Blood Vessels

Vascular Pathology

Emboli

Deep Vein Thrombosis (DVT)

Hypertension-induced changes

Varicose Veins

Aortic dissection

Aneurysm of AV fistula

Antiphospholipid syndrome

 

Large vessels

Temporal (giant cell) aortitis / arteritis

Takayasu's arteritis

 

Medium Vessels

Kawasaki disease

PAN

Thrombangitis obliterans (Buerger's disease)

 

Small vessels

Henoch-Schonlein purpura

Cryglobulinemia

Lupus vasculopathy

Goodpasture

ANCA vasculitides

  • Granulomatosis with polyangiitis (Wegener's granulomatosis)
  • Eosinophilic granulomatosis with polyangiitis (Churg-Strauss syndrome)
  • Microscopic polyangiitis

 

Hypocomplementemic Urticarial Vasculitis

Sturge-Weber disease

Hypersensitivity vasculitis

Raynaud's disease

Telangiectasia

Segmental mediolytic arteriopathy

Hemangiomas

  • Infantile Hemangioma
  • Cherry angioma
  • Cavernous hemangioma
  • Epithelioid hemangioma
  • Microvenular hemangioma
  • Spingle cell hemangioma

Pyogenic granuloma

Lymphatic Malformations

Hemangioendothelioma

Epithelioid / histiocytic hemangiogenothelioma

Kaposiform Hemangioendothelioma

Epithelioid Sarcoma-like Hemangioendothelioma

Glomus tumor

Perivascular Epithelioid Tumor (PEComa)

Bacillary angiomatosis - Infectious Dermatopathology

Angiokeratoma

Atypical Vascular Lesion (AVL)

Angiosarcoma

Kaposi sarcoma

Lymphangiosarcoma

Venous lake

Emboli

 

Fat, Air, Thrombus, Bacteria, Amniotic fluid, Tumor

 

*** FAT BAT ***

 

- Fat emboli assoc w long bone fx and liposuction

 

- Amniotic fluid emboli may lead to DIC, esp postpartum

 

- Pulmonary Embolus: chest pain, tachypnea, dyspnea

 

~ approx 95% of pulmonary emboli arise from deep leg veins

 

Vasoconstrictors (ie serotonin) released from platelets --> inc PVR --> V/Q mismatch at areas other than the site of the embolus

 

Dx: Angiography most accurate, but have a 0.5% mortality rate; therefore CT angiogram (spiral CT) is standard of care

 

- if CT completely normal, V/Q scan may be able to exclude clot (like D-Dimer in DVT)

 

May see lines of Zahn microscopically

 

inc A-a gradient: Ventilation > blood flow --> inc anatomic dead space

 

- air doesnt participate in gas exchange --> inc physiologic dead space

 

Tx for acute hemodynamic instability or saddle embolus: Thrombolysis w interventional radiology

Deep Vein Thrombosis (DVT)

 

Virchow's triad: 1) Hypercoagulability 2) Stasis 3) Endothelial damage

 

- inc perfusion at base of lungs --> inc % PE goes to base --> infarction more likely at bases

 

~ wedge-shaped area of infarct at pleural surface

 

Hx/PE : SOB + tachypnea --> Resp alkalosis and hypoxemia; pleuritic friction rub

 

- Homans' sign: pain w dorsiflexion of foot and tender calf muscle

 

Dx: Spiral CT is definitive; D-Dimer can r/o PE; may see Hampton's hump or Westermark's sign (spreading oligemia) on CXR

 

Tx: prevent with heparin and coumadin, min of 6 mo

 

- give IVC filter for someone not eligible for anticoag

 

Hypertension-induced changes

 

Caused by HTN :)

 

Micro: medial sm muscle hypertrophy --> intimal fibroelastosis

- sm muscle layer atrophies when elastosis becomes too profound

 

Plasma protein constituents (C3b) get deposited in the arteriolar wall, which gets damaged

 

Varicose veins

 

Dilated, tortuous superficial veins 2/2 chronically inc venous pressure

- may lead to varicose ulcers and poor wound healing

-- embolism formation is rare

 

Aortic Dissection

 

MC risk factor is HTN

- may be assoc c trauma, surgery, or inherited CT dz

- atherosclerosis and diabetes are also risk factors, but not as much as HTN

 

Aneurysm of AV fistula

 

An abnormal communication bwt artery and vein

 

Etiology: trauma, inc venous pressure

 

Complications: high output cardiac failure, rupture, bleeding, tamponade

 

Antiphospholipid (APL) Syndrome (APS)

 

B2-glycoprotein 1 and phospholipid abs complexes on platelets and endothelial cells circulate and cause hypercoagulable state leading to arterial and venous thrombus formation

 

- may be secondary to SLE; termed primary if not

 

Sx: repeated miscarriages, recurrent thrombi formation, PE / pulmonary HTN, TBCpenia, stroke, bowel infarctions, renal failure, cardiac valve vegetations

 

- catastrophic APS: <1% have systemic thrombus formation c high mortality

 

- miscarriages caused by ab's against trophoblasts, not by thrombus formation

 

Dx:

- gives false (+) in syphilis test!!

 

Micro: different-aged fibrin thrombi c signs of recanalization

- no significant inflam component

 

 

Vasculitides

 

Large vessels

 

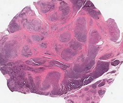
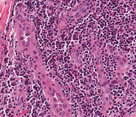
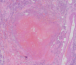
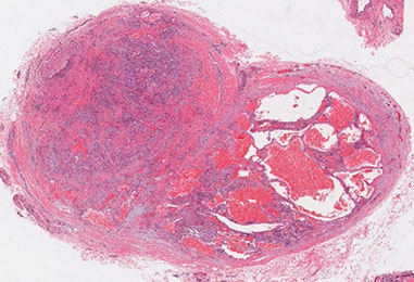
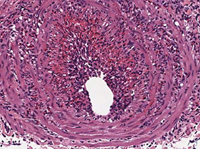
Temporal (Giant cell) aortitis/arteritis

 

MC vasculitis in large (and medium-sized) arteries

- usually affects branches of the carotid artery (ie temporal a.) in elderly females

- affects large and medium sized branches of the aorta c predilection for the extracranial branches of the carotid artery

