoma markers

- neg: epithelial markers, CAIX, CD10, Racemase, c-kit, TFE3

 

Can see melanosomes on electron microscopy, which are spherical structure

 

DDx: liposarcoma, leiomyoma, RCC

 

Px: the epithelioid variant behaves malignantly in up to 1/3 cases

- a rare complication is retroperitoneal hemorrhage, which may be fatal

 

 

 

Epithelioid Angiomyolipoma (EAML)

 

 May be misdiagnosed as high grade carcinoma

 ~ 8% of all AML; mean age: 32-38

 More common in patients with TS

 No established cutoff % of epithelioid morphology required for a tumor to be designated as EAML

 Controversial data regarding clinical behavior

 

Epithelioid morphology without atypia has no

prognostic significance

 

Presence of at least 3 features indicates a risk for

malignant behavior:

- at least 70% atypical epithelioid cells

- at least 2 mitoses/10 HPFs

- atypical mitoses

- necrosis

- extrarenal extension

- renal vein involvement

 

Kryvenko et al. Arch Pathol Lab Med 2014, Brimo et al. Am J Surg Pathol 2010; Nese et al. Am J Surg Pathol 2011; He et al. Mod Pathol 2013

EAML

EAML IHC

Hemangioblastoma

 

Micro: Prominent vasculature; neoplastic stromal cells

- no atypia or necrosis

 

IHC: (+) S100, NSE, Inhibin

- negative: CK, CD10, EMA

 

 

Hemangioblastoma

Metanephric adenoma

 

Benign; basically an adult version of Wilm's tumor, F>M

- grossly well-circumscribed w/o capsule

 

Sx: 10% have polycythemia

 

Micro: well-circumscribed (no infiltration), orderly compact small tubules that can form small cysts, scant stroma, uniform cells, scant cytoplasm, hyperchromatic, commonly see psammoma bodies

- can have glomeruloid structures

 

Related to metanephric adenofibroma

- metanephric adenofibroma is a biphasic tumor c tubules seen in metanephric adenoma and stroma seen in metanephric stromal tumor

 

IHC: (+) CD57, WT1, Vim

- negative: CK7, CD56, SMA, EMA,

 

DDx: solid variant of papillary RCC, nephroblastoma (Wilms tumor, diffuse WT1 staining, negative CD57)

 

Px: b9 behavior

 

 

 

Metanephric adenoma

Renal Cell Carcinoma

 

Used to be called hypernephroma, bc thought it was from adrenal gland

- usually seen in male pts >50 yo, 99% unilateral; can mimic lots of paraneoplastic dzs

-- risk factors: cigarettes, obesity, HBP, renal transplant; or RCC syndromes (vHL, Birt-Hogg Dube, Tuberous sclerosis)

 

Micro: clear cells in acinar pattern c delicate vasculature, delicate cell membranes, no desmoplasia

- caveat *** normal adrenal cortex has vacuoles that cause indentations in the nucleus and give it a stellar look

 

Dx: usually imaging

- must be careful c cytologic dx, lots of stuff can cause false (+)

 

Tx: Radical or partial (if small) nephrectomy

- can be cured even if goes into inferior vena cava

- chemo/rads ineffective (though may be becoming popular again [anti-angiogenic tx])

 

Px: 1/4 present c mets, which can be in strange places

- use Fuhrman grading system, which classifies tumor based on ability to ID nucleoli at 10x

- stage and nuclear grade most important px factors

- 68% overall 5-yr survival, up to 80% of stage I, 5% stage IV

- if mets to skin, usually goes to scalp

 

 

 

From LASOP 2021

Clear Cell RCC

A, Clear cell renal cell carcinoma (RCC) with typical alveolar arrangement of cells. Inset shows diffuse membranous immunoreactivity for CA-IX in a box-shape pattern [4]

Clear cell renal cell carcinoma

- aka classic / conventional type or Grawitz tumor

 

MCC (70%) adult renal epithelial tumors

Derived from prox convoluted tubule

- Most asymptomatic at presentation: triad (hematuria/pain/mass) in <10%

 

Genes: 3p- (98%) in VHL tumor suppressor gene for elongin which inhibits production of EDGF (thus loss causes inc in VEGF, leading to highly vascular tumors)

