Bone Marrow

Bone marrow basics

Bone Marrow Failure Syndromes

  • Aplastic anemia
  • Paroxysmal Nocturnal Hemoglobinuria (PNH)
  • Pure Red Cell Aplasia
  • Agranulocytosis
  • Amegakaryocytic Thrombocytopenic Purpura

Bone Marrow in Systemic Disease

  • Hematogone hyperplasia
  • Promyelocyte hyperplasia

Bone marrow basics

 

"Liquid" organ without evaluable gross anatomy [1]

- dynamic relationship with lymphoid organs and PB

- different methods of morphologic evaluation

-- trephine biopsy and aspirate smears

- diagnosis often requires ancillary studies

 

BM evaluation requires cytology, histology, IHC, Flow cytometry, genetics (cytogenetics, FISH,, molecular) clinical information

 

BM function: site of production of hematopoietic cells

-- Myeloid cells: RBCs, platelets, neuts, eos, basos, monos, dendritic cells, mast cells

--- Lymphoid cells: T-, B- and NK

 

BM structure

- hematopoietic marrow

-- semi-solid organ in intertrabecular spaces of axial skeletal bones

-- non-hematopoietic marrow: fat,

- potential hematopoietic organs: spleen > liver ? LNs > soft tissue and other sites

 

Components of hematopoietic BM

- hematopoietic elements: stem cells, maturing myeloid, erythroid, megakaryocytic, and lymphoid elements

- stromal cells: fat cells, fibroblast-like, dendritic, macrophage

- vascular sinuses

 

Components of complete marrow evaluation:

- BMBx

- BM aspirate (clot prepared from BM aspirate)

- PBS

- Clinical info

- Ancillary studies

 

Clinical info is essential

- age and gender

- CBC and differential

- medication hx

- previous diagnoses

- lymphadenopathy and splenomegaly

- serology

- infections, esp HIV and hepatitis

- anemia-related studies (iron status, B12, folate)

 

BM aspirate

- aspirated liquid containing tiny fragments of fractured trabecular bone and fat particles (spicules)

- used to make air-dried smears

- Wright-Giemsa, iron stain, FISH and NGS

 

Dry tap scenario

- no or poor aspirate obtained either due to BM fibrosis, packed marrow, or poor technique

- touch imprint preps of fresh marrow core (WG-stain and FISH)

- BM core can be pureed or teased apart with needle to release single cells (cytogenetics or flow cytometry)

 

How to approach aspirate smears

- review and count in excellent areas of smears

- obtain count from several different areas/slides

- routine cases: 200 cell counts

- 500 cell counts in Any MDS, borderline AML, borderline Myeloma

 

Bone marrow biopsy technical aspects

- should be taken perpendicular from cortical bone surface

- formalin-based fixation: heavy metals improve nuclear features (B5, B+, Bouins AZF)

- decalcification:

- strong acids

- buffered acids

- EDTA

- paraffin embedding

- thin sections (2 um)

 

Marrow composition

- cellular elements (~50% of space)

-- hematopoietic cells at carious stages of maturation admixed with storomal cells

- adipocytes (~50% of space)

 

Cellularity (%) = (Area with cellular elements) / (Areas of cellular elements + adipocytes)

- avoid subcortical fatty marrow, crushed or hemorrhagic areas, vascular spaces, empty spaces (air bubbles)

 

Thought experiment [1]: Marrow cellularity and differential diagnosis

- Hypercellular + high blood counts

--- leukemic hematologic neoplasm

--- appropriate marrow reaction (eg infection)

 

Hypocellular + low blood counts

--- BM failure (eg aplastic anemia)

--- exogenous marrow suppression

 

Hypercellular + low blood counts

--- ineffective hematopoiesis

--- PB cell destruction

 

Hypocellular + normal counts

--- sampling artifact

 

 

 

Medium-power (20x) architecture: marrow microarchitecture

- erythroid and myeloid form clusters

- M:E ratio = 2:1 - 4:1

- immature myeloid elements adjacent to bone trabeculae, granulocytes away from bone

- megakaryocytes do not cluster

 

40x evaluation: detailed morphology

- meg number and morphology (normally 2-4 per 40x field)

- myeloid maturation (nuclear segmentation, abundant pink cytoplasm)

- erythroid maturation

 

Bone marrow stroma

Fibroblasts/reticular cells

Mesenchymal stromal cells (MSCs) - a part of the hematopoietic stem cell niche

-Support self-renewing proliferation of CD34 positive hematopoetic progenitors - hematopoietic stem cell "niche" component

 