- giant cell arteritis may be primary in breast (GCAB), where it can mimic ca or autoimmune dz (polymyalgia rheumatica)

- vasculitis is considered by some to be a paraneoplastic syndrome

 

Sx: unilateral headache, jaw claudication, impaired vision (may cause irreversible blindness if ophthalmic a. occluded), polymyalgia rheumatica

- note that sx all occur around the temporal artery…

- can also get aortic aneurysms

 

Labs: inc ESR, 50% have systemic sx and polymyalgia rheumatica

- no specific serologic markers

 

Micro: Fragmented elastic fibers, giant cell / granulomatous (macros and lymphos) response and intimal thickening which reduces lumen

- giant cells not required for temporal arteritis (in ~75%), only destruction of internal elastica with inflammation

 

-false negatives due to focal distribution and steroid tx before biopsy (3-5 cm); polymyalgia rheumatica (muscle pain)

 

Dx: Temporal a. bx

 

Tx: high-dose steroids (do not wait for bx results to tx - Emergency!!)

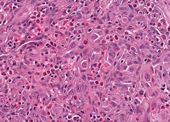
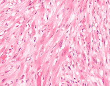
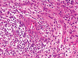
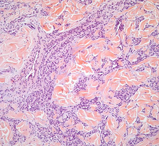
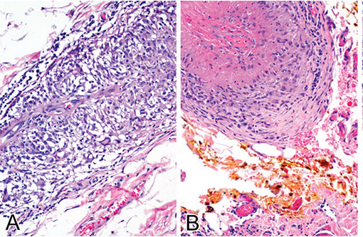
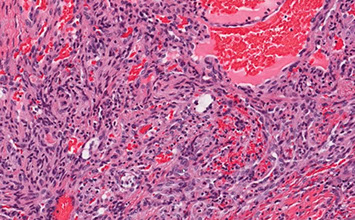
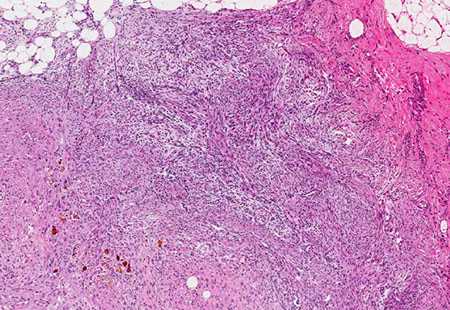
Giant cell arteritis of the breast. The vessel wall has been replaced by granulomatous inflammation. The process has compressed the vessel lumen to near-complete obstruction. A giant cell is shown in this field. B, Giant cell arteritis of the breast. Granulomatous inflammation and fibrinoid necrosis are shown within the wall of this vessel. C, Giant cell arteritis of the breast. The special elastin stain highlights the fragmentation of the internal elastic

lamina in this vessel (hematoxylin-eosin, original magnifications320 [A and B]; original magnification320 [C]).

Takayasu arteritis

 

- aka "pulseless disease" - look for young (<40 yo) Asian girls c weak pulses

- MC in Japan, China, and India c areas of high prevalence in Mexico

 

Sx: Weak pulses esp in upper extremities (makes the UE cold), ocular problems, skin nodules

- blood pressure difference bwt extremities

 

Dx: angiography

 

Labs: inc ESR; no specific serologic markers

 

Micro: granulomatous thickening of aortic arch and/or great vessel prominence

- mononuclear inflam c giant cells (similar to giant cell arteritis, the distinction is primarily based on age differences)

 

Medium vessels

Kawasaki disease

 

aka mucocutaneous lymph node syndrome

 

Acute, self-limiting necrotizing vasculitis in male infants / kids assoc c Asian ethnicity

- fever of unknown origin that lasts at least 5 days

- bilateral, nonpurulent conjunctivitis

- cracking of lips and strawberry tongue

- skin pealing and erythema on fingertips and palms/soles

- cervical lymphadenopathy

 

***CRASH and Burn! *** --> Conjunctivitis, Rash, Adenopathy, Strawberry tongue, Hand and foot edema, fever >5 days ***

 

*** STEAM*** --> Sterile pyuria, Thrombocytosis, inc ESR/CRP, Aseptic Meningitis

 

Complications: may develop coronary a. aneurysms

 

Tx: IVIG and high-dose aspirin

 

Cogan Syndrome

 

Vasculitis with keratitis and vestibulo-auditory symptoms

- no assoc serologic markers

Bechet disease

 

Oral ulcers, genital ulcers, uveitis; pathergy test positive

- incidence highest in Middle East, Far East and Mediterranean

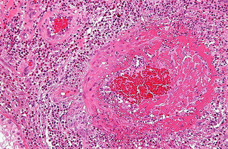
PolyArteritis Nodosa (PAN)

 

Immune complex-mediated transmural vasculitis c fibrinoid necrosis of small and medium muscular arteries

- not present in arterioles, capillaries or venules

- lungs are spared

 

Sx: abd pain, myalgia, HTN, neurologic dysfunction, cutaneous eruptions

 

- involves renal vessels, nerves (monomeuritis multiplex), skin and visceral (kidneys, mesentery) vessels, though not pulmonary arteries (lungs are spared)

*** PAN = Pulmonary Arteries Normal ***

- lesions are different ages

 

Micro: bx shows segmental fibrinoid necrosis of inflamed arterial walls, c a predilection for branch points

- characteristic feature is segmental nature of involvement, c active and healing lesions next to normal segments of bv's

 

Labs: 30% have hep B seropositivity

- multiple aneurysms and constrictions on arteriogram

- No assoc c ANCAs

 

Tx: corticosteroids, cyclophosphamide

- same tx as Wegener's; cures 90%; fatal if untx'd

Polyarteritis Nodosa

Thrombangitis obliterans (Buergers dz)

 

Look for young (25-40 yo) heavy smokers that get gangrene and auto-amputation of digits, hands, etc

 

Sx: cold sensitivity (Raynaud's phenomenon), pain inaffected part, intermittent claudication (color changes) superficial nodular phlebitis

 

Imaging: no atherosclerosis, no source of thrombi

 

Micro: vasoocclusive inflammatory thrombus that lacks fibrinoid necrosis and doesn't involve vessel wall c intact internal elastic lamina

 

Labs: no specific serologic markers

 

Tx: smoking cessation (easier said than done)