 

Gross: granular, golden-orange, well-circumscribed

- can see necrotic areas, hemorrhage, necrosis

- 10% multifocal, 3% bilateral

 

Micro: compact clear cells in alveolar architecture c clear cytoplasm (made of glycogen / lipids) which are ~ 2x the size of normal epithelial tubules; may look pseudopapillary

 Clear cytoplasm; in high grade lesions may be only partially clear or mostly “granular”

 Variable growth pattern/cell shape, loosely related to grade:

- solid/acinar, delicate sinusoidal vascular pattern

- sheet like, pseudopapillary, rhabdoid, sarcomatoid

 Fibrosis and hyalinization are common

 Geographic necrosis and hemorrhage are common

- watch out for rhabdoid variant of CCRCC, which has a much worse px (any percentage is bad, and it is actually NEGATIVE for muscle markers SMA and Desmin)

 

Papillary pattern in CCRCC (Alaghehbandan et al. Ann Diagn Pathol 2019)

 Papillary pattern accounted for ~ 40 100% of tumor

 Non papillary areas: CK7 --(20/23) or focally + (3/23)

 AMACR +/focally + in papillary and non papillary areas

 Most frequently mutated genes: VHL (9 cases ), PRBM1 (2 cases)

 

IHC: (+) CA-IX (strong and diffuse, in a box shape), CK 8/18/19/7, EMA, EMA/MUC1, vimentin, keratin, CD10 (diffuse), RCC-Ma, Carbonic anhydrase IV, PAX 2/8

 

- negative ck 34betaE12, CK7/20, AMACR, CD117, CA125, E-cadherin, HepPar1, Hale's colloidal iron, c-kit, TFE3/cathepsin-K, melanoma markers

 

 Sporadic (majority):

- VHL mutations: >80%

- VHL hypermethylation: ~ 8%

 Familial syndrome: chr. 3 germline mutation

- Von Hippel Lindau (VHL)

 

Genetics:

 Chromosome 3p alterations, including VHL gene

 Histone modification, chromatin remodeling genes

 

Additional mutation is PBRM1 , SETD2, KDM5C, and BAP1 (BRCA1 associated protein 1) tumor predisposition syndrome

 

DDx of CCRCC mets: Lung: sugar cell tumor; cerebellum: hemangioblastoma; adrenal cortical lesions

 

Tx: clear cell ca can be treated c Sunitinib (which inhibits CAIX and VEGF?), so it's important to correctly dx

 

Px: aggressive

- rhabdoid variant has a much worse px

 

Important prognostic factors in RCC

 Tumor morphotype (histologic subtype)

 WHO/ISUP tumor grade

 AJCC TNM pathologic stage

 Coagulative tumor necrosis

- Both macroscopic and microscopic necrosis should be reported % of total area showing necrosis should be specified

 Sarcomatoid and rhabdoid differentiation

 Venous and microvascular invasion

 

Nuclear Grade

ISUP Grading System

 Grades 1 3 (CCRCC and PRCC) based on nucleolar prominence alone

 Grade 4 : extreme nuclear pleomorphism, giant cells or sarcomatoid rhabdoid differentiation

 Chromophobe RCC is NOT graded

Delahunt et al. AJSP 2011

 

 

from Leibovich et al. J Urol 2010

from LASOP 2021

eosinophilic Clear Cell RCC (LASOP 2021)

CCRCC with eosinophilic cells

Sarcomatoid and Rhabdoid Differentiation in RCC

Clear Cell Papillary Renal Cell Carcinoma

- same as CC Tubulopapillary RCC (below??)