Bone marrow collagens Reticulin fibrosis – type 3 (branching) collagen, reticulin stain,

- Internal control: perivascular Collagen fibrosis

- type 1 (nonbranching) collagen, trichrome stain

- internal positive control: osteoid seam

sites of hematopoiesis [1]

Normal trabecular bone

Type 1 collagen fibrosis

Normal aspirate counts

BM cellularity and age

Megs should normally have 2-4 nuclear lobes, although ok to have a few strange ones

IHC BM [2]

Bone Marrow Failure Syndromes

Aplastic Anemia

 

1-2 new cases / year / 1 million people (rare)

No gender or race differences in the USA

Marked geographic variability

>1 case in a family rare

Presentation related to pancytopenia:

- bleeding (thrombocytopenia)

- fatigue, other nonspecific symptoms (anemia)

- infection uncommon at presentation

- bimodal age distribution, one peak in the 20s, and one in the 60s (usually due to MDS)

 

Divided into:

1. Idiopathic aplastic anemia

- accounts for 70-80% of AA

- decreased numbers of stem cells

- impaired responsiveness to growth factors

- in most cases, damage is immune-mediated

 

2. Secondary aplastic anemia

- Radiation, Drugs and chemicals (cytotoxic agents, benzene), idiosyncratic reactions (chloramphenicol, NSAIDS, antiepileptics, gold, others), Viruses (EBV, hepatitis [non A through G], Parvovirus [rare], HIV [rare]), immuno diseases (eosinophilic fasciitis, hypogammaglobulinemia, thymic neoplasia), pregnancy

 

Micro:

- PB findings: pancytopenia with normal RBC morphology, macrocytosis may be present, reticulocyte index is low

- BM findings: hypocellular bone marrow, dyspoiesis, if any, is only erythroid (dysplastic neutrophils or megakaryocytes strongly suggests hypocellular MDS rather than AA)

 

Clonal abnormalities in AA

- clonal cytogenetic abnormalities in 12% of cases

- usually small, may be transient

- monosomy 7 has higher risk of morphologic MDS or AML

 

Using NGS panels, mutations indicating clonal hematopoiesis reported in 70-85% of AA

- in adults, approaches 100% with WES (whole exome sequencing) or WGS (whole genome seq)

 

Grading [3]:

Severe AA

- marrow cellularity < 30%

- At least two of:

-- ANC <500/mm3

-- Platelets <20,000/mm3

-- Reticulocytes <1% (<40,000/mm3)

-- No other hematologic disease

 

Moderate AA

- Pancytopenia

- Do not fulfill severe criteria

 

DDx:

- inherited pancytopenia syndromes (FA, DKC, esp in younger pts)

- hypoplastic MDS / AML (beware of dysplastic changes, carefully correlated with cytogenetics and FISH) - blast count is critical!!!

- lymphoma (consider doing IHC or flow (esp HCL)

 

Tx:

Bone marrow Transplantation

- immunosuppression - ATG, CsA, steroids, other

- growth factors

 

Px: natural history: moderate disease may recover spontaneously, severe disease fatal in days to months

- recent 5-year survival: 75% with immnuosuppresion or immnuotherapy

 

Proportion of successfully treated pts will relapse

 

Long-term AA survivors at risk for PNH, MDS, and AML

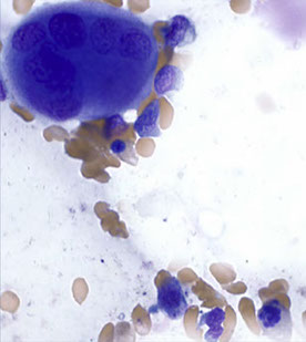
Aplastic anemia. Some eosinophilic stroma in background, very little hematopoiesis [3]

Mechanism of aplastic anemia. For some reason, some HSPCs are resistant to T-cell attack

MCC of impaired bone marrow production

Paroxysmal Nocturnal Hemoglobinuria (PNH)

 

First described in 1866, William Gull, in a patient with dark urine noted only in the morning

 

Acquired clonal hematopoietic disease

- characterized by a defect in GPI glycolipid anchor

- required for the localization of many proteins to the plasma membrane

 

Median age: 40 years, M:F 1:1, 1 in 100,000

 

Patients present with intravascular hemolytic anemia (anemia with normal RBC morphology, reticulocytes may be increased, decreased haptoglobin, hemoglobinuria)

- thrombosis (20% of cases in the US)

- Hepatic vein (Budd-Chiari, cerebral vein, abdominal vein)

- Bone marrow failure

 

PNH and AA

1/3 of PNH pts will present previously with diagnosis of AA

1/3 of PNH patients will eventually develop AA

1/3 remain hemolytic

 