Small vessels

Henoch-Schonlein purpura

 

In 50% of cases, pt is 2-11 yo c recent hx of URI (viral or GAS)

- MC childhood systemic vasculitis

 

Triad:

1) Palpable purpura: Skin rash on butt and legs

2) Arthralgia

3) Intestinal hemorrhage (abdominal pain)

 

Mech: Caused by IgA immune complex deposition

- mesangial IgA deposition can be visualized in renal dz

-- can have ARF if severe, mild HTN and nephritic syndrome more common c slightly inc Cr

- multiple lesions of the same age

 

Skin shows leukoclastocytic vasculitis

 

Labs: it is completely worthless to get serum IgA levels

 

Tx: Roids for severe pain or progressive renal failure (which is irreversible)

Lupus vasculopathy

- aka noninflammatory necrotizing vasculopathy

Cryoglobulinemia

 

Labs: hypocomplementemia, (+) Rheumatoid factor but negative ANA

- also cryoglobulins +

 

Plugged vessel diff: DIC, purpura fulminans

Goodpasture syndrome

Abs against a3 chain (NC1 domain) of type IV collagen causing lung and kidney damage

- aka anti-GBM disease if only damage to kidneys and not lungs

 

Affects smokers in 2nd/3rd decades

 

Sx: Hemoptysis and hematuria

- MCC death: uremia

 

Abs cause immune rxn that causes RPGN and necrotizing hemorrhagic interstitial pneumonitis

- assoc c HLA-DRB1*1501/1502

- normal ab's are damaged, which exposes an internal epitope that binds the a3 BM receptor

 

Micro: focal alveolar necrosis c intraalveolar macrophages and hemorrhage

- linear Ig deposits on BM (Not necessarily diagnostic; can be seen in diabetic glomerulosclerosis or fibrillary glomerulopathy)

 

Kidneys have focal proliferative GN or crescent-shaped growths that fill Bowman's space in RPGN; also see linear Ig on the GBM

- ruptures of Bowman's space can be seen c silver, trichrome or PAS

 

Lab: anti-GBM

 

Tx: Plasmapheresis (remove the insulting ab's), immunosuppression

ANCA vasculitides

- antibodies against enzymes in the cytoplasm of neutrophils (can directly degranulate / activate neutrophils)

-- hence Anti-Neutrophil Cystoplasmic Antibodies (ANCA)

- titer levels usually mimic dz severity

 

MCC pulomary-renal syndrome (>50%)

 

Anti-proteinase-3 (PR3-ANCA; formerly cANCA) - cytoplasmic staining of neutrophilic granules

- induced by infx

Anti-myeloperoxidase (MPO-ANCA; formerly pANCA) - perinuclear staining, alternative myeloperoxidase

- induced by rx (PTU)

- assoc c Churg-Strauss and microscopic polyangiitis

 

Abs are directed against cells and do not form immune complexes

- "pauci-immune" bc no ICs to stain in vascular cells

 

3 flavors:

1) Granulomatosis c polyangiitis (Wegener granulomatosis)

2) Eosinophilic granulomatosis c polyangiitis (Churg-Strauss syndrome)

3) Microscopic polyangiitis

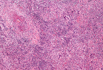
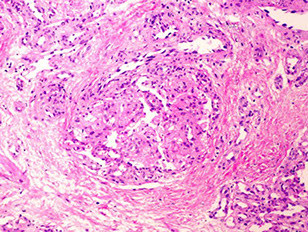
Geographic necrosis in Wegener's

Granulomatosis with polyangiitis (GPA)

- formely (Wegener's granulomatosis)

 

Triad of upper respiratory tract, lung, kidney

- focal necrotizing vasculitis, necrotizing granulomas in the lung and upper airway, necrotizing glomerulonephritis

 

Sx: hemoptysis, nasal septum perforation, chronic sinusitis

 

*** the C's: Cavitary lesions, Crescentic GN, C-nose, C-anca, Cyclophosphamide, Corticosteroids ***

 

Micro: Fibrinoid necrosis c early neutrophils followed by macros and granuloma c giant cells

- see focal segmental necrotizing glomerulonephritis, pauci-immune type, in kidneys

- palisading necrotizing granuloma with neutrophils (stellate abscesses)

- epidermis necrotic or ulcerated

- necrosis is blue bc comes from neutrophilic microabscesses

 

Triad: 1) mixed inflam c GCs; 2) geographic necrosis, 3) vasculitis

 

Labs: (+) Anti-proteinase 3 (PR3-ANCA) by ELISA [formerly C-ANCA]

*** 3 = W ***

cANCA (+) in >90% of cases [5-20% pANCA (+)]

 

- Confirm Wegener's c ELISA for anti-proteinase 3 !!!

- urinalysis: hematuria and red cell casts

 

Imaging: large nodular densities

 

Tx: Cyclophosphamide, Corticosteroids

Eosinophilic granulomatosis with polyangiitis (EGPA)

- formerly Churg Strauss

 

- Look for vasculitis in a young asthmatic !!!

- used to be considered a variant of polyarteritis nodosa, distinguished by presence of granulomas and abundance of eosinophils

 

Dx criteria:

 

1) Asthma

2) Eosinophilia

3) Mono- / polyarthropathy

4) Migratory lung infiltrates on xray

5) Paranasal sinusitis

6) extravascular eosinophilic accumulation

 

Micro: neutrophilic LCV c palisading granulomas

 

Lab: (+) p-ANCA (anti MPO)

 

Complications: pts can die from coronary arteritis or myocarditis

- neurologic involvement can be debilitating

EGPA

Microscopic polyangiitis (MPA)

 

- similar to Wegener's, but without the granulomas; lesions are of the same age (like HS purpura)

- involves lungs and kidneys and other organs, tending to affect small arterioles and venules

 

Sx:

1) Constitutional sx

2) inflamed kidneys

3) skin lesions (palpable purpura)

4) Peripheral nerve damage

5) lung involvement (alveolar hemorrhage from pulmonary capillitis)

 

Lab: (+) pANCA (aka anti MPO; similar to Churg-Strauss)

 

Micro: alveolar hemorrhage, hemosiderin-laden macrophages in alveolar spaces, and neutrophilic capillaritis

MPA

Hypocomplementemic Urticarial Vasculitis

 