 

Low-grade, low stage, renal epithelial neoplasm with clear cytoplasm, focal to diffuse papillary architecture, and occasional leiomyomatous stromal metaplasia and a cystic part; Fuhrman 1-2 w/o oxalate crystals

- cells have nuclei polarized away from the BM

- usually assoc c ESRD (esp c Ca2+ oxalate crystals) on dialysis

 

 4th most common RCC type ( ~5%)

 Well circumscribed, small

 Frequently cystic (up to 90%) with a thick capsule

(>70%); almost all with at least a partial capsule

 

Micro: Tubulopapillary architecture with compressed

tubules lined by clear cells

 Short papillae arising from cyst wall, lined by a

single layer of cells with clear cytoplasm

 Prominent fibrotic stroma

 Lack typical vascular pattern of clear cell RCC

 

IHC: (+) AE1/3, CK7, CAM 5.2, EMA, and carbonic anhydrase IX (CA9, can have cup-shaped positivity which doesn't stain along luminal border)

 

- Negative CD10, α-methylacyl-CoA racemase (AMACR) and TFE3, c-kit, vimentin

 

Genes: no LOH of 3p; no VHL mutation/methylation

- no chr 7/17 trisomy or chr Y loss

 

Px: Favorable, no reported cases of metastasis or death

- most cases are stage pT1

 

 

 

B, Clear cell papillary RCC with papillary structures lined by cuboidal clear cells with piano-key nuclear arrangement. Inset shows cup-shape membranous immunoreactivity for CA-IX. [4]

Clear cell papillary renal cell carcinoma

Medullary Renal Cell Carcinoma

 

Young black male, sickle cell trait

- centered in medulla

- <100 cases reported (rare)

- aka "the seventh sickle cell nephropathy" (along with unilateral hematuria, papillary necrosis, renal infarction, nephrotic syndrome, pyelonephritis, inability to concentrate urine)

 

Micro: microcystic, reticular or sheets of growth

- high-grade undifferentiated cells that invades at traps glomeruli at tumor periphery

- large vesicular nuclei, prominent nucleoli, densely opaque, eosinophilic cytoplasm

- can be confused c abscess 2/2 neutrophilic collections

- may see sickle cells in vascular spaces

 

IHC: inconsistent, but has loss of INI1

- loss of INI1 seen in other high grade tumors in peds (AT/RT, renal rhabdoid tumors, epithelioid sarcomas)

 

Px: Extremely poor (survive 15 wks after dx); usually diffuse mets by dx

 

 

 

Medullary RCC

Medullary RCC c RBC sickling

Papillary RCC

Papillary renal cell carcinoma

- aka chromophil, eosinophilic variant of clear cell carcinoma

 

Comes from proximal or distal convoluted tubule; 75% male, presents at early stage; 2nd MCC RCC

 

 13-18% of RCC

 6-7 th decade (earlier in

hereditary cases)

 

Grossly: variegated yellow, 30-49% multifocal; 10% bilateral

 

2 subtypes:

1) Type I: solid (basophilic) papillary renal cell carcinoma; has single layer of cuboidal cells around thin papilla with macrophages in center

- MC subtype, better px than type II

IHC: (+) CK7 (diffuse), MUC1, EMA, AMACR

- neg: WT1, CD57

 

2) Type II (eosinophilic) papillary renal cell carcinoma

- presents at a higher stage than type I

- see broader cells that are pseudostratified

- assoc c Reed syndrome (?)

- (+) Hale colloidal iron from hemosiderin, topoisomerase II alpha

- Higher Ki67 than type I

- negative MUC1, CK7 (in 1/5), EMA

 

 Sporadic (majority of cases)

 <5% in inherited

- Hereditary papillary RCC (c MET, 7p31)

 

Genetics:

 Gain of chr. 7 chr.17

 Loss of Y chromosome

 

Oncocytic Papillary RCC, Low Grade

Papillary/ tubulopapillary architecture

 Hyalinized /edematous cores

 Single layer of eosinophilic cells with low grade nuclei (ISUP grade 1 2)

 Inverted nuclear pattern

 CK7 , AMACR, CD10, GATA3 +

 

- No mitosis

- No necrosis

- No intracellular hemosiderin

- No foamy macrophages

- No psammoma bodies

 

Hes et al. Ann Diagn Pathol 2006; Kunju et al. Human Pathol 2008; Park et al. Pathol Int. 2009; Hes et al. Pathology 2013; Al Obaidy et al. AJSP 2019

Classic immunohistochemical profile for papillary renal cell carcinoma (RCC). Type 2 papillary RCC with eosinophilic cytoplasm (A) shows granular cytoplasmic stain for a-methylacyl coenzyme A racemase (B) and diffuse membranous and cytoplasmic positivity for CK7 (C) [4]

