Drugs

Toxicology Specimen Collection

 

Blood

Femoral – likely to provide more accurate level of drugs (used to quantitate)

Heart –may have falsely elevated drug levels due to postmortem redistribution (used for qualitative testing)

Vitreous

Liver tissue – for TCA’s or highly protein bound drugs

Kidney tissue – Heavy metals

Meconium, infant head hair, or any tissue from the fetus – to test for intrauterine fetal exposure in maternal drug abuse

 

 

Alcohol

 

Wernicke's Enephalopathy

 

Thiamine (vitamin B-1) deficiency can result in Wernicke's Encephalopathy

Wernicke-Korsakoff syndrome (WKS) is a late neuropsychiatric manifestation of WE with memory loss and confabulation

Characteristically associated with chronic alcoholism, because it affects thiamine uptake and utilization.

May develop in other conditions such as: prolonged starvation, hyperemesis gravidarum, bariatric surgery, and HIV/ AIDS

In addition, the administration of dextrose in the setting of thiamine deficiency can be harmful because glucose oxidation is a thiamine-intensive process that may drive the insufficient circulating vitamin B-1 intracellularly, thereby precipitating neurologic injury

 

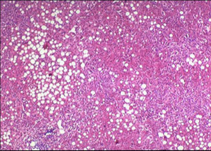
Alcoholic Hepatitis

 

Hepatocyte swelling and necrosis, acute inflammation, fatty change, fibrosis and Mallory bodies

Mallory bodies  are an accumulation of intermediate filaments and other proteins – visible as eosinophilic cytoplasmic inclusions in degenerating hepatocytes

Also seen in PBS, Wilsons, HCC and chronic cholestasis

 

Note AST to ALT ratio of 2:1 or greater is suggestive of alcoholic liver disease, particularly in the setting of an elevated gamma-glutamyl transpeptidase (GGT)

 

 

Alcoholic Cerebellar Degeneration

 

The anterior portion of the vermis (upper portion of figure) is atrophic with widened spaces between the folia

 

 

Heroin

 

Metabolism

 

The major metabolites of Heroin (diacetylmorphine)

6-MAM, morphine, morphine-3-glucuronide and morphine-6-glucuronide

may be quantitated in blood, plasma or urine

to monitor for abuse, confirm a diagnosis of poisoning or assist in a medicolegal death investigation