Mech: classic complement pathway activated resulting in reduced levels

 

Sx: Urticaria for 6+ mos, low complement levels, other systemic sx (arthralgia, glumerulonephritis [hematuria / proteinuria], obstructive pulmonary disease, GI pain)

 

- leukocytoclasis: fragmentation of leukocytes c nuclear debris and fibrioid deposits

 

IF shows Ig, complement, and fibrin deposits around blood vessels

 

Sturge-Weber disease

*** like a Surge of destruction through cn V1 and V2 [Weber = 2 V's] ***

 

Affects capillary-sized vessels

 

Sx: Port-wine stain (nevus flammus) on face, ipsilateral leptomeningeal angiomatosis (intracerebral AVM), seizures, early onset glaucoma, mental retardation, hemiplegia

 

Hypersensitivity vasculitis

 

Small vessel vasculidities that can manifest as rash, purpura, or have visceral involvement

- lesions of same age

- immune-complex mediated vasculidities: exogenous Ag's like drugs, food, infx

 

Can be part of systemic CT dz or 2/2 malignancy

 

Schwartzman rxn: vasculitis from 2nd exposure to endotoxin causing glomerular thrombosis

Raynaud's disease

 

Discoloration in distal extremities (fingers / toes) due to vasospasm in small vessels causing a dec blood flow from stress (emotional, or cold temp)

 

- if caused by a Mixed Connective Tissue Disease, called Raynaud's phenomenon

 

*** Raynaud's FAMomenon ***

Fatigue

Arthralgias

Myalgias

 

Tx: ASA, dihydropyradine, calcium channel blockers, sildenafil

Telangiectasia

 

Small vessel AVM causing dilated vessels on skin and mucous membranes

 

Hereditary hemorrhagic telangiectasias (Osler-Weber-Rendu syndrome)

AD inheritance of epistaxis, skin discolorations, GI bleeds, and mucosal telangiectasias

Segmental mediolytic arteriopathy

- aka segmental arterial mediolysis

 

Rare idiopathic nonatherosclerotic, nonvasculitic arteriopathy with degeneration of the tunica media

Spider telangiectasia (nevus araneus)

 

SubQ radial array of dilated (ectatic) small vessels emanating from central core that blanches when pressure applied

- assoc c inc E

Simple Lymphangioma

aka Capillary lymphangioma

 

Smallish (1-2 cm) non pigmented raised lesion in head, neck or axilla

- made of small capillary-like vessels (can only tell the vessels are lymphatics by their lack of RBCs, if RBCs present then it is a hemangioma)

Basic Classification of Vascular Tumors of Skin:

Benign:

- Hemangiomas

- Vascular malformations

 

Intermediate behavior:

- hemangioendotheliomas

 

Malignant

- Kaposi sarcoma

- Angiosarcoma

Hemangiomas

 

Infantile hemangioma

- aka cellular hemangioma of infancy, strawberry hemangioma, or (generally for hemangiomas) lobular capillary hemangioma

 

Elevated red lesions visible soon after birth which usually are gone by age 6 (are not same thing as port-wine stains); in ~1/20 births, 3F>1M

- usually on head and neck but can be in liver, other places

- MC ST tumor of infancy and childhood

- Hemangiomas typically made of capillary vessels in lobules, c a feeder vessel

- early on can look like birthmark and is flat red lesion that intensifies in color when baby cries

- 7-9/10 gone by age 7 years

 

Micro: multinodular masses c single normal arteriole, can have prominent draining vessels

- early lesions c plump endothelial cells and pericytes c clear cytoplasm that form small capillaries c small lumens

- as blood flow increases the cells become flatter and the lumens inc

 

IHC: (+) GLUT-1

- if GLUT-1 neg, may be of the Rapidly Involuting (RICH) or Non-Involuting (NICH) types

 

Genes: some may be familiar c 5q31-33

- small subset may be linked to PHACE syndrome (Posterior fossa brain malformation, Hemangioma, Arterial cerebrovascular abnormalities, Eye anomalies)

 

Tx: usually can be allowed to regress, but can consider surgery, roids, pulsed laser

 

Px: Hemangiomas virtually never undergo malig transformation, c exception of those that are irradiated

- do not met (if mets are seen, is a well-diff angiosarcoma)

 

 

 

 

 

 

Congenital nonprogressive hemangioma

 

Distinct from infantile hemangioma; presents at birth as a fully developed lesion; M=F; after birth lesion can remain static or rapidly involute

Cherry angioma

- aka senile angioma

 

Common; small red little mole c pale halo in old people that do not go away and in fact increase in number with age; usually on trunk and extremities

- may be assoc c infx or exposure to chemicals as have occurred in crops in nursing homes

 

Micro: lobules of capillaries lined c prominent endothelium

- dilate c age, causing elevation and mild atrophy of overlying skin

- can have a collarette like a pyogenic granuloma

 

Cavernous hemangioma

- aka cystic hygroma

 

Large (up to 15 cm) venous malformation in cavernous spaces of skin, mucosa, liver, pancreas, brain or spleen

- can involve fat and lymphatics too

- do not disappear c age

- common in Turner syndrome

 

Assoc c von-Hippel Lindau syndrome (RCC, hemagioblastomas, adenomas)

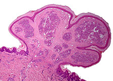
Epithelioid Hemangioma

- aka angiolymphoid hyperplasia with eosinophilia, or histiocytoid hemangioma

 

3 subtypes:

1. typical

2. cellular

3. angiolymphoid hyperplasia with eosinophilia (ALHE)

 

Clinically is a multinodular red / purple plaque

- often on temple (craniofacial region)

- may be secondary to trauma

- usually will see the damaged vessels in the specimen somewhere

 

Micro: multinodular / nodular, large component of round blue cells in background which are lymphs

- clustered vessels with plump eosinophilic endothelial cells

- also lots of eos inbackground

-- can be difficult to recognize vessel spaces on small bx

- endothelial cells hobnail into vessel lumen

 

Usually easy H&E dx, but can cause possible confusion with angiosarcoma if:

- small bx

- hypercellular or mitatically active

- minimal inflam or few / absent eosinophils

- non-classic clinical setting

- "penile-type" notoriously confused with angiosarcoma (cellular and atypical in appearance) - may result in terrible irreversible surgery - so should be extra cautious with penile lesions