Oncocytic Papillary RCC, Low Grade, CK7+, AMACR+, CD10+, GATA3+

Hereditary Leiomyomatosis and Renal Cell Carcinoma Syndrome associated RCC (HLRCC)

 

Autosomal dominant

- assoc c RCC and fumarate hydratase abnormalities (in the citric acid cycle)

-- Germline mutation of FH gene (1q42.3 1q43),

encoding enzyme fumarate hydratase

- have cutaneous leiomyomatosis and large uterine leiomyoma in younger pts

- assoc c type II papillary RCC

- nuclei look viral with cherry red appearance and nuclear clearing

 

Unilateral renal tumors (4th decade):

- papillary, tubulopapillary, tubular, solid architecture

-  abundant eosinophilic cytoplasm

- enlarged nuclei with margination of chromatin

- prominent eosinophilic nucleolus surrounded by a clear halo

 

There's also a type 3 which is an overlap bwt types 1 and 2; about 1/2 of pRCCs fall in this category

 

Clinical features definitional for HLRCC

• Multiple biopsy proven cutaneous piloleiomyomas

Or

Two of the following minor criteria:

- Surgical treatment for symptomatic uterine leiomyomas before age 40

- Type 2 papillary RCC before age 40

- 1st degree family member who meets these

criteria

 

Micro: thick capsule, see some degree of papillary structure, sometimes psammoma bodies

- nuclei are very round (vs chromophobe variant RCC)

 

IHC: (+) AE1/3, CK7 (diffuse)/8/18/19, Racemase (AMACR, 10/10!), EMA, CD10, RCC-Ma, CD117, vimentin (variable), MYC (+ in high grade tumors), PAX2/8

- negative: CAIX (except in necrotic areas), WT1 34betaE12, c-kit, Hale colloidal Iron, TFE3

 

Genes: loss of Y, gain of 7 and 17 (similar to urothelial ca)

- Type I: 3+, 7q31.1-q34 (c-MET oncogene), 17+

- Type II: (+) 1, 8, loss of 3, 6, and 9

 

DDx: Solid variant of papillary RCC looks like a metanephric adenoma

- ddx for type I papillary RCC is metanephric adenoma and epithelial predominant Wilms tumor

 

Px: High stage at presentation, poor clinical outcomes

 

 

 

FH-deficient RCC

HLRCC

RCC with smooth muscle (or leiomyomatous) stroma

 

 Emerging/provisional entity

 Resembles CCRCC or CCPRCC

 Sporadic or associated with TSC

 Nests/elongated tubules lined by clear cells (low grade) & abundant smooth muscle stroma

 

IHC

 Epithelial: CAIX +, CK7 ++/+, CD10+, VIM +, AMACR -

 Stromal: Desmin -

 

Molecular features:

- VHL abnormalities; no LOH at 3p

- ELOC (TCEB1) mutations

- Somatic mutations (TSC1/2, MTOR)

 

Michal et al. Ann Diagn Pathol 2000

Trpkov & Hes. Histopathology 2019; Shah et al. Am J Surg Pathol 2020

RCC with smooth muscle (or leiomyomatous) stroma

 

DDx of RCC with leiomyomatous stroma

TCEB1 mutated RCC

 

 Thick fibromuscular bands traversing tumor parenchyma (multinodular on low power)

 Cells have clear and voluminous cytoplasm; form solid acinar and in folding tubular and focally papillary architecture

 No metastases developed at last follow up (median 48 mts

TCEB1 mutated RCC

Succinate Dehydrogenase (SDH)-deficient Neoplasms

 

 ~0.1% of all RCC, 30% multifocal or bilateral

 Many show cystic changes, some are solid

 Mostly low stage/low grade

 

Germline mutations of genes encoding SDH subunits result in hereditary syndromes:

- Pheochromocytoma paraganglioma (15% associated with germline mutations)

- GIST (30% associated with SDHA

germline mutations, 50% with SDHC

epimutations)

- RCC particularly associated with SDHB mutations, although SDHC and SDHA mutations occur)

- Pituitary adenomas

 