Pathogenesis

Somatic mutations in PIG-A gene at Xp22.1

- enzyme required for synthesis of GPI moiety

- >100 mutations identified

- leads to absence of GPI anchored proteins

 

Normal: very small % of PIG-A mutated cells

PNH: selective expansion of PIG-A mutated clone

 

- Lack of CD55 and CD59 leads to lysis of RBCs and activation of platelets

- PNH type cells also show decreased colony formation in vitro

 

GPI- Anchored Proteins

Complement: DAF (CD55), MIRL (CD59), C8-binding protein


Immune-related: CD16 (FcgR IIIa), CD58 (LFA-3), CD14, CDw52 (Campth)

 

Enzymes: acetylcholinesterase, Leukocyte Alk Phos.

 

Receptors: Urokinase receptor, Folate receptor

 

Other: CD48, CD66

 

Labs: (was initially diagnosed only on clinical grounds)

- 1930s: Hemolysis, thrombosis or pancytopenia with positive Ham's test (enhanced lysis of RBCs in acidified serum)

- 1990's: Hemolysis,thrombosis, or pancytopenia with "PNH-type" cells detected by flow cytometry

 

Flow analysis: Looks for loss of GPI anchored proteins

- Guidelines: use >1 antibody

- examine both RBC and WBC (WBCs may be less prone to spontaneous lysis, which is helpful to monitor the proportion of abnormal cells)

- can use to monitor patient therapy

 

Micro:

BM: cellularity variable from markedly decreased (AA-PNH) to hypercellular

- Dyspoietic changes may be present

-- be careful!! Hypocellular MDS should be considered

 

Cytogenetics:

Typically normal, but abnormal cases described (possibly MDS?)

 

Tx:

Complex - varies c clinical presentation

Immunosuppression - May improve cytopenias – thrombosis management (much of the mortality is due to fatal clots)

-- New! Eculizumab (Solaris) is effective anti-C5 complement inhibitor (very expensive) - WORLDS MOST EXPENSIVE DRUG!!!

- Bone marrow transplant may be considered, usually only in severe cases

 

Px:

Median survival 10 to 15 years - With flow cytometry now diagnosed much earlier - Low risk of transformation to acute leukemia (less than 3%)

PNH - GPI anchors [3]

PNH Flow - gated on granulocytes, CD24 is GPI-anchored protein,  FLAER is Fluorescent Labeled Aerolysin, a fungal toxin that binds the GPI anchors, lower right shows small population of cells negative for FLAER and CD24 [3]

Pure Red Cell Aplasia

 

Rare, a few hundred cases reported More common in women Median age of onset 60 years

 

Defined as

(1) anemia

(2) reticulocytopenia

(3) absent erythroid precursors

-Neutrophils, platelets typically normal -Typically little to no dyspoiesis -Normal cytogenetics

__________________________________________

Differential diagnosis Self-limited -Transient aplastic crisis (parvovirus B19) - Transient erythroblastopenia of childhood

Hereditary red cell aaplasia

- Diamond-Blackfan syndrome

 

Associations Thymoma (classic association! Pure red cell aplasia goes away if excise thymoma)

Neoplasms (CLL, others)

Autoimmune disease

Viral (Pavo B19, hepatitis, HTLV, EBV)

Pregnancy

Drugs (antiepileptics, azathioprine, chloramphenicol, sulfonamides, isoniazid, procainamide, others) Idiosyncratic

 

Tx

Supportive (transfusions)

Immunosuppression (ATG, CsA, etc)

Treat underlying disorder (Thymoma, CLL, etc)

 

- >80% respond to therapy or resolve spontaenously

- low risk of transformation to acute leukemia

Agranulocytosis

Peripheral blood: absence of neutrophils and precursors, usually no monocytes, no or mild anemia, no thrombocytopenia

Bone marrow: absence of granulocytic precursors

 

Many drugs implicated, direct toxicity, immune mediated (like haptens)

Antineutrophil antibodies often present

- nonspecific, also present in vasculitis, autoimmune disease, chronic autoimmune neutropenia

Cytotoxic T cells response may also be present

May truly be autoimmune in absence of prior drug --> "Pure White Cell aplasia"

 

Px: Untreated, mortality greater than 90% Therapy: withdrawal of drug, growth factor therapy

Amegakaryocytic thrombocytopenic Purpura

Thrombocytopenia secondary to absence of megakaryocytes in the marrow

Very rare end case reports, few small series - Drug-related or autoimmune - Treated with immunosuppression

Fanconi anemia 1927 - Falconi reports three brothers with fatal aplastic anemia and congenital abnormalities

- pancytopenia, hyperpigmentation, skeletal defects, small stature, hypogonadism

 

Hematologic findings Essentially all patients will develop hematologic abnormalities - At birth, but may be normal, or show only macrocytosis - Pancytopenia develops usually between 5 to 10 years (median age 7) - May be present in adults -as late as 56 years!