 

IHC: (+) vascular markers, CD31, ERG, CD34 (to a lesser extent)

 

Gene: 1/3 with FOS gene abnormalities by FISH

- ALHE lacks FOS rearrangements suggesting different pathogenesis

 

Px: b9, no mets

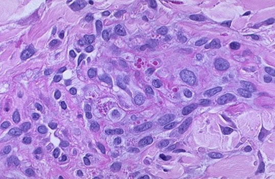
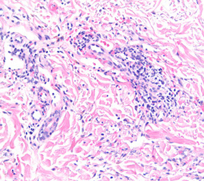
Epithelioid hemangioma

Can be difficult to see vascular spaces, causing concern of angiosarcoma

Epithelioid hemangioma of the penis. A, Sections show a multinodular lesion in the dermis. B, A high-power view demonstrates pleomorphic epithelioid cells with eosinophils. C, The lesional cells are focally positive for pancytokeratin (not shown), and they are diffusely immunoreactive for erythroblast transformation-specific transcription factor (ERG) (D), with a low Ki-67 proliferation index (,5%) and (not shown) retained nuclear integrase interactor 1 (INI1) (hematoxylin-eosin, original magnifications x20 [A] and x200 [B]; original magnification x40 [C and D]).

Glomeruloid Hemangioma

 

Rare cutaneous hemangioma assoc c POEMS syndrome (Polyneuropathy, Organomegaly, Endocrinopathy, M protein/Myeloma, Skin (hemangiomas) and Sclerotic bone lesions)

Golumeruloid hemangioma

Microvenular Hemangioma

 

Slit like vascular channels that can mimic Kaposi sarcoma

- infiltrative-looking lesion that has vascular spaces growing between colagen bundles

 

Mciro: vascular spaces that infiltrate bwt collagen and go into the deep dermis (looks like Kaposis bc of infiltration)

- spindle lesion with compressed vascular channels

- no atypia, very few mits, blood is usually confined to the vascular spaces

 

Tto distinguish from Kaposi sarcoma:

- channels intercalate bwt dermal collagen but do not dissect / encompass collagen bundles

- no infiltrative proliferation of spindled endothelial cells

- minimal atypia or mitotic activity

- minimal extravasation of RBCs

- minimal inflam (few plasma cells)

- clinical history and appearance also helpful

 

IHC:

- neg: HHV-8

 

Px: B9

 

 

 

 

 

Microvenular hemangioma

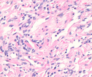
Spindle cell hemangioma

- formerly spindle cell hemangioendothelioma (but reclassified bc of its b9 nature)

- theory of why they are multifocal is bc they grow inside large BV

 

Assoc c Maffucci syndrome

 

Micro: has 2 zones - 1 zone that looks like a cavernous hemangioma (or a cavernous malformation) and another that is more cellular (similar to Kaposi sarcoma)

- tumor grows inside large blood vessels

- despite name, can have very epithelioid cells

- has complressed slit-like spaces

- unique finding is little groups of cells that look like compressed fat cells, which is actually a group of endothelial vacuoles

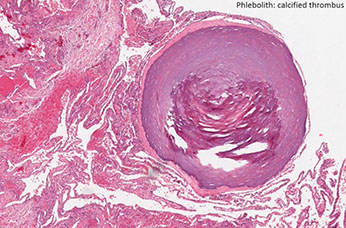
- phlebolith - calcified thrombus that can be seen on imaging

 

Genes: IDH1 mutation in many cases

- seen in both sporadic and Maffucci assoc

- evidence that this is a true neoplasm and not a malformation

 

IHC:

- neg: HHV-8

Spindle cell hemangioma

Epithelioid areas in a spindle cell hemangioma

Pyogenic granuloma

Pyogenic granuloma

aka lobular capillary hemangioma or granula gravidarum (pregnancy tumor; in 1% of pregnant women, regresses after delivery), or eruptive hemangioma

 

Mucosal or skin lesion that grows fast, exophytic red nodule attached by stalk to skin or gingival mucosa that bleeds easily and ulcerates

- 1/3 are due to trauma, can also be from irritation or homones

- often found in gums, skin, nasal septum, possibly the thigh

- may be painful

- can be assoc c Bortonella seropositivity

- often assoc c peripheral giant cell granuloma (PGCG) and peripheral ossifying fibroma

- the name "pyogenic granuloma" misleading bc is not a true granuloma, but is actually a capillary hemangioma of lobular subtype (which is why the lesion is more prone to bleed)

 

Micro: lobular prolif of capillaries, epidermal "collarette", edema in stroma, acute / chronic inflam and ulceration, epidermal atrophy

- resembles granulation tissue

 

 

 

Lymphatic malformations

 

- aka cystic hygroma, lymphangioma

fairly rare, usually found in the neck / axilla and is assoc c Turner's syndrome; M=F; fluctuant mass

- seen as abnormality of morphogensesis and not a neoplasm

- subclassified as microcystic, macrocystic or mixed

 

Histo: has big irreg vascular spaces (like a cavernous hemangioma) and is lined by bland, flat epithelial cells to hobnailed cells

- stromal lymph aggs may be present

- not encapsulated

- can look like cavernous hemangioma if there is lots of hemorrhage

 

IHC: (+) D2-40 (podoplanin)

 

Tx: complete excision to avoid recurrence

 

Px: may cause fetal demise 2/2 lung compression

- can spontaneously regress

Hemangioendothelioma

 

Int grade vascular tumor c variable histologic features and behaviors

- 40%recur, 20% mets, 15% die from tumor

- each variant of hemangioendothelioma is not really a subtype of one disease, but rather its own distinct entity in appearance, behavior and on a molecular basis (thus :should NOT be used as a generic diagnosis)

- composite, Dabska-type, epithelioid, epithelioid sarcoma-like (pseudomyogenic), kaposiform, or retiform

-- "spindle cell hemangioendothelioma" though to be a low grade version of angiosarcoma and had distant mets, although was reclassified as benign later, and is now called spindle cell hemangioma (spindle cell hemangioendotheliomas do NOT exist);

 