High grade features have been described

- Tumor necrosis

- High nuclear grade

- Sarcomatoid differentiation

 

IHC

 EMA, CD10, PAX8 +

 neg: AMACR, CD117, CK7, CK20

 SDHB negative

 

Mutation analysis:

 Double hit inactivation of SDH related genes (75% involve SDHB

 SDHA deficient RCC: genetic alteration likely somatic

 

Genetic evaluation of 1st degree relatives may be considered

 

Px: 11% metastatic rate at long term f/u

 

Gill AJ. Histopathology 2018

Low grade oncocytic FH deficient RCC

SDH-def neoplasms

SDH-def neoplasms gross

SDH-def neoplasm

SDH deficient RCC

Clear Cell Tubulopapillary Renal Cell Carcinoma

 

Occurs in pts with or without end-stage kidney disease

 

Micro: Tumor small c prominent fibrous stroma

- tumor cells in branching tubules, nests, cysts, and blunt papillae lined by tumor cells c mod amt of clear cytoplasm

- nuclei small and uniformly low grade

- may have areas where nuclei polarized towards luinal surface

 

IHC: (+) CK7 and CA9 (diffusely) - CA9 c cup-like pattern

- neg: CD10

 

Genes: does no have genetic mutations seen in PRCC or CCRCC

 

 

 

Clear cell tubulopapillary renal cell carcioma

Chromophobe RCC

A, Eosinophilic chromophobe RCC is diffusely positive for CK7 (inset)

Chromophobe Renal Cell Carcinoma (Ch-RCC)

 

Comes from intercalated cells of collecting duct

- no central scar, solid growth, plant cells

- has features of CCRCC and chromophobe RCC

- Assoc c Birt-Hogg-Dube syndrome (multiple and bilateral oncocytomas or chromophobe RCC's)

- ~1/20 cases of renal epithelial tumors, 10% of RCCs

 

Do NOT need to do Fuhrman grading on these

 

Gross: no capsule, is solid to papillary, Tan brown mass, sometimes with central scar

 

Histo: looks very pale c lots of cytoplasm, cells are pleomorphic but have well-defined membranes, perinuclear clearing

- Irregular, wrinkled nuclear membrane (‘raisinoid’)

- there is a pink cell variant that can look a lot like chromophobe RCC, but nuclei are more koilocytic

- 3 cell types includingL type 1: small eosinophilic cells; type II: similar to type 1 except larger with perinuclear clearing of cytoplasm; type III: abundant amount of clear, reticulated cytoplasm; cytoplasmic membrane often accentuated

 

IHC: (+) Hale colloid iron (cytoplasm colored blue), EpCam (diffuse), c-kit, CK7 (diffuse, peripheral, cytoplasmic), CD117, RCC stain (in up to 1/2), PAX2

- negative: CD10 (variable), vimentin, PAX8, CA-IX, variable AMACR, TFE3

 

EM: abundant microvesicles

 

Genes: multiple monosomies (cr 1, 6, 10, 13, 17, 21, Y)

- TP53 and PTEN are commonly mutated

 

Px: Better than RCC

 

 

 

Eosinophilic ChRCC

Hybrid Oncocytic/Chromophobe Tumor (HOCT)

 

 HOCT contain tumor cells displaying cytologic

features of ChRCC and renal oncocytoma

 May be sporadic and occur in patients with

renal oncocytosis or Birt Hogg Dube (BHD)

syndrome

 Existence of hybrid tumors may preclude a

definitive diagnosis of oncocytoma on needle

biopsy

 Clinical behavior of tumors in BHD is less aggressive than that of sporadic

 

Pavlovich CP et al. AJSP 2002

HOCT

Renal Oncocytosis

 

 

Renal Oncocytosis

Birt-Hogg-Dube syndrome

 

Hybrid tumors

Eos. ChRCC

Oncocytoma

Eos. Papillary

Clear cell

 

Pulmonary cysts

 

 Aut. dominant genodermatosis:

- small dome shaped papules on face, neck, trunk (fibrofolliculomas)

- higher risk of renal tumors, lung cysts, spontaneous pneumothorax

 

Mutations in folliculin (FCLN)

 

