Injury from Sharp Objects

Histology of Point Blank Gun Shot Wound

 

Low power shows heat damage with focal dark pigmentation

Higher power shows translucent , non-refractile particulate foreign material consistent with gunpowder

 

 

Suicide - Toe pulls triggert

Slit wrist

 

An incised wound is defined as a wound produced by a sharp edged weapon, which is longer on the skin than it is deep

No bridging tissue present

Surrounding superficial cuts referred to as “hesitation marks”

 

 

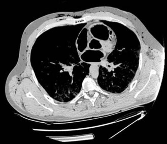
Air embolism from stab wound

 

Patients with stab wounds to the neck or penetrating chest trauma are at high risk of traumatic air embolism

Positive pressure ventilation of the affected lung will cause rapid death if the condition is not immediately recognized