IHC: (+) FLI-1

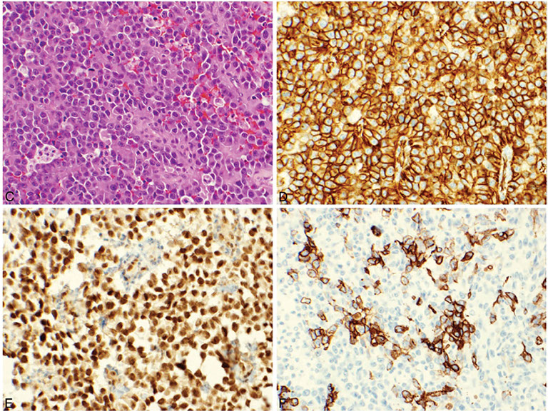
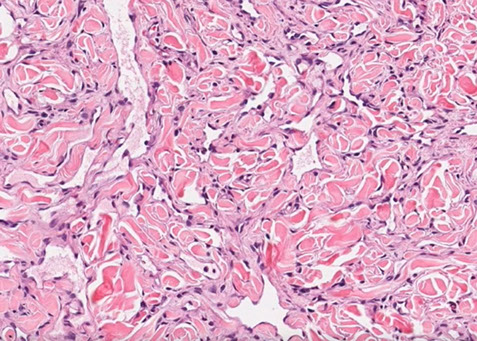
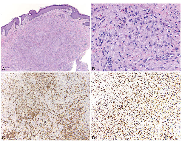
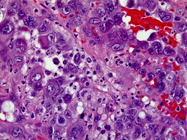
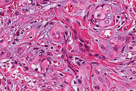
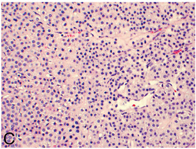
Epithelioid Hemangioendothelioma (EHE)

A, Epithelioid hemangioendoethelioma is composed of epithelioid cells with abundant eosinophilic cytoplasm that often contains vacuoles. B, The endothelial nature of the cells is confirmed by erythroblast transformation-specific transcription factor (ERG) staining.

Epithelioid / histiocytic hemangioendothelioma

 

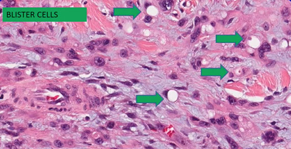
Intermediate grade vascular malig in extremities of older adults derived from a vein (in 50%) ; arise from a small to medium-sized vessel

- most aggressive form of hemangioendothelioma (significant morbidity and mortality)

- MC in lung and liver, with a minority in ST, bone

-- sometimes more indolent when occurs in skin / ST

- can be multicentric, but no real specific clinical appearance

 

Gross: up to 18 cm

 

Micro: cords / small nests of round endothelial cells c lots of reddish cytoplasm that expand the vessels as they extend centrifugally from the lumen to the soft tissue in myxoid / mucinous sclerotic background

- blister cells c red cell fragments, which are tumor cells trying to form vascular lumens (similar to what may be seen in lobular breast ca)

-- can have vacuoles in lots of vascular tumors (blister cells are NOT specific for EHE) with plump endothelial cells

- usually does not make well-formed infiltrating vascular channels (like angiosarcoma does); good to distinguish from angiosarc

- lumen filled c necrotic debris, tumor and dense collagen

- round and possibly indented nuclei c intracytoplasmic vacuoles

- minimal mits, atypia or necrosis; though can be significant in small subset

 

IHC: (+) ERG, FLI1, CD34, CD31; many are keratin positive (CK+)

 

Genes: t(1;3)(p36;q25) WWTR1-CAMTA1 fusion (in nearly all cases)

- small subset have YAP-TFE3

- can test for FISH in difficult cases

 

YAP1::TFE3 fused hemangioendothelioma

•Clinical features

•F> M 17:7

•Median age 44 years (range20-78 years)

•Soft tissue (including skin) 50%, bone 29%, lung 13%, liver 8%

•Two-thirds multifocal on presentation; Distant metastasis: 7

•Follow-up, median 36 months

•35% ANED

•47% long term survival despite multifocal or metastatic disease

•88% 5 year disease specific survival

•Multinodular and infiltrative

•Patterns

•Sheets and nests separated by collagenous stroma

•Pseudoalveolar

•Pseudo or true vasoformation

•Cords and nests in myxoidstroma

 

Tx: low-grade - exicision c wide margins

- high grade - radical excision c dissection

 

Px: unpredictable (?), but not as bad as angiosarcoma

- 15% die from dz, 15% recur, up to 1/3 mets

- if has inc mits, 5 yr survival is 60%, vs low mets 100%

YAP1::TFE3 fused hemangioendothelioma

Kaposiform Hemangioendothelioma

Kaposiform hemangioendothelioma

- also Acquired Tufted Angioma

 

Rare, locally aggressive neoplasm of infants / kiddos in skin retroperitoneum and bone

- death from extensive dz and severe coagulopathy (Kasabach-Merritt syndrome)

- no mets

 

Micro: infiltrating nodules (cannon-balls) and sheets of compact spindle cells c slit-like lumina

- platelets get stuck in whorled nodular vascular channels

- has dilated lymphatic channels at periphery

 

IHC: (+) VEGFR-3

- GLUT-1 negative (unlike infantile hemangioma)

 

DDx: Acquired tufted angioma (looks identical microscopically, BUT just a small skin lesion in adults and is not assoc c KM syndrome)

 

Tx: may be a difficult decision to remove tumor bc of low platelets in pts

 

Px: 10% mortality; usually when assoc c bleeding from low platelets in KM syndrome

 

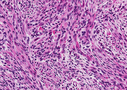
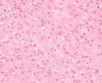
Epithelioid sarcoma-like Hemangioendothelioma

Epithelioid Sarcoma-like Hemangioendothelioma

- aka pseudomyogenic hemangioendothelioma

 

Presents as multifocal skin / subcutis / deep mscule / bone nodules on extremities

- multiple lesions in multiple tissue planes

- clinically is very worrisome for metastatic disease

 

•Originally described as ESH in 2003

•Subsequently re-described as PH in 2011

•M:F 3-5:1

•Multifocal disease involving multiple tissue compartments in 2/3 patients

•Relatively indolent

•High risk of local recurrence

•Rare lymph node and distant metastasis

 

Micro: looks a lots like epithelioid sarcoma or rhabdomyosarcoma

•Ill-defined nodules, sheets or fascicles

•Spindled to epithelioid tumor cells, often with admixed neutrophils (50%)