 Male predominance

 Mean of 5.3 renal tumors/patient

 Multiple (77%), bilateral (60%) tumors

 

Pavlovich et al. AJSP2002

Birt-Hogg-Dube syndrome

MiT family translocation renal cell carcinomta (MiTF RCC)

- aka Renal carcinoma assoc c Xp11.2  or t(6;11) translocation

 

 Members of MiTF /TFE transcription factor family

- MiTF , TFE3, TFEB, TFEC

 Xp11 translocation RCC ( TFE3 gene fusions)

 t(6;11)(p21;q12) RCC ( alpha TFEB gene fusion)

 Both translocations result in overexpression and

activation of similar fusion gene products

 Express proteins normally driven by MiTF and not

expressed in other RCCs

- Melanocytic markers

- Cathepsin K ( Martignoni et al. Mod Pathol 2009)

 

Gene fusion c TFE3 transcription factor gene on

chromosome Xp11.2

- seen in 3% of adult RCCs, mostly (80%) younger (<35 yo) women; present at advanced stages

- need to do FISH or PCR to dx

- Nuclear labeling for TFE3 protein

- TFE3 rearrangements by FISH

 Occurs in children & young adults:

- Range: 1.5 75 years (median 22 yrs)

- Comprise majority of pediatric RCC

- Comprise 1 2% of adult RCC

 Association with prior chemotherapy

- 10 15% of cases

 Stage and age predict outcome

 

Micro: alveolar or papillary pattern, polygonal tumors, psammoma bodies

- t(6;11) TFEB RCC have biphasiv appearance c larger peripheral cells and smaller central epithelioid cells

 

IHC: (+) TFE3, HMB45, Melan-A, cathepsin-K, CD10, AMACR, vimentin, E-cadherin (60%), focal carbonic anhydrase

- negative CK7, CD45, EMA, cytokeratins, calreinin, smooth muscle actin, vimentin

 

Genes: translocations of the transferrin receptor TFE3 gene at Xp11.2, including t(X;1)(p11.2;q21), t(X;17)(p11.2;q25) and t(X;1)(p11.2;p34)

- t(6;11) have MALAT1-TFEB gene fusion

 

Chromosomal translocation detected by:

- Nuclear labeling for TFE3 protein by IHC

- TFE3 rearrangements by FISH*

* exception: paracentric inversions involving Xp11

Magers et al. Arch Pathol Lab Med 2015

 

 

Px: Poor (esp ASPSCR1-TFE3)

 

 

 

MiTF RCC

C, MiT family translocation renal cell carcinoma (MiTF RCC) tumor cells with clear and eosinophilic cytoplasm. Inset demonstrates nuclear immunoreactivity for TFE3 [4]

Xp11 translocation RCC: variable fusion partners

Xp11 tRCC confirmed by TFE3 break apart FISH

t(6;11)(p21;q12) renal cell carcinoma

 

 Alpha TFEB Gene Fusion

 Female predominance

 Biphasic morphology:

- larger epithelioid cells with clear to eosinophilic cytoplasm

- smaller cells clustered around basement membrane material

 t(6;11) RCC are more indolent than the Xp11 (<10% of cases resulting in death)

 Necrosis correlates with aggressive behavior

 

IHC

 HMB45 +, Melan A+

 Mostly cathepsin K , PAX 8 +

 OSCAR, AE1/AE3, CAM5.2 focally +

 EMA -

 

Genes

Chromosomal translocation detected by:

- Nuclear labeling for TFEB protein by IHC

- TFEB rearrangements by FISH

 

Smith NE et al. AJSP 2014;38:604-14

t(6;11)(p21;q12) renal cell carcinoma

t(6;11) RCC Resembling Xp11 translocation RCC!