 

Lab tests: Defined by sensitivity of chromosomes to certain damaging agents Diagnosis established by: diepoxybutane (DEB), mitomycin C (MMC)

 

Micro: Hypocellular marrow, resembling AA - May show display dyspoietic changes - Small, often transient clonal side of genetic abnormalities recorded - May present with MDS or AML

 

Genetics: Very heterogeneous - 21 genes identified to date - Almost always autosomal dominant - rare XLR cases (2%)

- BRCA2 is one of the genes implicated in Fanconi anemia (aka FANCD1)

 

PX: Increased cancer risk, at risk for development of MDS, AML (52% by 40 years) - Risk greater than 5000 times over general population - Increased risk for a solid malignancies (squamous cell carcinoma, hepatic tumors)

 

Median cancer free survival: 29 years - Bone marrow transplant is curative for hematologic abnormalities, but increased cancer risk remains - Growth factor, androgen therapy

Table of defects in Fanconi anemia, 1/3 with no  abnormalities!!! [3]

Fanconi anemia. Chromosomal abnormalities caused by dieproxy butane (DEB) or Mitomycin c (MMC) [3]

Genes in Fanconi anemia [3]

Mechanism of Fanconi anemia

Bone Marrow in Systemic Disease

Hematogone hyperplasia

 

Seen post chemotherapy, post stem cell transplant, immune thrombocytopenic Purpera, Copper deficiency, viral infections, metastatic malignancy

 

Flow immunophenotype: Dim variable city 45 Very low to low side scatter CD10+, CD19 +

- Partial dim CD20 - Partial CD34 and TdT

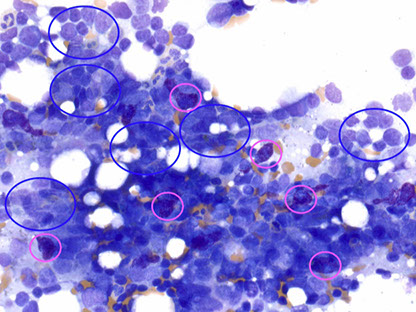
Hematogone hyperplasia - blue circles: hematogones; pink circles - mast cells [4]

Hematogones in different stages of maturation

Hematogone stages table [4]

Hematogone hyperplasia flow

Promyelocyte hyperplasia Response to exogenous and indigenous GCSF Danger of misdiagnosis of AML

Promyelocyte Bulge - Sepsis or posty G-CSF - Versus APL: usually some maturation,lack of folded / bilobed nuclei

--- peripheral blood: toxic granulation,Dohle bodies

Promyelocyte hyperplasia [4]

Megakaryocyte Hyperplasia

 

In setting of increased megakaryocyte destruction or turnover (ITP or post chemotherapy) - May show mild clustering


Meg hyperplasia [4]

Plasma cell hyperplasia

 

Reactive plasmacytosis can significantly exceed 10% Morphology can be mildly atypical (binucleation,enlargement) - Etiologies: infection,autoimmune,other

Plasma cell hyperplasia [4]

MonoMAC Syndrome

 

Rare autosomal dominant syndrome associated with monocytopenia, B and NK cell lymphopenia, mycobacterial (Mycobacterium avium complex MAC), viral (HPV warts), and bacterial opportunistic infections, and the virus infection-induced cancers

- pulmonary alveolar proteinosis

- Progression to MDS/AML

 

Micro: PB: anemia, monocytopenia, mild large granular lymphocytosis

- BM: patchy hypocellularity, trilineage hematopoiesis, mild dysgranulopoiesis, monocytopenia, focal caseating granuloma

 

Genetics: inactivating mutations in one of the two parental GATA2 genes is responsible

-12 distinct mutations in GATA2 gene have been identified

- GATA to deficiency syndrome autosomal dominant, variably penetrate MonoMAC syndrome, Emberger syndrome, familial AML/MDS, dendritic cells, monocyte, B (+ hematogone), and NK cell deficiency


Treatment: bone marrow transplant's are currently the only treatment

Causes of Non-malignant dyspoiesis

 

Avoid MDS diagnosis if potential secondary cause

 