•Abundant, dense eosinophilic cytoplasm

•No overt vascular channels

•Positive for AE1/3, CD31 (50-70%), ERG,SMARCB1 (INI-1) retained

•Negative for CD34

 

IHC: (+) CK (nearly 100%), CD31, ERG, FLI-1

- neg: CD34, desmin

- nuclear INI-1 is retained (which is lost in epithelioid sarcoma)

 

•Cytogenetics: t(17;19)(q22;q13)SERPINE1-FOSB

•Subsets with ACTB-FOSB, WWTR1-FOSB, CLTC-FOSB fusions

•Immunostain for FOSB (nuclear positivity) effective surrogate

•Caveat: Some epithelioid hemangiomas have FOSBfusions and are positive for FOSB by immunohistochemistry

 

DDx: Differences from epithelioid sarcoma

•Lacks central necrosis of sometimes seen in epithelioid sarcoma

•Cells have denser eosinophilic cytoplasm

•Stromal neutrophils (when present)

•Epithelioid sarcoma has more nuclear atypia

•Epithelioid sarcoma negative for CD31, Fli-1, FOSB, and INI-1 (negative nuclei); (?ERG)

•Epithelioid sarcoma CD34+ ~50-60%

 

Px: may be locally aggressive but is rarely fatal (vs epithelioid sarcoma)

 

Glomus tumor

 

B9, wide age range, comes from modified sm muscle of glomus body (specialized AV anastamosis dealing c thermoregulation)

- usually under fingernails (normal glomus cells are modified sm muscle cells and are normally found on sides of digits and coccyx

- should have at least some focus of typical glomus tumor (usually at periphery)

- usually are extremely painful

- abundantly produces type IV collagen

 

Similar entities:

- Glomangioma: glomus tumor that looks like a cavernous hemangioma c thicker vessels; usually multiple

- Glomangiomatosis: diffuse angiomatosis that looks like angiomatosis c excess glomus cells; assoc c lots of fat)

- Glomangiomyoma: glomus tumor and angioleiomyoma

- Glomus tumor of uncertain malignant potential: lots of mits, or >2cm or if found deep

- Glomangiosarcoma: Deep + >2cm or atypical mits or high nuclear grade; can met

 

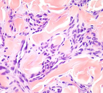
Micro: branching vascular channels separated by stroma c glomus cells that are small, regular, round c no nucleoli seen in nests / aggregates ("string of black pearls"); glomus cells found around vessels (vessels can be HPC-like)

- more infiltrative in kiddos, but no mits

 

Cyto: cohesive clusters of uniform round cells c scanty cytoplasm

- background of scattered amorphous magent material, blood and occasional inflam cells

 

IHC: (+) SMA, MSA, type IV collage (pericellular), vimentin, CD34 (1/5), variable h-caldesmin / calponin

- negative cytokeratin, desmin, S100 and chromogranin

 

Tx: Excision

 

Glomus tumor

C, Glomus tumor shows small, uniform cells

Perivascular Epithelioid Cell Tumor (PEComa)

 

Perivascular clear cell and epithelial-like tumor that has melanocytic and muscle markers, 7F>>1M

- in the family of angiomyolipoma, clear cell "sugar" tumor of lung, clear cell myomelanocytic tumor of the falciform ligament,  lymphangiomyomatosis (all assoc c tuberous sclerosis)

- deregulation of mTOR pathway (can tx c sirolimus or mTOR inhibitor)

 

Micro: perivascular tumor cells in nests and fascicles in radial shape around lumen, epithelial cells close to vessel, spindle cells farther away

- may not have perivascular pattern and look more clear cell-like in more undifferentiated cancers

 

IHC: (+) Melanoma and sm muscle markers, c-kit, cathepsin K, TFE3 (some, also seen in alveolar soft parts sarcoma), SMA, Desmin, S100

- neg CK, CD117, CD34

 

Genes:TSC1 (9q34), TSC2 (16p13.3)

- obvious abnormalities in most cases, some have rearrangement or amplification of TFE3

PEComa

Bacillary angiomatosis

 

see Infectious Dermatopathology

Angiokeratoma

 

A "bloody seb k" with hyperkeratosis, acanthosis and ectatic thin-walled vessels in epidermis

Atypical vascular lesion (AVL)

 

Is a specific dx, not just a description

- b9 vascular prolif post-rads

- clinically looks like flesh-colored papules arising in radiation site

- may be confused with well-diff angiosarc, and sometimes may occur adjacent to angiosarcoma

 

Micro: looks like lymphangioma, dermal prolif of infiltrating vascular channels that dissect bwt the collagen bundles

- can have some hyperchromasia

- does not have multilayering, does not have mits or pleomorphism/ atypia

- should be fairly superficial lesions, do not go deep

 

Genes: Negative for c-myc amplification (vs a post-radiation angiosarcoma)

 

Tx: controversial; but may be surgically excised although sometimes not feasible if there are many lesions

- ensuring adequate sampling of lesion is the most important issue (must avoid underdiagnosis of angiosarcoma)

- should be closely followed clinically (make sure that no new vascular lesions are developing)

 

Px: Usually b9 and does not progress to angiosarc (though exceptions do occur)

AVL

AVL vs AS

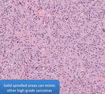
Angiosarcoma

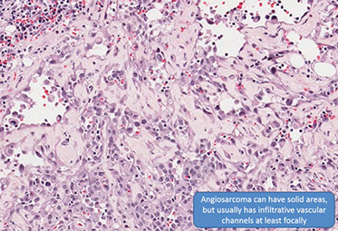
Bland-appearing angiosarcoma with multilayered endotheliom that infiltrates (splits) through collagen

Angiosarcoma can have more solid, spindly areas

C, Epithelioid angiosarcoma demonstrates focal vasoformative features. The tumor is diffusely positive for CD31 (D) and Friend leukemia integration 1 transcription factor (FLI1) (E), with a variable CD34 expression (F) (hematoxylin-eosin; original magnification x20 [D through F]).