Multilocular Cystic Renal Neoplasm of Low

Malignant Potential

 

- Rare variant of clear cell RCC *

- 3 6 % of CCRCC

 

Mean age 46 ±10 years

Male predominance (3:1)

 

Gross: tumor well-circumscribed and entirely multilocular cystic (no solid areas or necrosis)

- Fibrous pseudocapsule

 

Micro: cystic walls and septa lined c single or few layers of clear cells c low grade nuclei

- no expansile nodules of clear cells

 

- Septa lined by one or few layers or small nests/clusters of epithelial cells

- Tumor cells have pale to clear cytoplasm

- ISUP grade 1 2

- Lining may be absent; foamy macrophages may line cyst wall

- Papillary tufting may be seen

- No solid or expansile masses

- No necrosis

 

IHC: (+) CD10, EMA, AE1/AE3, CA9 (shows diffuse membranous positivity with box-like staining [similar to CCRCC]), CK7 (usually patchy, like CCRCC)

- AMACR- (in 80%)

 

Genes: cr 3p del and VHL gene mutations

* 3p deletion by FISH in 74% (Halat et al. Mod Pathol 2010);

Teng et al. Clin Genitourin Cancer 2016

 

DDx:

- Cystic Nephroma/Mixed epithelial stromal tumor (MEST)

- RCC with extensive necrotic and cystic changes

- Benign multilocular cyst of the kidney

 

Tx: surgery

 

Px: excellent

No recurrence or metastasis reported

 

 

Multilocular Cystic Renal Neoplasm of Low Malignant Potential

Tubulocystic Renal Cell Carcinoma

 

Morphologic variant of RCC, very rare; M>>F

- avg size 4 cm, tumor usually in single nodule, which can look like Swiss cheese

- may be assoc c papillary neoplasms

 

Micro: closely paced tubules and cysts separated by thin fibrous septae that do not have ovarian-type stroma or desmoplasia

- tumor cells lining the cysts and tubules are large c eosinophilic cytoplasm and prominent nuclei with perinuclear clearing

- commonly look hobnail

 

IHC: (+) AMACR, CD7/10 (data limited)

 

Genes: similar to papillary RCC

 

Tx: surgery

 

Px: usually low grade, and has pretty good px

- can sometimes met

 

 

 

Tubulocystic Renal Cell Carcinoma

Collecting (Bellini) Duct Carcinoma

 

High-grade tumor from the medulla that looks and acts like adenoca, arising from the terminal ducts of Bellini

- medullary carcinoma is the variant that may arise in sickle cell pts in young black males

 

Gross: Medulla and pelvis, partially cystic

 

Micro: papillary, tubular and cystic

- hobnail cells

 

IHC: (+) CD19, HMWK, 34BE12, PAX8

- negative: CD10, vimentin (variable?)

 

Genes: del(1q)

 

Px: aggressive

 

Collecting Duct carcinoma

Juxtaglomerular Apparatus Tumor

 

20-30 yo, F>M, benign

- small tumors (2-3 cm) that are cortical based

 

Sx: hyperreninism, hyperaldosteronism, HTN (from inc renin), hypokalemia

 

Micro: Cellular, monomorphic, epithelioid round cells, dense meshwork of vessels

 

IHC: (+) vim, SMA

- negative: CK

 

EM: rhomboid crystals

 

Juxtaglomerulus apparatus tumor

Oncocytoma

B, Oncocytoma is focally positive for CK7 (inset) in scattered tumor cells [4]

Oncocytoma

 

B9 tumor derived from intercalated cells of collecting duct, 2M>1F, 3-7% of renal neoplasms

- ~1/10 occur concurrently c RCC, either of contralateral or ipsilateral kidney

- Assoc c Birt-Hogg-Dube (multiple and bilateral oncocytomas or chromophobe RCC's

 

Do NOT need to do Fuhrman grading

 

Gross: tan/mahogany/brown central scar that has no capsule but is well-circumscribed

 

Micro: glandular / tubular / nested formation of dense pink cells c regular round nuclei in background of hypocellular loose CT

- tumor cells have abundant red granular cytoplasm

- Nested/tubular architecture and bland cytology

- lacks mits, necrosis, clear cells, vascular invasion or papillary structures

- if has prominent nucleoli (seen in ~1/2) corresponds to Fuhrman grades 3-4

 

Permissible features: (LASOP 2021)

 Degenerative cytologic atypia

 Peri renal or sinus fat invasion

 Vascular invasion (small vessels)

 Very rare mitotic figures

 

Non acceptable findings:

 Frequent/atypical mitoses

 Tumor necrosis

 Overt papillary architecture

 True cytologic atypia

 Sarcomatoid transformation

 Gross renal vein involvement

 