-- Beware of making the diagnosis in young patients!!!!!!!! Vitamin/micro nutrient deficiencies: copper (ring sideroblasts, vacuoles), Zinc excess (ring sideroblasts), vit B12/folate dificiency Infections: HIV (multilineage dyspoiesis)

Toxins/drugs: EtOH (acanthocytosis, ring sideroblasts), MMF (pelgeroid neutrophils), recent (<6 mo) chemotherapy or radiation therapy (INH--> ring sideroblasts), arsenic/heavy metal toxin

Autoimmune/rheumatologic Congenital: dyserythropoiesis due to increased RBC fragility, baseline dyspoiesis and bone marrow failure syndromes, X-linked sideroblastic anemia, Pearson marrow-pancreas syndrome)

Neoplasms: involving marrow (esp myeloma, LGL, HCL)

post-chemo dyspoiesis

HIV-AIDS-related dyspoiesis [4]

Post chemotherapy bone marrow Week one: complete application - Mixed hematopoiesis absent

- proteinaceous fluid, not fat

- fibrinoid necrosis

- prominence of residual stromal cells, histiocytes, lymphocytes, plasma cells, mast cells


Week2+:early regeneration -  islands of erythroids, mild dyserythropoiesis

- left-shifted myeloids

- megakaryocytes clustered, hypolobated - increased hematogones

- mild reticulin fibrosis

Week 1 Post chemo [4]

Week 2 post-chemo

Coagulative marrow necrosis

-fever, bone pain, cytopenias, leukoerythroblastic reaction -marrow plus/minus trabecular bone -May fibrose with resolution Aspirate: granular basophilic background, loss of cell detail Core: eosinophilic granular material, loss of cellular detail

 

Differential diagnosis of coagulative marrow necrosis Neoplastic: ALL most common, other leukemia's, lymphomas, carcinoma, neuroblastoma Non--neoplastic: sickle cell anemia (acute chest syndrome), infection, vascular obstruction (DIC, infarct), anti-phospholipid syndrome, acute GVHD following BMT

Coagulative necrosis [4]

Copagulative necrosis

Serous Atrophy

 

"Gelatinous transformation"

- response to severe malnutrition/cachexia

- hypocellular marrow with loss of hematopoietic cells

- homogenous eosinophilic material surrounds, replaces fat cells

serous atrophy H&E

Amyloidosis

 

Esprit: pink to purple masses of homogenous material Core biopsy: waxy homogenous eosinophilic material

Amyloid

Hemophagocytosis

 

May be seen an infection Nucleated-cell hemophagocytosis is more specific for HLH than red cell hemophagocytosis

Hemophagocytosis in HIV infx [4]

Granulomas

 

Histiocyte inclusions: non-specific findings that can be seen in storage disorders - Gaucher disease: wrinkled silk inclusions, similar cells seen in setting of increased turnover such as CML - Niemann Pick: lipid inclusions, seen in other storage disorders, hyper lipidemia; do not confuse with lipid granulomas

 

Poorly formed granulomas and seen in immunosuppressed host, fungi, atypical mycobacterium, malignancy, storage disorders

well formed necrotizing granuloma - infx (esp TB, histoplasma)

lipogranuloma

Niemann-Pick inclusions

Granuloma-aspirate, Sarcoid or drug (amiodarone)

well formed granuloma

Osteitis fibrosa cystica due to ESRD/dialysis-related secondary hyperparathyroidism

 

Micro: complex trabecular architecture of variable width -replacement of hematopoietic space by fibrosis -deep invaginations of trabeculae lined with osteoclasts -visible unmineralized osteoid seam

 

 

DDX:

- radiologic – metastatic disease, plasma cell myeloma – clinical: primary hyperparathyroidism, renal failure/secondary hyper PTH Histologic: Paget's disease of bone, primary myelofibrosis with osteosclerosis

osteitis fibrosa cystica, circled area and arrow with increased osteoclastic activity [4]

Cystinosis leading to ESRF and renal osteodystrophy

 

 

References

 

1. Hasserjian R. Introduction to Bone Marrow Interpretation. https://www.society-for-hematopathology.org/web/education-virtual-curriculum-view.php?video_id=417647306

 

2.  Weinberg O. AML https://www.society-for-hematopathology.org/web/education-virtual-curriculum-view.php?video_id=417689596

 

3. Cook J. Bone marrow failure syndromes. https://www.society-for-hematopathology.org/web/education-virtual-curriculum-view.php?video_id=417377173

 

4. Gratzinger D. Bone Marrow Manifestations of Systemic Disease. https://www.society-for-hematopathology.org/web/education-virtual-curriculum-view.php?video_id=417210349

 

5.