Angiosarcoma

 

Rare tumor in adults, (<1% of sarcomas), ~7th decade (very rare in kiddos) derived from endothelial cells of blood vessels that can occur in multiple sites depending on type of risk factor exposure

- skin>> breast > ST > solid organs > bone

- well differentiated (hemangiosarcoma) to anaplastic tumor that can look like melanoma or carcinoma

- risk factors: chronic lymphedema, PVC, radiation (esp breast), sun exposure, Thorotrast

- mets to node in 14%

- tumors do not arise in assoc c b9 hemangioma (though rarely epithelioid angiosarcoma arises in assoc c schwannoma)

 

Subtypes:

MC variant is cutaneous (40%, affecting sun-exposed areas of head and neck)

- radioation assoc angiosarcoma: in abdominal wall/cavity, Mullerian malignancy, >10 yrs after radiation; also in the skin of breast c breast cancer 3-5 years after radiation, incidence ~0.1%, can see irreg papules / plaques that are multicentric

- lymphedema assoc angiosarcoma - Stewart-Treves syndrome, chronic lymphedema, obesity assoc lymphedema (localized massive lymphedema, lymphangiomatosis is less likely precursor

- Primary breast angiosarcoma - women in 3rd or 4th decades; mass in breast parenchyma, overlying skin changes, ill-defined, destructive growth

- Soft tissue / Solid organ angiosarcoma - any age, ~1/3 syndromic (NF, Maffucci syndrome, Klippel-Trenaunay syndrome); predisposed by thoratrast, polyvinyl chloride, arsenic, foreign material (AV fistulas, shrapnel, plastics), epithelioid morphology, very poor px

-- Mass in Right Atrium = Angiosarcoma (until proven otherwise)

 

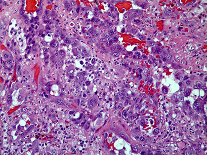
Gross: early on is sharply defined, asymptomatic multiple red nodules

- later is fleshy gray white c hemorrhage, necrosis and deeply invasive

 

Micro: atypical vascular spaced lined by endothelial cells c atypia and multilayering that involves subQ and has RBCs in intracytoplasmic lumina in more solid areas

- lots of mits and necrosis

 

IHC: (+) Factor 8 related peptide, CD31, Ki-67, FLI-1, thrombomodulin, CD34, c-kit, VEGFR-3, ERG, INI-1 (is lost in epithelioid sarcoma)

- occasionally stains for cytokeratins (CK18/7/8 in ~1/2)

- no loss of INI-1 (excludes epithelioid sarcoma)

 

Genes: high level MYC amplifications, esp in secondary tumors (post-radiation and in chronic lymphedema; not usually positive in primary sun damaged skin in elderly)

 

DDx: May mimic ecchymosis or solar purpura

- Kaposi can mimic angiosarc (and vice versa), they have totally different tx and px (Kaposi is usually not a surgical disease and is not fatal), should get HHV8 if there is any confusion

- epithelioid angiosarcoma can mimic other cancers (carcinoma, epithelioid sarcoma, melanoma) - epithelioid angiosarcoma often expreses keratins just like carcinoma and epithelioid sarcoma

- small biopsies may not be representative; if there is high suspicion, should repeat the biopsy!! Must communicate with clinician, and have higher index of suspicion if hx of lymphedema or radiation history

 

Tx: early aggressive surgery

- recurrence and progression still common since is a vascular lesion

- chemo and rads also used

- Sorafenib has a dramatic, although not a long-term effect

 

Px: poor survive past 5 years (<30%); most die in <12 mo after dx

- mets to lung and bone

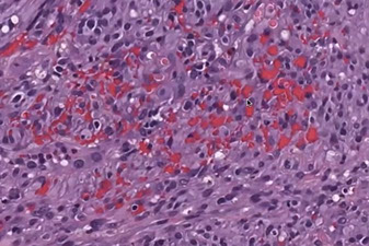
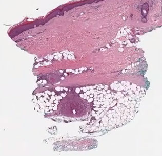
Angiosarcoma blood lake

Kaposi sarcoma

 

Low grade endothelial malignancy that can be classic or AIDS assoc

- hyperhcromatic spindle cells c vascular slit pattern and extravasated RBCs

- HHV-8 plays role in all subtypes

 

Classic

Not assoc c HIV, old Mediteranean dudes, rare in US

 

Endemic

more rapid clinical course than classic disease

10% of all malig tumor central Africa, usually in young adults and kids;

- poor px if over 50 yo

 

HIV-assoc (epidemic)

derived from vasoformative mesenchymal multipotential cells

- can be mistaken for bacillary angiomatosis

- 75% involve the viscera in AIDS pts;

 

Iatrogenic

Transplants, immunosuppression

 

Micro: spindle cells forming slits c extravasated RBCs, hemosiderin laden macrophages, lymphs and fibrosis

- minimal atypia

- can have lots of PAS+ hyaline bodies, which are heme breakdown products

- moderate mits

 

Stages: Early-patch, later-plaque tumor, and nodular

- also a lymphanioma-like variant with thin, angulated vessels with no RBCs

 

Early-patch - bizarre staghorn vessels and plasma cells

 

Later-plaque - busy dermis surrounding adnexal structures and vessels

- Promontory sign - protrusion of pre-existing structues into lake-like ectatic space, leaves vessels looking like they are floating in space

 

Nodular - fascicles of spindle cells, separated by slit-like vascular spaces containing erythrocytes, PAS positive diastase resistant hyaline globules, extravasated RBCs, scattered plasma cells, and hemosiderin deposits

 

IHC: (+) CD34>CD31, factor VIII related antigen, podoplanin (D2-40), LANA (very sensitive and specific for HHV-8 infx)

- negative keratin and desmin

 

Genes: diploid and clonal

- HHV8 present in all types

 

Tx: radio chemo

 

 

Kaposi sarcoma

Kaposi sarcoma - early patch stage

from dermpedia.org

Kaposi sarcoma, nodular stage

Kaposi sarcoma hyaline globules (which are heme breakdown products) stained here with PAS

Lymphangiosarcoma

 

Lymphatic malignancy assoc c persistent lymphadema (after node dissection)

Venous lake

 

MC on lips and ears of elderly pts that blanch when compressed

 

Micro: Thin-walled ectatic vessel that collapses after bx

References

 

1. Jerad Gardner. Vascular Tumors of the Skin. YouTube video. https://www.youtube.com/watch?v=E5QQ3ZOJhoM

 

2.