IHC: (+) CD117, PAX2/8, variable EPCAM

- negative RCC, CD10 (variable), vimentin, Hale's colloidal iron (apical blush ok)

- CK7+ in single scattered cells positive in background of neg cells

 

Genes: commonly have diploid karyotype and loss of cr 1 or Y

Rearrangement of 11q13, including CCND1 locus may represent a distinctive subset

 

EM: abundant mitochondria

 

DDx: chromophobe ca (CK7+)

 

Px: excellent, even despite worrisome features

 

 

 

 

 

Oncocytoma

oncocytoma. oncoblasts

oncocytoma, degenerative atypia

Oncocytic Renal Neoplasm of Low Malignant Potential Potential (ORNLMP)

 

 Highly compact nested architecture, almost solid

 Variation in cell size or slight nuclear irregularity

 

Category expressing uncertainty between oncocytoma & eosinophilic variant of ChRCC

 

Wobker & Williamson. J Kidney Cancer VHL. 2017

Oncocytic Renal Neoplasm of Low Malignant Potential

Mucinous tubular and spindle cell carcinoma

Mucinous tubular and spindle cell carcinoma

 

Rare, MC in adult women

 

Gross: well circumscribed c solid grey to white appearance of cut surface

 

Micro: cuboidal cells in microtubules and long cord in abrupt transitions to spindle morphology

- arrayed in a mucinous myxoid stroma

- nuclear atypia and mits rare in both cuboidal and spindle cells

-- may look like papillary renal cell carcinoma

 

IHC: not helpful in distinguishing from

 

Genes: ? lots of abnormalities distinct from papillary RCC

 

Px: good

Acquired Cystic Disease Associated RCC (ACD-RCC)

 

 Occurs in patients with ACKD on dialysis for long time (8 11yrs)

 Often multifocal and bilateral

 Well circumscribed; some have focally calcified capsule

 Many seem to arise in a cyst

 Hemorrhage and necrosis are common

 More favorable behavior than carcinomas occurring in sporadic setting

 

Micro: Most common patterns tubulocystic and papillary solid, solid alveolar, microcystic macrocystic are also known

 Combination of solid sheet like, papillary, acinar,

cribriform and tubulocystic patterns

 Inter or intracellular microlumen formation leading to cribriform architecture

 Consistent presence of large eosinophilic cells with large nuclei and prominent nucleoli

 Frequent presence of intratumoral oxalate crystals

 

Tickoo et al AJSP 2006; Sule et al AJSP 2005

ACD RCC

Eosinophilic, solid, and cystic (ESC) RCC

 

 Sporadic and in patients with tuberous sclerosis (TS)

 Sporadic tumors in ♀

 Solid/microcystic or solid appearance

 Indolent behavior: 13/14 patients without disease

progression after 2 to 138 months (mean 53)

 

Px: 15 y/o female with multifocal ESC RCC with

liver and lung metastases

 69 y/o female with 15 cm ESC RCC with hilar lymph node metastasis

 4/10 ESC were multifocal (one bilateral)

 4/10 ESC occurred in males

 

Trpkov at al. AJSP 2016; Li Y et al. Histopathology 2018; McKenney J et al. Histopathology 2018

ESC RCC

ESC RCC met

Renal Cell Carcinoma with TFEB amplification

 

Emerging entity (  50 cases)

 Can occur independently or in association with TFEB rearrangement

 Occur in older patients (mean 65 yrs)

 High grade features, less distinctive appearance than t(6;11)

 Less reliable TFEB and melanocytic markers expression:

- Melan A+

- Cathepsin K, HMB45 + (50%)

 

 Poor outcome

 

Argani P et al. AJSP 2016; Gupta S Mod Pathol 2017; Skala SL et

al. Mod Pathol 2018; Gupta et al. AJSP 2019

RCC with TFEB amplificaiton

References:

1. Dr Z's renal path notes

2. Robbins

3. AP board review books

4. Xiao X et al. Practical Applications of Immunohistochemistry in the Diagnosis of Genitourinary Tumors. Arch Pathol Lab Med. 2017; 141:1181-1194